电话:
+86 (0512) 65829739
传真:
+86 (010) 6788 5057
电子邮件:
orders@antibodies-online.cn

LTA4H 抗体

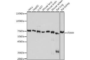
The 兔 单克隆 anti-LTA4H antibody (ABIN7268244) specifically detects LTA4H in WB 和 IF. The antibody is reactive with 人 samples.
产品编号 ABIN7268244
发货至: 中国
Contact our Customer Service for availability and price in your country. Contact Info

Our Local Distributor

中国
北京 101111
No. 88 KeChuang 6th Street
Beijing Economic Technological Development Area
Room 801-803
4A Biotech Co.,Ltd.
Tel +86 (0512) 65829739 传真 +86 (010) 6788 5057

Quick Overview for LTA4H 抗体 (ABIN7268244)

抗原

See all LTA4H 抗体
LTA4H (Leukotriene A4 Hydrolase (LTA4H))

适用

  • 57
  • 31
  • 26
  • 7
  • 4
  • 3
  • 3
  • 3
  • 3
  • 2
  • 1

宿主

  • 47
  • 12

克隆类型

  • 31
  • 28
单克隆

标记

  • 39
  • 3
  • 2
  • 2
  • 2
  • 2
  • 2
  • 2
  • 2
  • 1
  • 1
  • 1
This LTA4H antibody is un-conjugated

应用范围

  • 45
  • 27
  • 19
  • 17
  • 12
  • 10
  • 6
  • 6
  • 1
  • 1
  • 1
  • 1
  • 1
  • 1
Western Blotting (WB), Immunofluorescence (IF)
  • 原理

    LTA4H Rabbit mAb

    交叉反应

    人, 小鼠, 大鼠

    产品特性

    Monoclonal Antibodies

    纯化方法

    Affinity purification

    免疫原

    A synthesized peptide derived from human LTA4H

    亚型

    IgG
  • 应用备注

    WB,1:500 - 1:2000,IF,1:50 - 1:200

    限制

    仅限研究用
  • 状态

    Liquid

    缓冲液

    PBS with 0.02 % sodium azide,0.05 % BSA,50 % glycerol, pH 7.3.

    储存液

    Sodium azide

    注意事项

    This product contains Sodium azide: a POISONOUS AND HAZARDOUS SUBSTANCE which should be handled by trained staff only.

    储存条件

    -20 °C

    储存方法

    Store at -20°C. Avoid freeze / thaw cycles.
  • 抗原

    LTA4H (Leukotriene A4 Hydrolase (LTA4H))

    别名

    LTA4H

    背景

    The protein encoded by this gene is an enzyme that contains both hydrolase and aminopeptidase activities. The hydrolase activity is used in the final step of the biosynthesis of leukotriene B4, a proinflammatory mediator. The aminopeptidase activity has been shown to degrade proline-glycine-proline (PGP), a neutrophil chemoattractant and biomarker for chronic obstructive pulmonary disease (COPD). Several transcript variants encoding different isoforms have been found for this gene. [provided by RefSeq, Sep 2015],LTA4H, leukotriene A4 hydrolase,Cancer,Cell Intrinsic Innate Immunity Signaling Pathway,Endocrine & Metabolism,Epigenetics & Nuclear Signaling,Immunology & Inflammation,RNA Binding,LTA4H

    分子量

    69kDa

    基因ID

    4048

    UniProt

    P09960
You are here: