电话:
+86 (0512) 65829739
传真:
+86 (010) 6788 5057
电子邮件:
orders@antibodies-online.cn

MTMR6 抗体 (AA 382-621)

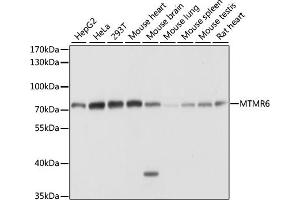
The 兔 多克隆 anti-MTMR6 antibody is suitable to detect MTMR6 in samples from 人. It has been validated for WB.
产品编号 ABIN7268765
发货至: 中国
Contact our Customer Service for availability and price in your country. Contact Info

Our Local Distributor

中国
北京 101111
No. 88 KeChuang 6th Street
Beijing Economic Technological Development Area
Room 801-803
4A Biotech Co.,Ltd.
Tel +86 (0512) 65829739 传真 +86 (010) 6788 5057

Quick Overview for MTMR6 抗体 (AA 382-621) (ABIN7268765)

抗原

See all MTMR6 抗体
MTMR6 (Myotubularin Related Protein 6 (MTMR6))

适用

  • 26
  • 4
  • 3
  • 2
  • 2
  • 2
  • 1

宿主

  • 24
  • 2

克隆类型

  • 26
多克隆

标记

  • 17
  • 3
  • 2
  • 2
  • 1
  • 1
This MTMR6 antibody is un-conjugated

应用范围

  • 20
  • 13
  • 2
  • 1
  • 1
Western Blotting (WB)
  • 抗原表位

    • 8
    • 5
    • 4
    • 3
    • 2
    • 1
    • 1
    • 1
    AA 382-621

    原理

    MTMR6 Rabbit pAb

    序列

    RCGQLDGDPK EVSPVFTQFL ECVWHLTEQF PQAFEFSEAF LLQIHEHIHS CQFGNFLGNC QKEREELKLK EKTYSLWPFL LEDQKKYLNP LYSSESHRFT VLEPNTVSFN FKFWRNMYHQ FDRTLHPRQS VFNIIMNMNE QNKQLEKDIK DLESKIKQRK NKQTDGILTK ELLHSVHPES PNLKTSLCFK EQTLLPVNDA LRTIEGSSPA DNRYSEYAEE FSKSEPAVVS LEYGVARMTC

    交叉反应

    人, 小鼠, 大鼠

    产品特性

    Polyclonal Antibodies

    纯化方法

    Affinity purification

    免疫原

    Recombinant fusion protein containing a sequence corresponding to amino acids 382-621 of human MTMR6 (NP_004676.3).

    亚型

    IgG
  • 应用备注

    WB,1:200 - 1:2000

    限制

    仅限研究用
  • 状态

    Liquid

    缓冲液

    PBS with 0.02 % sodium azide,50 % glycerol, pH 7.3.

    储存液

    Sodium azide

    注意事项

    This product contains Sodium azide: a POISONOUS AND HAZARDOUS SUBSTANCE which should be handled by trained staff only.

    储存条件

    -20 °C

    储存方法

    Store at -20°C. Avoid freeze / thaw cycles.
  • 抗原

    MTMR6 (Myotubularin Related Protein 6 (MTMR6))

    别名

    MTMR6

    背景

    Phosphatase that acts on lipids with a phosphoinositol headgroup. Dephosphorylates phosphatidylinositol 3-phosphate (PtdIns(3P and phosphatidylinositol 3,5-bisphosphate (Probable. Binds with high affinity to phosphatidylinositol 3,5-bisphosphate (PtdIns(3,5P2 but also to phosphatidylinositol 3-phosphate (PtdIns(3P, phosphatidylinositol 4-phosphate (PtdIns(4P, and phosphatidylinositol 5-phosphate (PtdIns(5P, phosphatidic acid and phosphatidylserine. Negatively regulates ER-Golgi protein transport (By similarity. Probably in association with MTMR9, plays a role in the late stages of macropinocytosis by dephosphorylating phosphatidylinositol 3-phosphate in membrane ruffles. Acts as a negative regulator of KCNN4/KCa3.1 channel activity in CD4(+ T-cells possibly by decreasing intracellular levels of phosphatidylinositol 3-phosphate. Negatively regulates proliferation of reactivated CD4(+ T-cells. In complex with MTMR9, negatively regulates DNA damage-induced apoptosis. The formation of the MTMR6-MTMR9 complex stabilizes both MTMR6 and MTMR9 protein levels.,MTMR6,Signal Transduction,MTMR6

    分子量

    63kDa/71kDa

    基因ID

    9107

    UniProt

    Q9Y217

    途径

    Inositol Metabolic Process
You are here: