电话:
+86 (0512) 65829739
传真:
+86 (010) 6788 5057
电子邮件:
orders@antibodies-online.cn

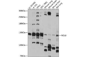
Nucleolar Protein 6 抗体 (AA 1032-1146)

This 兔 多克隆 antibody specifically detects Nucleolar Protein 6 in WB. It exhibits reactivity toward 人.
产品编号 ABIN7269034
发货至: 中国
Contact our Customer Service for availability and price in your country. Contact Info

Our Local Distributor

中国
北京 101111
No. 88 KeChuang 6th Street
Beijing Economic Technological Development Area
Room 801-803
4A Biotech Co.,Ltd.
Tel +86 (0512) 65829739 传真 +86 (010) 6788 5057

Quick Overview for Nucleolar Protein 6 抗体 (AA 1032-1146) (ABIN7269034)

抗原

See all Nucleolar Protein 6 (NOL6) 抗体
Nucleolar Protein 6 (NOL6)

适用

  • 15
  • 5
  • 5
  • 4
  • 3
  • 3
  • 3
  • 2
  • 2
  • 1
  • 1

宿主

  • 12
  • 3

克隆类型

  • 15
多克隆

标记

  • 11
  • 2
  • 1
  • 1
This Nucleolar Protein 6 antibody is un-conjugated

应用范围

  • 10
  • 5
  • 3
  • 3
  • 1
  • 1
Western Blotting (WB)
  • 抗原表位

    • 5
    • 2
    • 1
    • 1
    • 1
    • 1
    • 1
    AA 1032-1146

    原理

    NOL6 Rabbit pAb

    序列

    SFCRGLLSQP GPSSLMPVLG YDPPQLYLTQ LREAFGDLAL FFYDQHGGEV IGVLWKPTSF QPQPFKASST KGRMVMSRGG ELVMVPNVEA ILEDFAVLGE GLVQTVEARS ERWTV

    交叉反应

    人, 小鼠, 大鼠

    产品特性

    Polyclonal Antibodies

    纯化方法

    Affinity purification

    免疫原

    Recombinant fusion protein containing a sequence corresponding to amino acids 1032-1146 of human NOL6 (NP_075068.2).

    亚型

    IgG
  • 应用备注

    WB,1:500 - 1:2000

    限制

    仅限研究用
  • 状态

    Liquid

    缓冲液

    PBS with 0.02 % sodium azide,50 % glycerol, pH 7.3.

    储存液

    Sodium azide

    注意事项

    This product contains Sodium azide: a POISONOUS AND HAZARDOUS SUBSTANCE which should be handled by trained staff only.

    储存条件

    -20 °C

    储存方法

    Store at -20°C. Avoid freeze / thaw cycles.
  • 抗原

    Nucleolar Protein 6 (NOL6)

    别名

    NOL6

    背景

    The nucleolus is a dense subnuclear membraneless organelle that assembles around clusters of rRNA genes and functions in ribosome biogenesis. This gene encodes a nucleolar RNA-associated protein that is highly conserved between species. RNase treatment of permeabilized cells indicates that the nucleolar localization is RNA dependent. Further studies suggest that the protein is associated with ribosome biogenesis through an interaction with pre-rRNA primary transcripts. Alternative splicing has been observed at this locus and two splice variants encoding distinct isoforms have been identified.,NOL6,NRAP,UTP22,bA311H10.1,Epigenetics & Nuclear Signaling,RNA Binding,NOL6

    分子量

    77kDa/112kDa/127kDa

    基因ID

    65083

    UniProt

    Q9H6R4
You are here: