电话:
+86 (0512) 65829739
传真:
+86 (010) 6788 5057
电子邮件:
orders@antibodies-online.cn

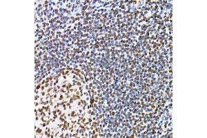
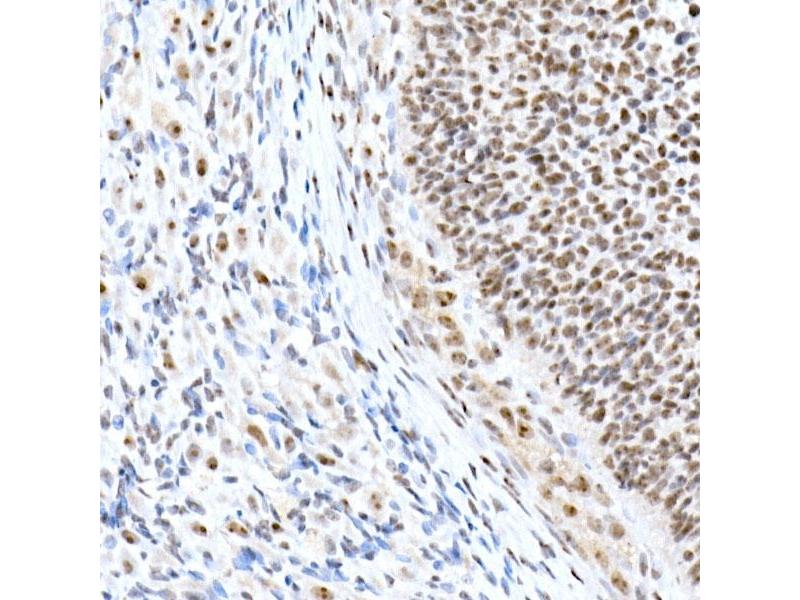
Nucleolin 抗体

The 兔 单克隆 anti-Nucleolin antibody is suitable to detect Nucleolin in samples from 人. It has been validated for WB 和 IHC.
产品编号 ABIN7269035
发货至: 中国
Contact our Customer Service for availability and price in your country. Contact Info

Our Local Distributor

中国
北京 101111
No. 88 KeChuang 6th Street
Beijing Economic Technological Development Area
Room 801-803
4A Biotech Co.,Ltd.
Tel +86 (0512) 65829739 传真 +86 (010) 6788 5057

Quick Overview for Nucleolin 抗体 (ABIN7269035)

抗原

See all Nucleolin (NCL) 抗体
Nucleolin (NCL)

适用

  • 161
  • 45
  • 44
  • 11
  • 10
  • 10
  • 10
  • 9
  • 7
  • 6
  • 5
  • 4
  • 3
  • 1
  • 1
  • 1
  • 1
  • 1
  • 1
  • 1

宿主

  • 122
  • 42
  • 1
  • 1

克隆类型

  • 84
  • 82
单克隆

标记

  • 81
  • 13
  • 5
  • 4
  • 4
  • 4
  • 4
  • 4
  • 4
  • 4
  • 4
  • 3
  • 3
  • 3
  • 3
  • 2
  • 2
  • 2
  • 2
  • 2
  • 2
  • 1
  • 1
  • 1
  • 1
  • 1
  • 1
  • 1
  • 1
  • 1
  • 1
  • 1
This Nucleolin antibody is un-conjugated

应用范围

  • 135
  • 86
  • 69
  • 48
  • 33
  • 30
  • 19
  • 17
  • 15
  • 14
  • 13
  • 10
  • 5
  • 3
  • 2
  • 2
  • 1
  • 1
Western Blotting (WB), Immunohistochemistry (IHC)
  • 原理

    Nucleolin Rabbit mAb

    交叉反应

    人, 小鼠, 大鼠

    产品特性

    Monoclonal Antibodies

    纯化方法

    Affinity purification

    免疫原

    Recombinant protein of Human Nucleolin.

    亚型

    IgG
  • 应用备注

    WB,1:500 - 1:2000,IHC,1:50 - 1:200

    限制

    仅限研究用
  • 状态

    Liquid

    缓冲液

    PBS with 0.02 % sodium azide,0.05 % BSA,50 % glycerol, pH 7.3.

    储存液

    Sodium azide

    注意事项

    This product contains Sodium azide: a POISONOUS AND HAZARDOUS SUBSTANCE which should be handled by trained staff only.

    储存条件

    -20 °C

    储存方法

    Store at -20°C. Avoid freeze / thaw cycles.
  • 抗原

    Nucleolin (NCL)

    别名

    Nucleolin

    背景

    Nucleolin (NCL), a eukaryotic nucleolar phosphoprotein, is involved in the synthesis and maturation of ribosomes. It is located mainly in dense fibrillar regions of the nucleolus. Human NCL gene consists of 14 exons with 13 introns and spans approximately 11kb. The intron 11 of the NCL gene encodes a small nucleolar RNA, termed U20.,NCL,C23,Nsr1,nucleolin,Epigenetics & Nuclear Signaling,RNA Binding,Cardiovascular,Angiogenesis,Nucleolin

    分子量

    76kDa

    基因ID

    4691

    UniProt

    P19338

    途径

    Ribonucleoprotein Complex Subunit Organization
You are here: