PIGM 抗体 (AA 35-96)
Our Local Distributor
北京 101111
Quick Overview for PIGM 抗体 (AA 35-96) (ABIN7269294)
抗原
See all PIGM 抗体适用
宿主
克隆类型
标记
应用范围
-
-
抗原表位
- AA 35-96
-
原理
- PIGM Rabbit pAb
-
序列
- YGVFQDRTLH VRYTDIDYQV FTDAARFVTE GRSPYLRATY RYTPLLGWLL TPNIYLSELF GK
-
交叉反应
- 人, 小鼠, 大鼠
-
产品特性
- Polyclonal Antibodies
-
纯化方法
- Affinity purification
-
免疫原
- Recombinant fusion protein containing a sequence corresponding to amino acids 35-96 of human PIGM (NP_660150.1).
-
亚型
- IgG
-
-
-
-
应用备注
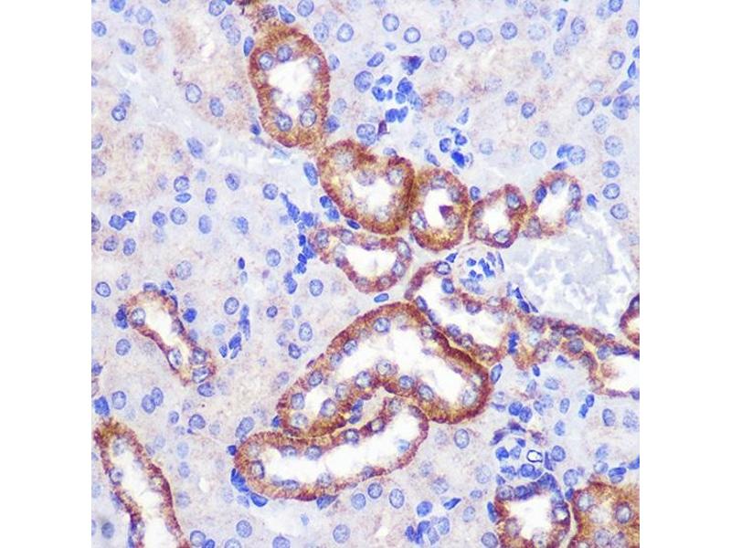
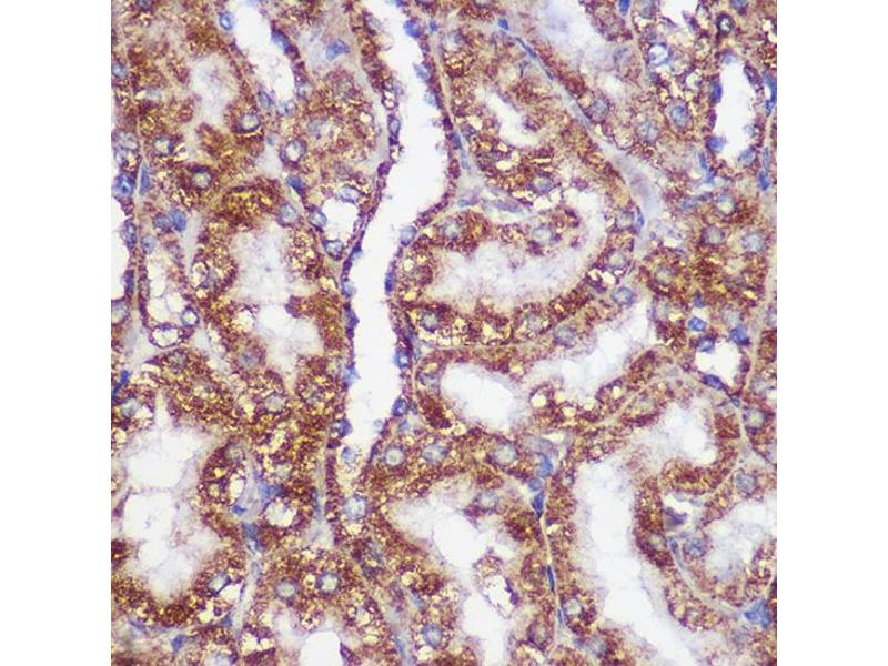
- WB,1:500 - 1:2000,IHC,1:50 - 1:200,IF,1:50 - 1:200
-
限制
- 仅限研究用
-
-
-
状态
- Liquid
-
缓冲液
- PBS with 0.02 % sodium azide,50 % glycerol, pH 7.3.
-
储存液
- Sodium azide
-
注意事项
- This product contains Sodium azide: a POISONOUS AND HAZARDOUS SUBSTANCE which should be handled by trained staff only.
-
储存条件
- -20 °C
-
储存方法
- Store at -20°C. Avoid freeze / thaw cycles.
-
-
- PIGM (Phosphatidylinositol Glycan M (PIGM))
-
别名
- PIGM
-
背景
- This gene encodes a transmembrane protein that is located in the endoplasmic reticulum and is involved in GPI-anchor biosynthesis. The glycosylphosphatidylinositol (GPI)-anchor is a glycolipid which contains three mannose molecules in its core backbone. The GPI-anchor is found on many blood cells and serves to anchor proteins to the cell surface. This gene encodes a mannosyltransferase, GPI-MT-I, that transfers the first mannose to GPI on the lumenal side of the endoplasmic reticulum. [provided by RefSeq, Jul 2008],GPI-MT-I,PIGM,Signal Transduction,Endocrine & Metabolism,Lipid Metabolism,PIGM
-
基因ID
- 93183
-
UniProt
- Q9H3S5
-
途径
- Inositol Metabolic Process, Cellular Glucan Metabolic Process
抗原
-