电话:
+86 (0512) 65829739
传真:
+86 (010) 6788 5057
电子邮件:
orders@antibodies-online.cn

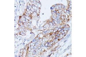
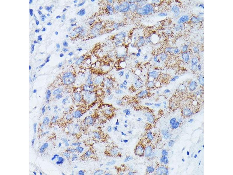
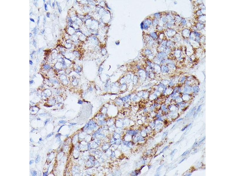
MANBA 抗体 (AA 18-300)

This 兔 多克隆 antibody specifically detects MANBA in WB 和 IHC. It exhibits reactivity toward 人.
产品编号 ABIN7268392
发货至: 中国
Contact our Customer Service for availability and price in your country. Contact Info

Our Local Distributor

中国
北京 101111
No. 88 KeChuang 6th Street
Beijing Economic Technological Development Area
Room 801-803
4A Biotech Co.,Ltd.
Tel +86 (0512) 65829739 传真 +86 (010) 6788 5057

Quick Overview for MANBA 抗体 (AA 18-300) (ABIN7268392)

抗原

See all MANBA 抗体
MANBA (Mannosidase, beta A, Lysosomal (MANBA))

适用

  • 10
  • 2
  • 2

宿主

  • 8
  • 2

克隆类型

  • 10
多克隆

标记

  • 10
This MANBA antibody is un-conjugated

应用范围

  • 9
  • 1
  • 1
Western Blotting (WB), Immunohistochemistry (IHC)
  • 抗原表位

    • 4
    • 1
    • 1
    • 1
    • 1
    AA 18-300

    原理

    MANBA Rabbit pAb

    序列

    AAELSYSLRG NWSICNGNGS LELPGAVPGC VHSALFQQGL IQDSYYRFND LNYRWVSLDN WTYSKEFKIP FEISKWQKVN LILEGVDTVS KILFNEVTIG ETDNMFNRYS FDITNVVRDV NSIELRFQSA VLYAAQQSKA HTRYQVPPDC PPLVQKGECH VNFVRKEQCS FSWDWGPSFP TQGIWKDVRI EAYNICHLNY FTFSPIYDKS AQEWNLEIES TFDVVSSKPV GGQVIVAIPK LQTQQTYSIE LQPGKRIVEL FVNISKNITV ETWWPHGHGN QTG

    交叉反应

    人, 小鼠

    产品特性

    Polyclonal Antibodies

    纯化方法

    Affinity purification

    免疫原

    Recombinant fusion protein containing a sequence corresponding to amino acids 18-300 of human MANBA (NP_005899.3).

    亚型

    IgG
  • 应用备注

    WB,1:200 - 1:2000,IHC,1:50 - 1:200

    限制

    仅限研究用
  • 状态

    Liquid

    缓冲液

    PBS with 0.02 % sodium azide,50 % glycerol, pH 7.3.

    储存液

    Sodium azide

    注意事项

    This product contains Sodium azide: a POISONOUS AND HAZARDOUS SUBSTANCE which should be handled by trained staff only.

    储存条件

    -20 °C

    储存方法

    Store at -20°C. Avoid freeze / thaw cycles.
  • 抗原

    MANBA (Mannosidase, beta A, Lysosomal (MANBA))

    别名

    MANBA

    背景

    This gene encodes a member of the glycosyl hydrolase 2 family. The encoded protein localizes to the lysosome where it is the final exoglycosidase in the pathway for N-linked glycoprotein oligosaccharide catabolism. Mutations in this gene are associated with beta-mannosidosis, a lysosomal storage disease that has a wide spectrum of neurological involvement.,MANBA,MANB1,Cancer,Signal Transduction,Endocrine & Metabolism,Neuroscience,MANBA

    分子量

    100kDa

    基因ID

    4126

    UniProt

    O00462
You are here: