电话:
+86 (0512) 65829739
传真:
+86 (010) 6788 5057
电子邮件:
orders@antibodies-online.cn

PAX9 抗体

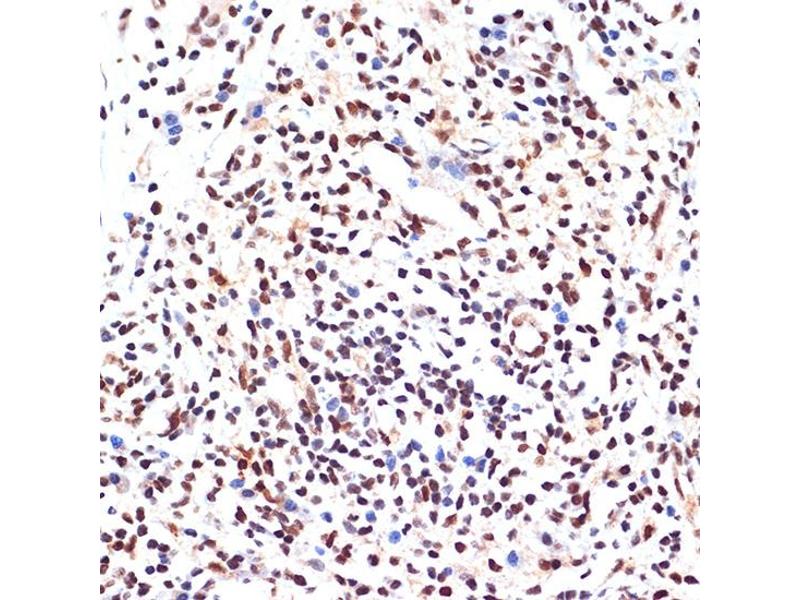
The 兔 单克隆 anti-PAX9 antibody (ABIN7269156) specifically detects PAX9 in WB 和 IHC. The antibody is reactive with 人 samples.
产品编号 ABIN7269156
发货至: 中国
Contact our Customer Service for availability and price in your country. Contact Info

Our Local Distributor

中国
北京 101111
No. 88 KeChuang 6th Street
Beijing Economic Technological Development Area
Room 801-803
4A Biotech Co.,Ltd.
Tel +86 (0512) 65829739 传真 +86 (010) 6788 5057

Quick Overview for PAX9 抗体 (ABIN7269156)

抗原

See all PAX9 抗体
PAX9 (Paired Box 9 (PAX9))

适用

  • 65
  • 35
  • 29
  • 2
  • 2
  • 1
  • 1
  • 1
  • 1

宿主

  • 59
  • 6
  • 1

克隆类型

  • 51
  • 15
单克隆

标记

  • 30
  • 4
  • 4
  • 3
  • 2
  • 2
  • 2
  • 2
  • 2
  • 2
  • 1
  • 1
  • 1
  • 1
  • 1
  • 1
  • 1
  • 1
  • 1
  • 1
  • 1
  • 1
  • 1
This PAX9 antibody is un-conjugated

应用范围

  • 48
  • 22
  • 13
  • 13
  • 9
  • 5
  • 4
  • 3
  • 3
  • 3
  • 1
  • 1
  • 1
  • 1
Western Blotting (WB), Immunohistochemistry (IHC)
  • 原理

    PAX9 Rabbit mAb

    交叉反应

    人, 小鼠, 大鼠

    产品特性

    Monoclonal Antibodies

    纯化方法

    Affinity purification

    免疫原

    A synthesized peptide derived from human PAX9

    亚型

    IgG
  • 应用备注

    WB,1:500 - 1:2000,IHC,1:50 - 1:200

    限制

    仅限研究用
  • 状态

    Liquid

    缓冲液

    PBS with 0.02 % sodium azide,0.05 % BSA,50 % glycerol, pH 7.3.

    储存液

    Sodium azide

    注意事项

    This product contains Sodium azide: a POISONOUS AND HAZARDOUS SUBSTANCE which should be handled by trained staff only.

    储存条件

    -20 °C

    储存方法

    Store at -20°C. Avoid freeze / thaw cycles.
  • 抗原

    PAX9 (Paired Box 9 (PAX9))

    别名

    PAX9

    背景

    This gene is a member of the paired box (PAX) family of transcription factors. Members of this gene family typically contain a paired box domain, an octapeptide, and a paired-type homeodomain. These genes play critical roles during fetal development and cancer growth. Mice lacking this gene exhibit impaired development of organs, musculature and the skeleton, including absent and abnormally developed teeth, and neonatal lethality. Mutations in the human gene are associated with selective tooth agenesis-3. [provided by RefSeq, Sep 2015],STHAG3,Epigenetics & Nuclear Signaling,Transcription Factors,PAX9

    分子量

    36kDa

    基因ID

    5083

    UniProt

    P55771
You are here: