电话:
+86 (0512) 65829739
传真:
+86 (010) 6788 5057
电子邮件:
orders@antibodies-online.cn

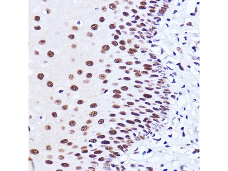
MATR3 抗体 (AA 747-847)

The 兔 多克隆 anti-MATR3 antibody (ABIN7268415) specifically detects MATR3 in WB, IHC 和 IF. The antibody is reactive with 人 samples.
产品编号 ABIN7268415
发货至: 中国
Contact our Customer Service for availability and price in your country. Contact Info

Our Local Distributor

中国
北京 101111
No. 88 KeChuang 6th Street
Beijing Economic Technological Development Area
Room 801-803
4A Biotech Co.,Ltd.
Tel +86 (0512) 65829739 传真 +86 (010) 6788 5057

Quick Overview for MATR3 抗体 (AA 747-847) (ABIN7268415)

抗原

See all MATR3 抗体
MATR3 (Matrin 3 (MATR3))

适用

  • 62
  • 44
  • 41
  • 4
  • 4
  • 4
  • 3
  • 3
  • 2
  • 1
  • 1
  • 1

宿主

  • 72
  • 6

克隆类型

  • 51
  • 26
多克隆

标记

  • 36
  • 5
  • 3
  • 3
  • 3
  • 3
  • 3
  • 3
  • 2
  • 2
  • 1
  • 1
  • 1
  • 1
  • 1
  • 1
  • 1
  • 1
  • 1
  • 1
  • 1
  • 1
  • 1
  • 1
  • 1
This MATR3 antibody is un-conjugated

应用范围

  • 44
  • 22
  • 21
  • 17
  • 16
  • 15
  • 13
  • 13
  • 8
  • 4
  • 3
  • 3
  • 2
  • 1
Western Blotting (WB), Immunohistochemistry (IHC), Immunofluorescence (IF)
  • 抗原表位

    • 15
    • 8
    • 5
    • 5
    • 2
    • 2
    • 1
    • 1
    • 1
    • 1
    AA 747-847

    原理

    Matrin 3 Rabbit pAb

    序列

    SSENADDPNK DTSENADGQS DENKDDYTIP DEYRIGPYQP NVPVGIDYVI PKTGFYCKLC SLFYTNEEVA KNTHCSSLPH YQKLKKFLNK LAEERRQKKE T

    交叉反应

    人, 小鼠, 大鼠

    产品特性

    Polyclonal Antibodies

    纯化方法

    Affinity purification

    免疫原

    Recombinant fusion protein containing a sequence corresponding to amino acids 747-847 of human Matrin 3 (NP_001181884.1).

    亚型

    IgG
  • 应用备注

    WB,1:500 - 1:2000,IHC,1:100 - 1:200,IF,1:50 - 1:200

    限制

    仅限研究用
  • 状态

    Liquid

    缓冲液

    PBS with 0.02 % sodium azide,50 % glycerol, pH 7.3.

    储存液

    Sodium azide

    注意事项

    This product contains Sodium azide: a POISONOUS AND HAZARDOUS SUBSTANCE which should be handled by trained staff only.

    储存条件

    -20 °C

    储存方法

    Store at -20°C. Avoid freeze / thaw cycles.
  • 抗原

    MATR3 (Matrin 3 (MATR3))

    别名

    MATR3

    背景

    This gene encodes a nuclear matrix protein, which is proposed to stabilize certain messenger RNA species. Mutations of this gene are associated with distal myopathy 2, which often includes vocal cord and pharyngeal weakness. Alternatively spliced transcript variants, including read-through transcripts composed of the upstream small nucleolar RNA host gene 4 (non-protein coding) and matrin 3 gene sequence, have been identified. Pseudogenes of this gene are located on chromosomes 1 and X.,MATR3,ALS21,MPD2,VCPDM,matrin-3,Epigenetics & Nuclear Signaling,RNA Binding,MATR3

    分子量

    62kDa/94kDa

    基因ID

    9782

    UniProt

    P43243
You are here: