电话:
+86 (0512) 65829739
传真:
+86 (010) 6788 5057
电子邮件:
orders@antibodies-online.cn

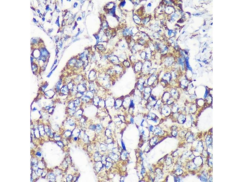
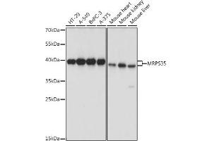
MRPS35 抗体 (AA 1-323)

This 兔 多克隆 antibody specifically detects MRPS35 in WB, IHC 和 IF. It exhibits reactivity toward 人.
产品编号 ABIN7268587
发货至: 中国
Contact our Customer Service for availability and price in your country. Contact Info

Our Local Distributor

中国
北京 101111
No. 88 KeChuang 6th Street
Beijing Economic Technological Development Area
Room 801-803
4A Biotech Co.,Ltd.
Tel +86 (0512) 65829739 传真 +86 (010) 6788 5057

Quick Overview for MRPS35 抗体 (AA 1-323) (ABIN7268587)

抗原

See all MRPS35 抗体
MRPS35 (Mitochondrial Ribosomal Protein S35 (MRPS35))

适用

  • 13
  • 3
  • 2

宿主

  • 9
  • 4

克隆类型

  • 12
  • 1
多克隆

标记

  • 13
This MRPS35 antibody is un-conjugated

应用范围

  • 13
  • 5
  • 4
  • 3
  • 1
  • 1
  • 1
Western Blotting (WB), Immunohistochemistry (IHC), Immunofluorescence (IF)
  • 抗原表位

    • 2
    • 1
    • 1
    • 1
    • 1
    • 1
    • 1
    AA 1-323

    原理

    MRPS35 Rabbit pAb

    序列

    MAAAALPAWL SLQSRARTLR AFSTAVYSAT PVPTPSLPER TPGNERPPRR KALPPRTEKM AVDQDWPSVY PVAAPFKPSA VPLPVRMGYP VKKGVPMAKE GNLELLKIPN FLHLTPVAIK KHCEALKDFC TEWPAALDSD EKCEKHFPIE IDSTDYVSSG PSVRNPRARV VVLRVKLSSL NLDDHAKKKL IKLVGERYCK TTDVLTIKTD RCPLRRQNYD YAVYLLTVLY HESWNTEEWE KSKTEADMEE YIWENSSSER NILETLLQMK AAEKNMEINK EELLGTKEIE EYKKSVVSLK NEEENENSIS QYKESVKRLL NVT

    交叉反应

    人, 小鼠

    产品特性

    Polyclonal Antibodies

    纯化方法

    Affinity purification

    免疫原

    Recombinant fusion protein containing a sequence corresponding to amino acids 1-323 of human MRPS35 (NP_068593.2).

    亚型

    IgG
  • 应用备注

    WB,1:500 - 1:2000,IHC,1:50 - 1:200,IF,1:50 - 1:200

    限制

    仅限研究用
  • 状态

    Liquid

    缓冲液

    PBS with 0.02 % sodium azide,50 % glycerol, pH 7.3.

    储存液

    Sodium azide

    注意事项

    This product contains Sodium azide: a POISONOUS AND HAZARDOUS SUBSTANCE which should be handled by trained staff only.

    储存条件

    -20 °C

    储存方法

    Store at -20°C. Avoid freeze / thaw cycles.
  • 抗原

    MRPS35 (Mitochondrial Ribosomal Protein S35 (MRPS35))

    别名

    MRPS35

    背景

    Mammalian mitochondrial ribosomal proteins are encoded by nuclear genes and help in protein synthesis within the mitochondrion. Mitochondrial ribosomes (mitoribosomes) consist of a small 28S subunit and a large 39S subunit. They have an estimated 75 % protein to rRNA composition compared to prokaryotic ribosomes, where this ratio is reversed. Another difference between mammalian mitoribosomes and prokaryotic ribosomes is that the latter contain a 5S rRNA. Among different species, the proteins comprising the mitoribosome differ greatly in sequence, and sometimes in biochemical properties, which prevents easy recognition by sequence homology. This gene encodes a 28S subunit protein that has had confusing nomenclature in the literature. Alternatively spliced transcript variants encoding different isoforms have been found for this gene. Pseudogenes corresponding to this gene are found on chromosomes 3p, 5q, and 10q.,MRPS35,HDCMD11P,MDS023,MRP-S28,MRPS28,Epigenetics & Nuclear Signaling,Endocrine & Metabolism,Mitochondrial metabolism,Mitochondrial translation,MRPS35

    分子量

    21kDa/36kDa

    基因ID

    60488

    UniProt

    P82673
You are here: