电话:
+86 (0512) 65829739
传真:
+86 (010) 6788 5057
电子邮件:
orders@antibodies-online.cn

KIF4A 抗体

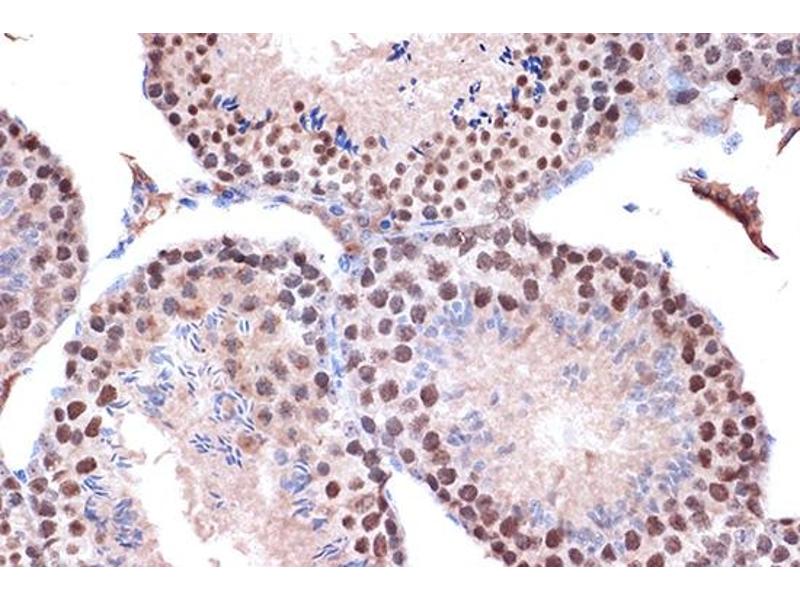
This 兔 单克隆 antibody specifically detects KIF4A in WB 和 IHC. It exhibits reactivity toward 人.
产品编号 ABIN7268134
发货至: 中国
Contact our Customer Service for availability and price in your country. Contact Info

Our Local Distributor

中国
北京 101111
No. 88 KeChuang 6th Street
Beijing Economic Technological Development Area
Room 801-803
4A Biotech Co.,Ltd.
Tel +86 (0512) 65829739 传真 +86 (010) 6788 5057

Quick Overview for KIF4A 抗体 (ABIN7268134)

抗原

See all KIF4A 抗体
KIF4A (Kinesin Family Member 4A (KIF4A))

适用

  • 38
  • 17
  • 3
  • 2
  • 2
  • 2
  • 1
  • 1
  • 1
  • 1

宿主

  • 36
  • 1
  • 1

克隆类型

  • 27
  • 11
单克隆

标记

  • 22
  • 2
  • 2
  • 2
  • 2
  • 2
  • 2
  • 2
  • 1
  • 1
This KIF4A antibody is un-conjugated

应用范围

  • 27
  • 12
  • 9
  • 8
  • 6
  • 4
  • 4
  • 1
Western Blotting (WB), Immunohistochemistry (IHC)
  • 原理

    KIF4A Rabbit mAb

    交叉反应

    人, 小鼠, 大鼠

    产品特性

    Monoclonal Antibodies

    纯化方法

    Affinity purification

    免疫原

    A synthesized peptide derived from human KIF4A

    亚型

    IgG
  • 应用备注

    WB,1:500 - 1:2000,IHC,1:50 - 1:200

    限制

    仅限研究用
  • 状态

    Liquid

    缓冲液

    PBS with 0.02 % sodium azide,0.05 % BSA,50 % glycerol, pH 7.3.

    储存液

    Sodium azide

    注意事项

    This product contains Sodium azide: a POISONOUS AND HAZARDOUS SUBSTANCE which should be handled by trained staff only.

    储存条件

    -20 °C

    储存方法

    Store at -20°C. Avoid freeze / thaw cycles.
  • 抗原

    KIF4A (Kinesin Family Member 4A (KIF4A))

    别名

    KIF4A

    背景

    This gene encodes a member of the kinesin 4 subfamily of kinesin related proteins. The encoded protein is an ATP dependent microtubule-based motor protein that is involved in the intracellular transport of membranous organelles. This protein also associates with condensed chromosome arms and may be involved in maintaining chromosome integrity during mitosis. This protein may also be involved in the organization of the central spindle prior to cytokinesis. A pseudogene of this gene is found on chromosome X.[provided by RefSeq, Mar 2010],KIF4, KIF4G1, MRX100,Apoptosis,Cell Biology & Developmental Biology,Cell Cycle,Cytoskeleton,Cytoskeleton_Motor Proteins,Epigenetics & Nuclear Signaling,Signal Transduction,KIF4A

    分子量

    150kDa

    基因ID

    24137

    UniProt

    O95239
You are here: