电话:
+86 (0512) 65829739
传真:
+86 (010) 6788 5057
电子邮件:
orders@antibodies-online.cn

KLF13 抗体 (AA 100-200)

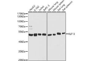
The 兔 多克隆 anti-KLF13 antibody is suitable to detect KLF13 in samples from 人. It has been validated for WB.
产品编号 ABIN7268153
发货至: 中国
Contact our Customer Service for availability and price in your country. Contact Info

Our Local Distributor

中国
北京 101111
No. 88 KeChuang 6th Street
Beijing Economic Technological Development Area
Room 801-803
4A Biotech Co.,Ltd.
Tel +86 (0512) 65829739 传真 +86 (010) 6788 5057

Quick Overview for KLF13 抗体 (AA 100-200) (ABIN7268153)

抗原

See all KLF13 抗体
KLF13 (Kruppel-Like Factor 13 (KLF13))

适用

  • 17
  • 9
  • 5

宿主

  • 15
  • 2
  • 1

克隆类型

  • 16
  • 2
多克隆

标记

  • 14
  • 2
  • 1
  • 1
This KLF13 antibody is un-conjugated

应用范围

  • 14
  • 13
  • 5
  • 1
  • 1
  • 1
Western Blotting (WB)
  • 抗原表位

    • 6
    • 2
    • 2
    • 1
    • 1
    • 1
    • 1
    • 1
    • 1
    AA 100-200

    原理

    KLF13 Rabbit pAb

    序列

    PPAPEPTSPG AEGAAAAPPS PAWSEPEPEA GLEPEREPGP AGSGEPGLRQ RVRRGRSRAD LESPQRKHKC HYAGCEKVYG KSSHLKAHLR THTGERPFAC S

    交叉反应

    人, 小鼠, 大鼠

    产品特性

    Polyclonal Antibodies

    纯化方法

    Affinity purification

    免疫原

    A synthetic peptide corresponding to a sequence within amino acids 100-200 of human KLF13 (NP_057079.2).

    亚型

    IgG
  • 应用备注

    WB,1:500 - 1:2000

    限制

    仅限研究用
  • 状态

    Liquid

    缓冲液

    PBS with 0.02 % sodium azide,50 % glycerol, pH 7.3.

    储存液

    Sodium azide

    注意事项

    This product contains Sodium azide: a POISONOUS AND HAZARDOUS SUBSTANCE which should be handled by trained staff only.

    储存条件

    -20 °C

    储存方法

    Store at -20°C. Avoid freeze / thaw cycles.
  • 抗原

    KLF13 (Kruppel-Like Factor 13 (KLF13))

    别名

    KLF13

    背景

    KLF13 belongs to a family of transcription factors that contain 3 classical zinc finger DNA-binding domains consisting of a zinc atom tetrahedrally coordinated by 2 cysteines and 2 histidines (C2H2 motif). These transcription factors bind to GC-rich sequences and related GT and CACCC boxes (Scohy et al., 2000 [PubMed 11087666]).,KLF13,BTEB3,FKLF2,NSLP1,RFLAT-1,RFLAT1,Epigenetics & Nuclear Signaling,Transcription Factors,Cardiovascular,Heart,Cardiogenesis,KLF13

    分子量

    31kDa

    基因ID

    51621

    UniProt

    Q9Y2Y9
You are here: