电话:
+86 (0512) 65829739
传真:
+86 (010) 6788 5057
电子邮件:
orders@antibodies-online.cn

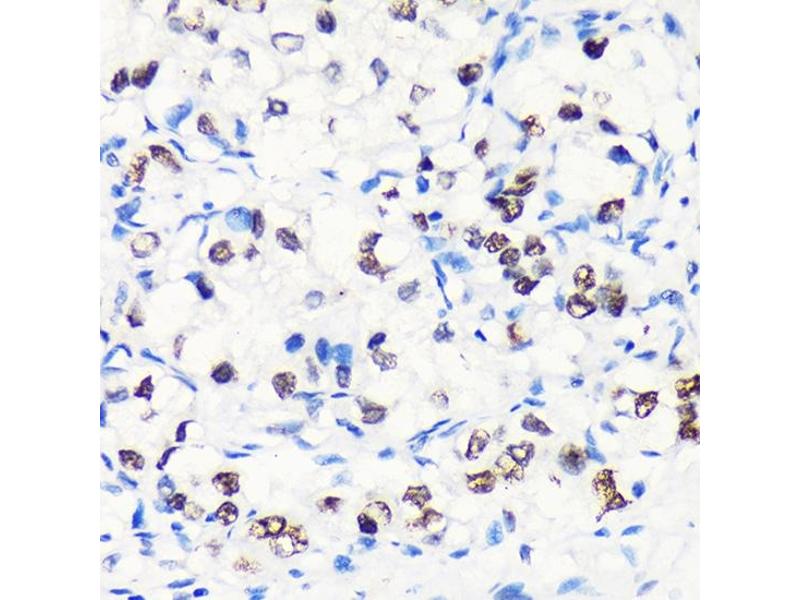
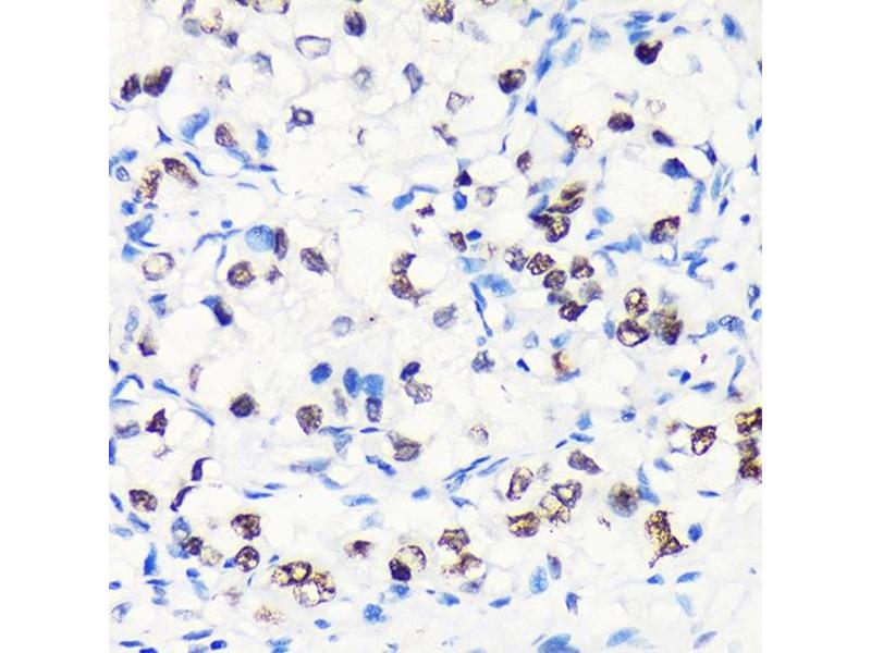
MYEF2 抗体 (AA 1-120)

The 兔 多克隆 anti-MYEF2 antibody (ABIN7268721) specifically detects MYEF2 in WB, IHC 和 IF. The antibody is reactive with 人 samples.
产品编号 ABIN7268721
发货至: 中国
Contact our Customer Service for availability and price in your country. Contact Info

Our Local Distributor

中国
北京 101111
No. 88 KeChuang 6th Street
Beijing Economic Technological Development Area
Room 801-803
4A Biotech Co.,Ltd.
Tel +86 (0512) 65829739 传真 +86 (010) 6788 5057

Quick Overview for MYEF2 抗体 (AA 1-120) (ABIN7268721)

抗原

See all MYEF2 抗体
MYEF2 (Myelin Expression Factor 2 (MYEF2))

适用

  • 30
  • 16
  • 14
  • 5
  • 4
  • 4
  • 3
  • 3
  • 2
  • 1
  • 1
  • 1
  • 1
  • 1

宿主

  • 30

克隆类型

  • 30
多克隆

标记

  • 20
  • 2
  • 1
  • 1
  • 1
  • 1
  • 1
  • 1
  • 1
  • 1
This MYEF2 antibody is un-conjugated

应用范围

  • 17
  • 14
  • 12
  • 7
  • 5
  • 4
  • 1
Western Blotting (WB), Immunohistochemistry (IHC), Immunofluorescence (IF)
  • 抗原表位

    • 5
    • 2
    • 2
    • 2
    • 1
    • 1
    • 1
    • 1
    • 1
    • 1
    • 1
    • 1
    AA 1-120

    原理

    MYEF2 Rabbit pAb

    序列

    MADANKAEVP GATGGDSPHL QPAEPPGEPR REPHPAEAEK QQPQHSSSSN GVKMENDESA KEEKSDLKEK STGSKKANRF HPYSKDKNSG TGEKKGPNRN RVFISNIPYD MKWQAIKDLM

    交叉反应

    人, 小鼠, 大鼠

    产品特性

    Polyclonal Antibodies

    纯化方法

    Affinity purification

    免疫原

    Recombinant fusion protein containing a sequence corresponding to amino acids 1-120 of human MYEF2 (NP_001288139.1).

    亚型

    IgG
  • 应用备注

    WB,1:500 - 1:2000,IHC,1:50 - 1:200,IF,1:50 - 1:200

    限制

    仅限研究用
  • 状态

    Liquid

    缓冲液

    PBS with 0.02 % sodium azide,50 % glycerol, pH 7.3.

    储存液

    Sodium azide

    注意事项

    This product contains Sodium azide: a POISONOUS AND HAZARDOUS SUBSTANCE which should be handled by trained staff only.

    储存条件

    -20 °C

    储存方法

    Store at -20°C. Avoid freeze / thaw cycles.
  • 抗原

    MYEF2 (Myelin Expression Factor 2 (MYEF2))

    别名

    MYEF2

    背景

    Transcriptional repressor of the myelin basic protein gene (MBP. Binds to the proximal MB1 element 5'-TTGTCC-3' of the MBP promoter. Its binding to MB1 and function are inhibited by PURA (By similarity.,MYEF2,HsT18564,MEF-2,MST156,MSTP156,myEF-2,Epigenetics & Nuclear Signaling,MYEF2

    分子量

    14kDa/20kDa/61kDa/64kDa

    基因ID

    50804

    UniProt

    Q9P2K5
You are here: