电话:
+86 (0512) 65829739
传真:
+86 (010) 6788 5057
电子邮件:
orders@antibodies-online.cn

PLSCR1 抗体

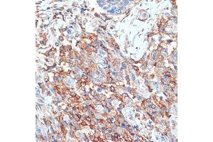
The 兔 单克隆 anti-PLSCR1 antibody (ABIN7269354) specifically detects PLSCR1 in WB, IHC 和 IF. The antibody is reactive with 人 samples.
产品编号 ABIN7269354
发货至: 中国
Contact our Customer Service for availability and price in your country. Contact Info

Our Local Distributor

中国
北京 101111
No. 88 KeChuang 6th Street
Beijing Economic Technological Development Area
Room 801-803
4A Biotech Co.,Ltd.
Tel +86 (0512) 65829739 传真 +86 (010) 6788 5057

Quick Overview for PLSCR1 抗体 (ABIN7269354)

抗原

See all PLSCR1 抗体
PLSCR1 (phospholipid Scramblase 1 (PLSCR1))

适用

  • 34
  • 5
  • 5
  • 3
  • 3
  • 2
  • 1
  • 1
  • 1
  • 1
  • 1

宿主

  • 27
  • 9

克隆类型

  • 18
  • 18
单克隆

标记

  • 27
  • 1
  • 1
  • 1
  • 1
  • 1
  • 1
  • 1
  • 1
  • 1
This PLSCR1 antibody is un-conjugated

应用范围

  • 32
  • 17
  • 14
  • 14
  • 13
  • 8
  • 8
  • 3
  • 1
  • 1
  • 1
Western Blotting (WB), Immunohistochemistry (IHC), Immunofluorescence (IF)
  • 原理

    Phospholipid Scramblase 1 (PLSCR1) Rabbit mAb

    交叉反应

    人, 小鼠, 大鼠

    产品特性

    Monoclonal Antibodies

    纯化方法

    Affinity purification

    免疫原

    A synthesized peptide derived from human Phospholipid Phospholipid Scramblase 1 (PLSCR1) (PLSCR1)

    亚型

    IgG
  • 应用备注

    WB,1:500 - 1:2000,IHC,1:50 - 1:200,IF,1:50 - 1:200

    限制

    仅限研究用
  • 状态

    Liquid

    缓冲液

    PBS with 0.02 % sodium azide,0.05 % BSA,50 % glycerol, pH 7.3.

    储存液

    Sodium azide

    注意事项

    This product contains Sodium azide: a POISONOUS AND HAZARDOUS SUBSTANCE which should be handled by trained staff only.

    储存条件

    -20 °C

    储存方法

    Store at -20°C. Avoid freeze / thaw cycles.
  • 抗原

    PLSCR1 (phospholipid Scramblase 1 (PLSCR1))

    别名

    PLSCR1

    背景

    Catalyzes calcium-induced ATP-independent rapid bidirectional and non-specific movement of phospholipids (lipid scrambling or lipid flip-flop between the inner and outer leaflet of the plasma membrane resulting in collapse of the phospholipid asymmetry which leads to phosphatidylserine externalization on the cell surface. Mediates calcium-dependent phosphatidylserine externalization and apoptosis in neurons via its association with TRPC5 (By similarity. Also exhibits magnesium-dependent nuclease activity against double-stranded DNA and RNA but not single-stranded DNA and can enhance DNA decatenation mediated by TOP2A. Negatively regulates FcR-mediated phagocytosis in differentiated macrophages. May contribute to cytokine-regulated cell proliferation and differentiation (By similarity. May play a role in the antiviral response of interferon (IFN by amplifying and enhancing the IFN response through increased expression of select subset of potent antiviral genes. Acts as an attachment receptor for HCV.,MMTRA1B,Calcium Signaling,Cardiovascular,Lipids,Lipids_Lipoproteins/Apolipoproteins,Neuroscience,Signal Transduction,PLSCR1

    分子量

    35kDa

    基因ID

    5359

    UniProt

    O15162

    途径

    Cellular Response to Molecule of Bacterial Origin
You are here: