电话:
+86 (0512) 65829739
传真:
+86 (010) 6788 5057
电子邮件:
orders@antibodies-online.cn

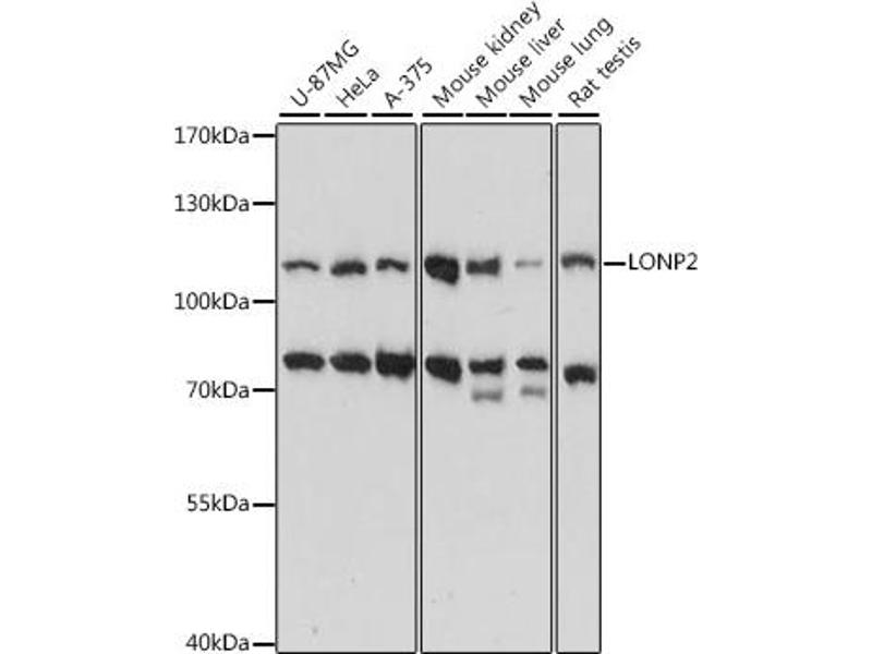
LONP2 抗体 (AA 1-300)

This 兔 多克隆 antibody specifically detects LONP2 in WB. It exhibits reactivity toward 人.
产品编号 ABIN7268293
发货至: 中国
Contact our Customer Service for availability and price in your country. Contact Info

Our Local Distributor

中国
北京 101111
No. 88 KeChuang 6th Street
Beijing Economic Technological Development Area
Room 801-803
4A Biotech Co.,Ltd.
Tel +86 (0512) 65829739 传真 +86 (010) 6788 5057

Quick Overview for LONP2 抗体 (AA 1-300) (ABIN7268293)

抗原

See all LONP2 抗体
LONP2 (Lon Peptidase 2, Peroxisomal (LONP2))

适用

  • 16
  • 13
  • 4
  • 2
  • 1
  • 1

宿主

  • 16

克隆类型

  • 16
多克隆

标记

  • 11
  • 1
  • 1
  • 1
  • 1
  • 1
This LONP2 antibody is un-conjugated

应用范围

  • 15
  • 11
  • 3
  • 1
  • 1
Western Blotting (WB)
  • 抗原表位

    • 7
    • 4
    • 3
    • 2
    • 1
    • 1
    • 1
    AA 1-300

    原理

    LONP2 Rabbit pAb

    序列

    MSSVSPIQIP SRLPLLLTHE GVLLPGSTMR TSVDSARNLQ LVRSRLLKGT SLQSTILGVI PNTPDPASDA QDLPPLHRIG TAALAVQVVG SNWPKPHYTL LITGLCRFQI VQVLKEKPYP IAEVEQLDRL EEFPNTCKMR EELGELSEQF YKYAVQLVEM LDMSVPAVAK LRRLLDSLPR EALPDILTSI IRTSNKEKLQ ILDAVSLEER FKMTIPLLVR QIEGLKLLQK TRKPKQDDDK RVIAIRPIRR ITHISGTLED EDEDEDNDDI VMLEKKIRTS SMPEQAHKVC VKEIKRLKKM

    交叉反应

    人, 小鼠, 大鼠

    产品特性

    Polyclonal Antibodies

    纯化方法

    Affinity purification

    免疫原

    Recombinant fusion protein containing a sequence corresponding to amino acids 1-300 of human LONP2 (NP_113678.2).

    亚型

    IgG
  • 应用备注

    WB,1:500 - 1:2000

    限制

    仅限研究用
  • 状态

    Liquid

    缓冲液

    PBS with 0.02 % sodium azide,50 % glycerol, pH 7.3.

    储存液

    Sodium azide

    注意事项

    This product contains Sodium azide: a POISONOUS AND HAZARDOUS SUBSTANCE which should be handled by trained staff only.

    储存条件

    -20 °C

    储存方法

    Store at -20°C. Avoid freeze / thaw cycles.
  • 抗原

    LONP2 (Lon Peptidase 2, Peroxisomal (LONP2))

    别名

    LONP2

    背景

    In human, peroxisomes function primarily to catalyze fatty acid beta-oxidation and, as a by-product, produce hydrogen peroxide and superoxide. The protein encoded by this gene is an ATP-dependent protease that likely plays a role in maintaining overall peroxisome homeostasis as well as proteolytically degrading peroxisomal proteins damaged by oxidation. The protein has an N-terminal Lon N substrate recognition domain, an ATPase domain, a proteolytic domain, and, in some isoforms, a C-terminal peroxisome targeting sequence. Alternative splicing results in multiple transcript variants encoding distinct isoforms.,LONP2,LONP,LONPL,PLON,PSLON,Cell Biology & Developmental Biology,Ubiquitin,LONP2

    分子量

    89kDa/94kDa

    基因ID

    83752

    UniProt

    Q86WA8
You are here: