电话:
+86 (0512) 65829739
传真:
+86 (010) 6788 5057
电子邮件:
orders@antibodies-online.cn

KLHL8 抗体 (AA 271-620)

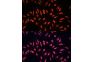
The 兔 多克隆 anti-KLHL8 antibody is suitable to detect KLHL8 in samples from 人. It has been validated for WB 和 IF.
产品编号 ABIN7268081
发货至: 中国
Contact our Customer Service for availability and price in your country. Contact Info

Our Local Distributor

中国
北京 101111
No. 88 KeChuang 6th Street
Beijing Economic Technological Development Area
Room 801-803
4A Biotech Co.,Ltd.
Tel +86 (0512) 65829739 传真 +86 (010) 6788 5057

Quick Overview for KLHL8 抗体 (AA 271-620) (ABIN7268081)

抗原

KLHL8 (Kelch-Like 8 (KLHL8))

适用

  • 16
  • 6
  • 5
  • 5
  • 4
  • 3
  • 3
  • 2
  • 1
  • 1
  • 1
  • 1
  • 1
  • 1

宿主

  • 15
  • 1

克隆类型

  • 16
多克隆

标记

  • 9
  • 1
  • 1
  • 1
  • 1
  • 1
  • 1
  • 1
This KLHL8 antibody is un-conjugated

应用范围

  • 8
  • 2
  • 1
  • 1
Western Blotting (WB), Immunofluorescence (IF)
  • 抗原表位

    • 2
    • 2
    • 1
    AA 271-620

    原理

    KLHL8 Rabbit pAb

    序列

    AKEQIVKQNL KCRDLLDEAR NYHLHLSSRA VPDFEYSIRT TPRKHTAGVL FCVGGRGGSG DPFRSIECYS INKNSWFFGP EMNSRRRHVG VISVEGKVYA VGGHDGNEHL GSMEMFDPLT NKWMMKASMN TKRRGIALAS LGGPIYAIGG LDDNTCFNDV ERYDIESDQW STVAPMNTPR GGVGSVALVN HVYAVGGNDG MASLSSVERY DPHLDKWIEV KEMGQRRAGN GVSKLHGCLY VVGGFDDNSP LSSVERYDPR SNKWDYVAAL TTPRGGVGIA TVMGKIFAVG GHNGNAYLNT VEAFDPVLNR WELVGSVSHC RAGAGVAVCS CLTSQIRDVG HGSNNVVDCM

    交叉反应

    人, 小鼠, 大鼠

    产品特性

    Polyclonal Antibodies

    纯化方法

    Affinity purification

    免疫原

    Recombinant fusion protein containing a sequence corresponding to amino acids 271-620 of human KLHL8 (NP_065854.3).

    亚型

    IgG
  • 应用备注

    WB,1:500 - 1:2000,IF,1:50 - 1:200

    限制

    仅限研究用
  • 状态

    Liquid

    缓冲液

    PBS with 0.02 % sodium azide,50 % glycerol, pH 7.3.

    储存液

    Sodium azide

    注意事项

    This product contains Sodium azide: a POISONOUS AND HAZARDOUS SUBSTANCE which should be handled by trained staff only.

    储存条件

    -20 °C

    储存方法

    Store at -20°C. Avoid freeze / thaw cycles.
  • 抗原

    KLHL8 (Kelch-Like 8 (KLHL8))

    别名

    KLHL8

    背景

    Substrate-specific adapter of a BCR (BTB-CUL3-RBX1 E3 ubiquitin ligase complex required for The BCR(KLHL8 ubiquitin ligase complex mediates ubiquitination and degradation of RAPSN.,KLHL8,Epigenetics & Nuclear Signaling,Cancer,Cell Biology & Developmental Biology,Cell Cycle,Cell differentiation,KLHL8

    分子量

    60kDa/68kDa

    基因ID

    57563

    UniProt

    Q9P2G9
You are here: