电话:
+86 (0512) 65829739
传真:
+86 (010) 6788 5057
电子邮件:
orders@antibodies-online.cn

KRT14 抗体

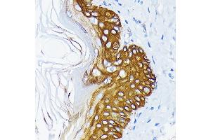
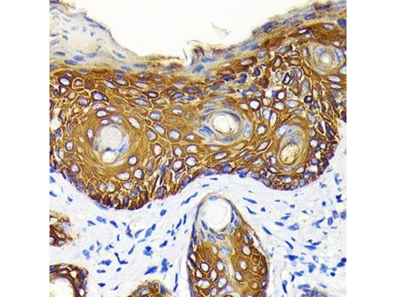
The 兔 单克隆 anti-KRT14 antibody (ABIN7268091) specifically detects KRT14 in WB 和 IHC. The antibody is reactive with 人 samples.
产品编号 ABIN7268091
发货至: 中国
Contact our Customer Service for availability and price in your country. Contact Info

Our Local Distributor

中国
北京 101111
No. 88 KeChuang 6th Street
Beijing Economic Technological Development Area
Room 801-803
4A Biotech Co.,Ltd.
Tel +86 (0512) 65829739 传真 +86 (010) 6788 5057

Quick Overview for KRT14 抗体 (ABIN7268091)

抗原

See all KRT14 抗体
KRT14 (Keratin 14 (KRT14))

适用

  • 147
  • 85
  • 71
  • 16
  • 6
  • 3
  • 3
  • 2
  • 2
  • 2
  • 1
  • 1
  • 1
  • 1

宿主

  • 94
  • 57
  • 2

克隆类型

  • 91
  • 61
  • 1
单克隆

标记

  • 83
  • 8
  • 7
  • 4
  • 4
  • 4
  • 4
  • 4
  • 4
  • 2
  • 2
  • 2
  • 2
  • 2
  • 2
  • 2
  • 2
  • 2
  • 2
  • 1
  • 1
  • 1
  • 1
  • 1
  • 1
  • 1
  • 1
  • 1
  • 1
  • 1
This KRT14 antibody is un-conjugated

应用范围

  • 76
  • 76
  • 58
  • 53
  • 34
  • 31
  • 19
  • 17
  • 13
  • 13
  • 12
  • 12
  • 11
  • 2
  • 1
  • 1
  • 1
Western Blotting (WB), Immunohistochemistry (IHC)
  • 原理

    Cytokeratin 14 (KRT14) Rabbit mAb

    交叉反应

    人, 小鼠, 大鼠

    产品特性

    Monoclonal Antibodies

    纯化方法

    Affinity purification

    免疫原

    A synthesized peptide derived from human Cytokeratin 14 (KRT14) (KRT14)

    亚型

    IgG
  • 应用备注

    WB,1:500 - 1:2000,IHC,1:50 - 1:200

    限制

    仅限研究用
  • 状态

    Liquid

    缓冲液

    PBS with 0.02 % sodium azide,0.05 % BSA,50 % glycerol, pH 7.3.

    储存液

    Sodium azide

    注意事项

    This product contains Sodium azide: a POISONOUS AND HAZARDOUS SUBSTANCE which should be handled by trained staff only.

    储存条件

    -20 °C

    储存方法

    Store at -20°C. Avoid freeze / thaw cycles.
  • 抗原

    KRT14 (Keratin 14 (KRT14))

    别名

    KRT14

    背景

    This gene encodes a member of the keratin family, the most diverse group of intermediate filaments. This gene product, a type I keratin, is usually found as a heterotetramer with two keratin 5 Molecules, a type II keratin. Together they form the cytoskeleton of epithelial cells. Mutations in the genes for these keratins are associated with epidermolysis bullosa simplex. At least one pseudogene has been identified at 17p12-p11. [provided by RefSeq, Jul 2008],CK14,EBS3,EBS4,K14,NFJ,Cytokeratin 14,KRT14,Cell Biology & Developmental Biology,Cytoskeleton,Cytoskeleton_Intermediate Filaments,Extracellular Matrix,Extracellular Matrix_Cytokeratin,Extracellular Matrix_Keratin,Signal Transduction,KRT14

    分子量

    53kDa

    基因ID

    3861

    UniProt

    P02533
You are here: