电话:
+86 (0512) 65829739
传真:
+86 (010) 6788 5057
电子邮件:
orders@antibodies-online.cn

ISL1 抗体

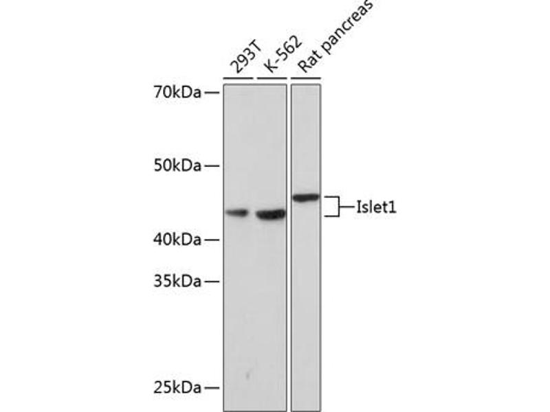
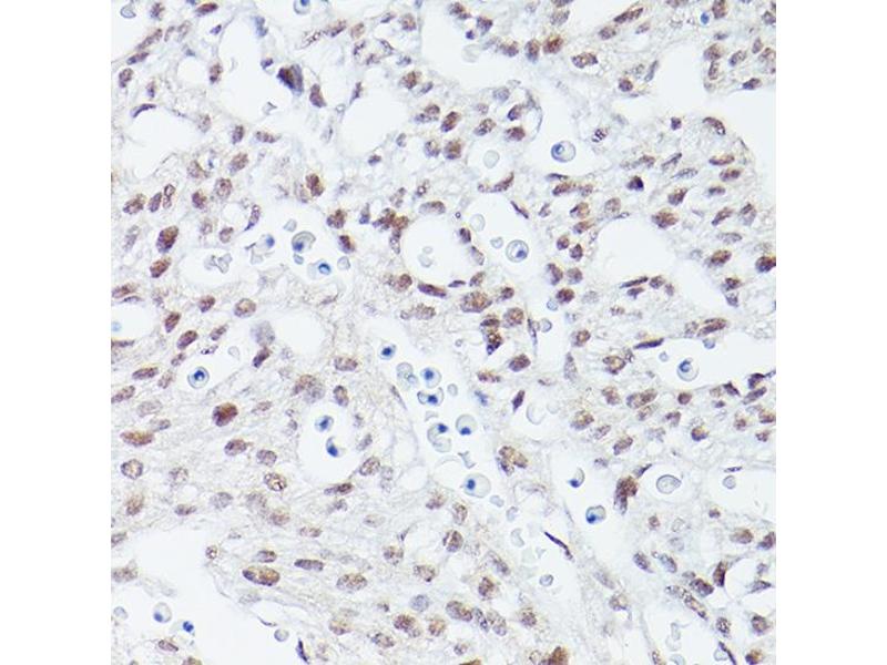
The 兔 单克隆 anti-ISL1 antibody is suitable to detect ISL1 in samples from 人. It has been validated for WB 和 IHC.
产品编号 ABIN7268024
发货至: 中国
Contact our Customer Service for availability and price in your country. Contact Info

Our Local Distributor

中国
北京 101111
No. 88 KeChuang 6th Street
Beijing Economic Technological Development Area
Room 801-803
4A Biotech Co.,Ltd.
Tel +86 (0512) 65829739 传真 +86 (010) 6788 5057

Quick Overview for ISL1 抗体 (ABIN7268024)

抗原

See all ISL1 抗体
ISL1 (ISL LIM Homeobox 1 (ISL1))

适用

  • 97
  • 58
  • 34
  • 8
  • 4
  • 4
  • 4
  • 4
  • 3
  • 3
  • 2
  • 2
  • 2
  • 2
  • 1
  • 1

宿主

  • 96
  • 9

克隆类型

  • 64
  • 41
单克隆

标记

  • 44
  • 8
  • 6
  • 5
  • 4
  • 4
  • 4
  • 4
  • 4
  • 4
  • 2
  • 2
  • 2
  • 1
  • 1
  • 1
  • 1
  • 1
  • 1
  • 1
  • 1
  • 1
  • 1
  • 1
  • 1
This ISL1 antibody is un-conjugated

应用范围

  • 78
  • 33
  • 27
  • 24
  • 22
  • 18
  • 14
  • 13
  • 12
  • 6
  • 4
  • 1
  • 1
  • 1
Western Blotting (WB), Immunohistochemistry (IHC)
  • 原理

    Islet1 Rabbit mAb

    交叉反应

    人, 小鼠, 大鼠

    产品特性

    Monoclonal Antibodies

    纯化方法

    Affinity purification

    免疫原

    A synthesized peptide derived from human Islet1

    亚型

    IgG
  • 应用备注

    WB,1:500 - 1:2000,IHC,1:50 - 1:200

    限制

    仅限研究用
  • 状态

    Liquid

    缓冲液

    PBS with 0.02 % sodium azide,0.05 % BSA,50 % glycerol, pH 7.3.

    储存液

    Sodium azide

    注意事项

    This product contains Sodium azide: a POISONOUS AND HAZARDOUS SUBSTANCE which should be handled by trained staff only.

    储存条件

    -20 °C

    储存方法

    Store at -20°C. Avoid freeze / thaw cycles.
  • 抗原

    ISL1 (ISL LIM Homeobox 1 (ISL1))

    别名

    ISL1

    背景

    This gene encodes a member of the LIM/homeodomain family of transcription factors. The encoded protein binds to the enhancer region of the insulin gene, among others, and may play an important role in regulating insulin gene expression. The encoded protein is central to the development of pancreatic cell lineages and may also be required for motor neuron generation. Mutations in this gene have been associated with maturity-onset diabetes of the young. [provided by RefSeq, Jul 2008],ISLET1, Isl-1,Cardiovascular,Cell Biology & Developmental Biology,Cell Type Marker,Cell Type Marker_Neuron marker,Endocrine & Metabolism,Endocrine and metabolic diseases,Endocrine and metabolic diseases_Diabetes,Epigenetics & Nuclear Signaling,Heart,Heart_Cardiogenesis,Neural Stem Cells,Neuroscience,Stem Cells,Transcription Factors,ISL1

    分子量

    39kDa

    基因ID

    3670

    UniProt

    P61371

    途径

    Positive Regulation of Peptide Hormone Secretion, Intracellular Steroid Hormone Receptor Signaling Pathway, Peptide Hormone Metabolism, Regulation of Intracellular Steroid Hormone Receptor Signaling, Nuclear Hormone Receptor Binding, Chromatin Binding
You are here: