GPR109B 抗体
Our Local Distributor
北京 101111
Quick Overview for GPR109B 抗体 (ABIN7267805)
抗原
See all GPR109B (HCAR3) 抗体适用
宿主
克隆类型
标记
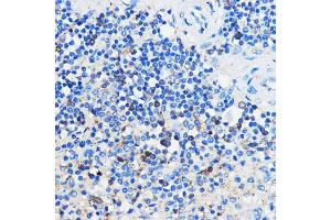
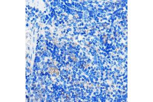
应用范围
-
-
原理
- HCAR3 Rabbit pAb
-
交叉反应
- 人, 小鼠, 大鼠
-
产品特性
- Polyclonal Antibodies
-
纯化方法
- Affinity purification
-
免疫原
- Recombinant protein of human HCAR3.
-
亚型
- IgG
-
-
-
-
应用备注
- WB,1:500 - 1:2000,IHC,1:50 - 1:200
-
限制
- 仅限研究用
-
-
-
状态
- Liquid
-
缓冲液
- PBS with 0.02 % sodium azide,50 % glycerol, pH 7.3.
-
储存液
- Sodium azide
-
注意事项
- This product contains Sodium azide: a POISONOUS AND HAZARDOUS SUBSTANCE which should be handled by trained staff only.
-
储存条件
- -20 °C
-
储存方法
- Store at -20°C. Avoid freeze / thaw cycles.
-
-
- GPR109B (HCAR3) (Hydroxycarboxylic Acid Receptor 3 (HCAR3))
-
别名
- HCAR3
-
背景
- Receptor for 3-OH-octanoid acid mediates a negative feedback regulation of adipocyte lipolysis to counteract prolipolytic influences under conditions of physiological or pathological increases in beta-oxidation rates. Acts as a low affinity receptor for nicotinic acid. This pharmacological effect requires nicotinic acid doses that are much higher than those provided by a normal diet.,GPR109B,HCA3,HM74,PUMAG,Puma-g,HCAR3,G protein signaling,G protein signaling_G-Protein-Coupled Receptors(GPCR),Signal Transduction,HCAR3
-
基因ID
- 8843
-
UniProt
- P49019
抗原
-