电话:
+86 (0512) 65829739
传真:
+86 (010) 6788 5057
电子邮件:
orders@antibodies-online.cn

NXF1 抗体 (AA 57-356)

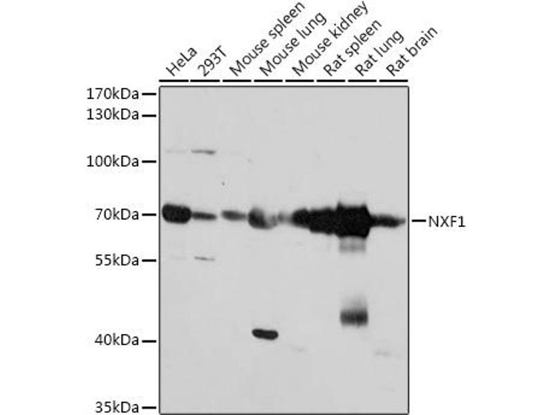
The 兔 多克隆 anti-NXF1 antibody (ABIN7269024) specifically detects NXF1 in WB. The antibody is reactive with 人 samples.
产品编号 ABIN7269024
发货至: 中国
Contact our Customer Service for availability and price in your country. Contact Info

Our Local Distributor

中国
北京 101111
No. 88 KeChuang 6th Street
Beijing Economic Technological Development Area
Room 801-803
4A Biotech Co.,Ltd.
Tel +86 (0512) 65829739 传真 +86 (010) 6788 5057

Quick Overview for NXF1 抗体 (AA 57-356) (ABIN7269024)

抗原

See all NXF1 抗体
NXF1 (Nuclear RNA Export Factor 1 (NXF1))

适用

  • 66
  • 9
  • 7
  • 6
  • 5
  • 4
  • 3
  • 3
  • 2

宿主

  • 67
  • 1

克隆类型

  • 47
  • 21
多克隆

标记

  • 37
  • 4
  • 3
  • 3
  • 3
  • 3
  • 3
  • 3
  • 3
  • 2
  • 1
  • 1
  • 1
  • 1
This NXF1 antibody is un-conjugated

应用范围

  • 49
  • 27
  • 21
  • 20
  • 20
  • 18
  • 5
  • 1
  • 1
Western Blotting (WB)
  • 抗原表位

    • 9
    • 7
    • 5
    • 2
    • 2
    • 2
    • 1
    • 1
    • 1
    • 1
    • 1
    • 1
    • 1
    • 1
    • 1
    • 1
    AA 57-356

    原理

    NXF1 Rabbit pAb

    序列

    GDVAMSDAQD GPRVRYNPYT TRPNRRGDTW HDRDRIHVTV RRDRAPPERG GAGTSQDGTS KNWFKITIPY GRKYDKAWLL SMIQSKCSVP FTPIEFHYEN TRAQFFVEDA STASALKAVN YKILDRENRR ISIIINSSAP PHTILNELKP EQVEQLKLIM SKRYDGSQQA LDLKGLRSDP DLVAQNIDVV LNRRSCMAAT LRIIEENIPE LLSLNLSNNR LYRLDDMSSI VQKAPNLKIL NLSGNELKSE RELDKIKGLK LEELWLDGNS LCDTFRDQST YIRSVVACVS PPGDLHPLGG

    交叉反应

    人, 小鼠, 大鼠

    产品特性

    Polyclonal Antibodies

    纯化方法

    Affinity purification

    免疫原

    Recombinant fusion protein containing a sequence corresponding to amino acids 57-356 of human NXF1 (NP_001074960.1).

    亚型

    IgG
  • 应用备注

    WB,1:500 - 1:2000

    限制

    仅限研究用
  • 状态

    Liquid

    缓冲液

    PBS with 0.02 % sodium azide,50 % glycerol, pH 7.3.

    储存液

    Sodium azide

    注意事项

    This product contains Sodium azide: a POISONOUS AND HAZARDOUS SUBSTANCE which should be handled by trained staff only.

    储存条件

    -20 °C

    储存方法

    Store at -20°C. Avoid freeze / thaw cycles.
  • 抗原

    NXF1 (Nuclear RNA Export Factor 1 (NXF1))

    别名

    NXF1

    背景

    This gene is one member of a family of nuclear RNA export factor genes. Common domain features of this family are a noncanonical RNP-type RNA-binding domain (RBD), 4 leucine-rich repeats (LRRs), a nuclear transport factor 2 (NTF2)-like domain that allows heterodimerization with NTF2-related export protein-1 (NXT1), and a ubiquitin-associated domain that mediates interactions with nucleoporins. The LRRs and NTF2-like domains are required for export activity. Alternative splicing seems to be a common mechanism in this gene family. The encoded protein of this gene shuttles between the nucleus and the cytoplasm and binds in vivo to poly(A)+ RNA. It is the vertebrate homologue of the yeast protein Mex67p. The encoded protein overcomes the mRNA export block caused by the presence of saturating amounts of CTE (constitutive transport element) RNA of type D retroviruses. Alternative splicing results in multiple transcript variants.,NXF1,MEX67,TAP,Epigenetics & Nuclear Signaling,RNA Binding,NXF1

    分子量

    40kDa/70kDa

    基因ID

    10482

    UniProt

    Q9UBU9
You are here: