电话:
+86 (0512) 65829739
传真:
+86 (010) 6788 5057
电子邮件:
orders@antibodies-online.cn

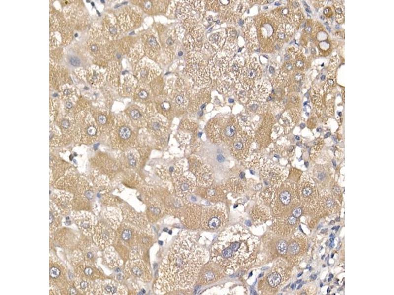
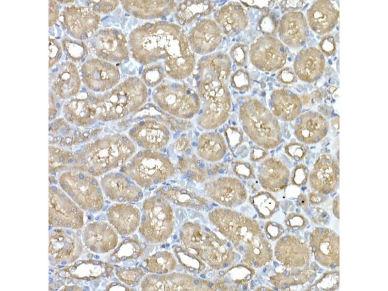
IL11RA 抗体

This 兔 单克隆 antibody specifically detects IL11RA in WB, IHC 和 IF. It exhibits reactivity toward 人.
产品编号 ABIN7267984
发货至: 中国
Contact our Customer Service for availability and price in your country. Contact Info

Our Local Distributor

中国
北京 101111
No. 88 KeChuang 6th Street
Beijing Economic Technological Development Area
Room 801-803
4A Biotech Co.,Ltd.
Tel +86 (0512) 65829739 传真 +86 (010) 6788 5057

Quick Overview for IL11RA 抗体 (ABIN7267984)

抗原

See all IL11RA 抗体
IL11RA (Interleukin 11 Receptor, alpha (IL11RA))

适用

  • 57
  • 23
  • 11
  • 3
  • 3
  • 3
  • 3
  • 2
  • 1
  • 1
  • 1

宿主

  • 55
  • 5
  • 4

克隆类型

  • 33
  • 28
  • 2
单克隆

标记

  • 34
  • 6
  • 3
  • 3
  • 3
  • 3
  • 3
  • 3
  • 2
  • 2
  • 1
This IL11RA antibody is un-conjugated

应用范围

  • 49
  • 31
  • 15
  • 14
  • 14
  • 11
  • 3
  • 3
  • 1
  • 1
  • 1
  • 1
  • 1
Western Blotting (WB), Immunohistochemistry (IHC), Immunofluorescence (IF)
  • 原理

    IL11RA Rabbit mAb

    交叉反应

    人, 小鼠, 大鼠

    产品特性

    Monoclonal Antibodies

    纯化方法

    Affinity purification

    免疫原

    A synthesized peptide derived from human IL11RA.

    亚型

    IgG
  • 应用备注

    WB,1:500 - 1:2000,IHC,1:50 - 1:200,IF,1:50 - 1:200

    限制

    仅限研究用
  • 状态

    Liquid

    缓冲液

    PBS with 0.02 % sodium azide,50 % glycerol, pH 7.3.

    储存液

    Sodium azide

    注意事项

    This product contains Sodium azide: a POISONOUS AND HAZARDOUS SUBSTANCE which should be handled by trained staff only.

    储存条件

    -20 °C

    储存方法

    Store at -20°C. Avoid freeze / thaw cycles.
  • 抗原

    IL11RA (Interleukin 11 Receptor, alpha (IL11RA))

    别名

    IL11RA

    背景

    Interleukin 11 is a stromal cell-derived cytokine that belongs to a family of pleiotropic and redundant cytokines that use the gp130 transducing subunit in their high affinity receptors. This gene encodes the IL-11 receptor, which is a member of the hematopoietic cytokine receptor family. This particular receptor is very similar to ciliary neurotrophic factor, since both contain an extracellular region with a 2-domain structure composed of an immunoglobulin-like domain and a cytokine receptor-like domain. Multiple alternatively spliced transcript variants have been found for this gene.,IL11RA, CRSDA, interleukin-11 receptor subunit alpha,Cancer,Tumor biomarkers,Immunology & Inflammation,Cytokines,Interleukins,Cell Intrinsic Innate Immunity Signaling Pathway,Stem Cells,Hematopoietic Progenitors,IL11RA

    分子量

    45kDa

    基因ID

    3590

    UniProt

    Q14626

    途径

    JAK/STAT Signaling, Growth Factor Binding
You are here: