电话:
+86 (0512) 65829739
传真:
+86 (010) 6788 5057
电子邮件:
orders@antibodies-online.cn

LUM 抗体

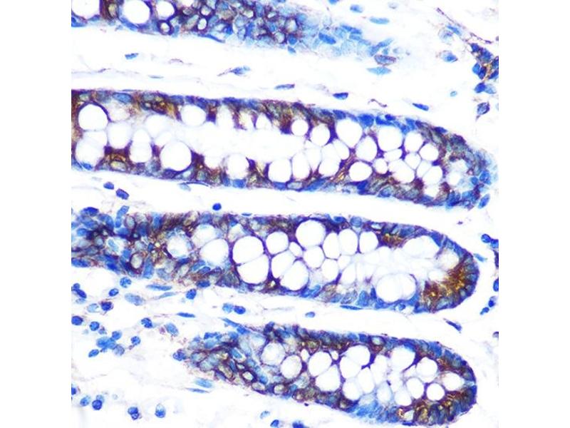
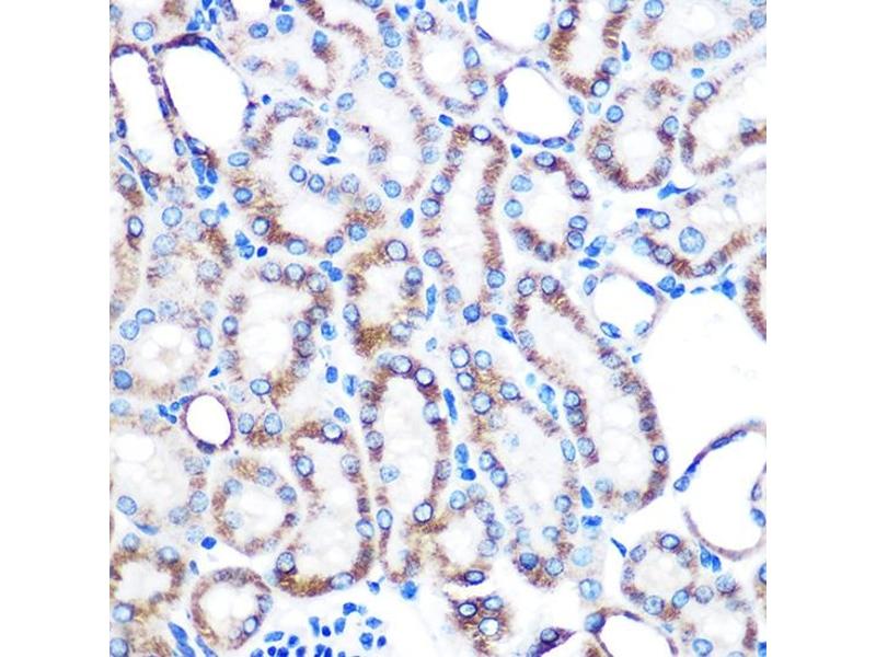
The 兔 单克隆 anti-LUM antibody is suitable to detect LUM in samples from 人. It has been validated for WB 和 IHC.
产品编号 ABIN7268309
发货至: 中国
Contact our Customer Service for availability and price in your country. Contact Info

Our Local Distributor

中国
北京 101111
No. 88 KeChuang 6th Street
Beijing Economic Technological Development Area
Room 801-803
4A Biotech Co.,Ltd.
Tel +86 (0512) 65829739 传真 +86 (010) 6788 5057

Quick Overview for LUM 抗体 (ABIN7268309)

抗原

See all LUM 抗体
LUM (Lumican (LUM))

适用

  • 84
  • 50
  • 36
  • 4
  • 4
  • 3
  • 3
  • 2
  • 2
  • 1
  • 1

宿主

  • 86
  • 11

克隆类型

  • 67
  • 30
单克隆

标记

  • 43
  • 12
  • 5
  • 3
  • 3
  • 3
  • 3
  • 3
  • 3
  • 3
  • 1
  • 1
  • 1
  • 1
  • 1
  • 1
  • 1
  • 1
  • 1
  • 1
  • 1
  • 1
  • 1
  • 1
  • 1
  • 1
This LUM antibody is un-conjugated

应用范围

  • 67
  • 36
  • 23
  • 21
  • 20
  • 16
  • 13
  • 13
  • 6
  • 5
  • 3
  • 2
  • 2
  • 2
  • 2
Western Blotting (WB), Immunohistochemistry (IHC)
  • 原理

    Lumican (LUM) Rabbit mAb

    交叉反应

    人, 小鼠

    产品特性

    Monoclonal Antibodies

    纯化方法

    Affinity purification

    免疫原

    A synthesized peptide derived from human Lumican (LUM) (LUM)

    亚型

    IgG
  • 应用备注

    WB,1:500 - 1:2000,IHC,1:50 - 1:200

    限制

    仅限研究用
  • 状态

    Liquid

    缓冲液

    PBS with 0.02 % sodium azide,0.05 % BSA,50 % glycerol, pH 7.3.

    储存液

    Sodium azide

    注意事项

    This product contains Sodium azide: a POISONOUS AND HAZARDOUS SUBSTANCE which should be handled by trained staff only.

    储存条件

    -20 °C

    储存方法

    Store at -20°C. Avoid freeze / thaw cycles.
  • 抗原

    LUM (Lumican (LUM))

    别名

    LUM

    背景

    This gene encodes a member of the small leucine-rich proteoglycan (SLRP) family that includes decorin, biglycan, fibromodulin, keratocan, epiphycan, and osteoglycin. In these bifunctional molecules, the protein moiety binds collagen fibrils and the highly charged hydrophilic glycosaminoglycans regulate interfibrillar spacings. Lumican is the major keratan sulfate proteoglycan of the cornea but is also distributed in interstitial collagenous matrices throughout the body. Lumican may regulate collagen fibril organization and circumferential growth, corneal transparency, and epithelial cell migration and tissue repair. [provided by RefSeq, Jul 2008],LDC, SLRR2D,Cancer,Cell Biology & Developmental Biology,Cytoskeleton,Extracellular Matrix,Invasion and Metastasis,Signal Transduction,LUM

    分子量

    52kDa

    基因ID

    4060

    UniProt

    P51884

    途径

    Glycosaminoglycan Metabolic Process
You are here: