电话:
+86 (0512) 65829739
传真:
+86 (010) 6788 5057
电子邮件:
orders@antibodies-online.cn

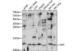
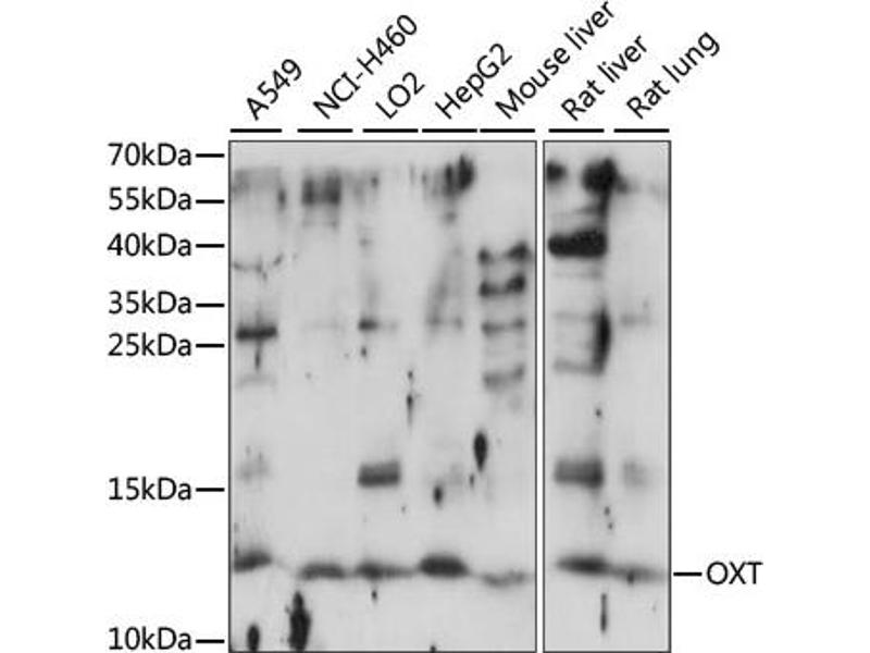
OXT 抗体 (AA 1-125)

The 兔 多克隆 anti-OXT antibody (ABIN7269141) specifically detects OXT in WB. The antibody is reactive with 人 samples.
产品编号 ABIN7269141
发货至: 中国
Contact our Customer Service for availability and price in your country. Contact Info

Our Local Distributor

中国
北京 101111
No. 88 KeChuang 6th Street
Beijing Economic Technological Development Area
Room 801-803
4A Biotech Co.,Ltd.
Tel +86 (0512) 65829739 传真 +86 (010) 6788 5057

Quick Overview for OXT 抗体 (AA 1-125) (ABIN7269141)

抗原

See all OXT 抗体
OXT (Oxytocin, Prepropeptide (OXT))

适用

  • 20
  • 6
  • 4
  • 1
  • 1
  • 1
  • 1
  • 1
  • 1

宿主

  • 20
  • 2
  • 1

克隆类型

  • 22
  • 1
多克隆

标记

  • 17
  • 3
  • 2
  • 1
This OXT antibody is un-conjugated

应用范围

  • 16
  • 15
  • 11
  • 4
  • 4
  • 3
  • 3
  • 2
  • 1
Western Blotting (WB)
  • 抗原表位

    • 6
    • 3
    • 2
    • 2
    • 2
    • 1
    • 1
    • 1
    • 1
    • 1
    • 1
    AA 1-125

    原理

    OXT Rabbit pAb

    序列

    MAGPSLACCL LGLLALTSAC YIQNCPLGGK RAAPDLDVRK CLPCGPGGKG RCFGPNICCA EELGCFVGTA EALRCQEENY LPSPCQSGQK ACGSGGRCAV LGLCCSPDGC HADPACDAEA TFSQR

    交叉反应

    人, 小鼠, 大鼠

    产品特性

    Polyclonal Antibodies

    纯化方法

    Affinity purification

    免疫原

    Recombinant fusion protein containing a sequence corresponding to amino acids 1-125 of human OXT (NP_000906.1).

    亚型

    IgG
  • 应用备注

    WB,1:200 - 1:2000

    限制

    仅限研究用
  • 状态

    Liquid

    缓冲液

    PBS with 0.02 % sodium azide,50 % glycerol, pH 7.3.

    储存液

    Sodium azide

    注意事项

    This product contains Sodium azide: a POISONOUS AND HAZARDOUS SUBSTANCE which should be handled by trained staff only.

    储存条件

    -20 °C

    储存方法

    Store at -20°C. Avoid freeze / thaw cycles.
  • 抗原

    OXT (Oxytocin, Prepropeptide (OXT))

    别名

    OXT

    背景

    This gene encodes a precursor protein that is processed to produce oxytocin and neurophysin I. Oxytocin is a posterior pituitary hormone which is synthesized as an inactive precursor in the hypothalamus along with its carrier protein neurophysin I. Together with neurophysin, it is packaged into neurosecretory vesicles and transported axonally to the nerve endings in the neurohypophysis, where it is either stored or secreted into the bloodstream. The precursor seems to be activated while it is being transported along the axon to the posterior pituitary. This hormone contracts smooth muscle during parturition and lactation. It is also involved in cognition, tolerance, adaptation and complex sexual and maternal behaviour, as well as in the regulation of water excretion and cardiovascular functions.,OXT,OT,OT-NPI,OXT-NPI,Neuroscience,OXT

    分子量

    12kDa

    基因ID

    5020

    UniProt

    P01178

    途径

    Myometrial Relaxation and Contraction, Feeding Behaviour
You are here: