电话:
+86 (0512) 65829739
传真:
+86 (010) 6788 5057
电子邮件:
orders@antibodies-online.cn

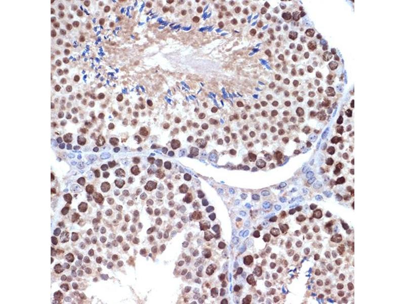
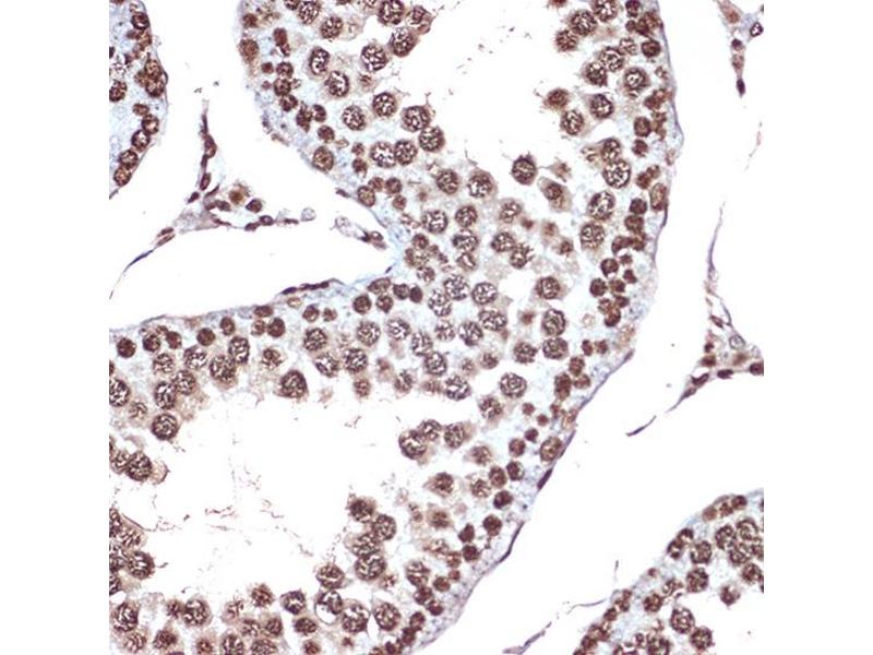
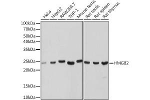
HMGB2 抗体

The 兔 单克隆 anti-HMGB2 antibody is suitable to detect HMGB2 in samples from 人. It has been validated for WB, IHC, IF, IP 和 ChIP.
产品编号 ABIN7267649
发货至: 中国
Contact our Customer Service for availability and price in your country. Contact Info

Our Local Distributor

中国
北京 101111
No. 88 KeChuang 6th Street
Beijing Economic Technological Development Area
Room 801-803
4A Biotech Co.,Ltd.
Tel +86 (0512) 65829739 传真 +86 (010) 6788 5057

Quick Overview for HMGB2 抗体 (ABIN7267649)

抗原

See all HMGB2 抗体
HMGB2 (High Mobility Group Box 2 (HMGB2))

适用

  • 70
  • 44
  • 36
  • 6
  • 5
  • 5
  • 5
  • 4
  • 4
  • 3
  • 3
  • 2
  • 1

宿主

  • 59
  • 11

克隆类型

  • 37
  • 33
单克隆

标记

  • 41
  • 4
  • 3
  • 3
  • 3
  • 3
  • 3
  • 3
  • 2
  • 2
  • 2
  • 1
This HMGB2 antibody is un-conjugated

应用范围

  • 57
  • 36
  • 25
  • 20
  • 16
  • 10
  • 6
  • 2
  • 2
  • 1
Western Blotting (WB), Immunohistochemistry (IHC), Immunofluorescence (IF), Immunoprecipitation (IP), Chromatin Immunoprecipitation (ChIP)
  • 原理

    HMGB2 Rabbit mAb

    交叉反应

    人, 小鼠, 大鼠

    产品特性

    Monoclonal Antibodies

    纯化方法

    Affinity purification

    免疫原

    A synthesized peptide derived from human HMGB2

    亚型

    IgG
  • 应用备注

    WB,1:500 - 1:2000,IHC,1:50 - 1:200,IF,1:50 - 1:200,IP,1:50 - 1:200,ChIP,1:50 - 1:200

    限制

    仅限研究用
  • 状态

    Liquid

    缓冲液

    PBS with 0.02 % sodium azide,0.05 % BSA,50 % glycerol, pH 7.3.

    储存液

    Sodium azide

    注意事项

    This product contains Sodium azide: a POISONOUS AND HAZARDOUS SUBSTANCE which should be handled by trained staff only.

    储存条件

    -20 °C

    储存方法

    Store at -20°C. Avoid freeze / thaw cycles.
  • 抗原

    HMGB2 (High Mobility Group Box 2 (HMGB2))

    别名

    HMGB2

    背景

    This gene encodes a member of the non-histone chromosomal high mobility group protein family. The proteins of this family are chromatin-associated and ubiquitously distributed in the nucleus of higher eukaryotic cells. In vitro studies have demonstrated that this protein is able to efficiently bend DNA and form DNA circles. These studies suggest a role in facilitating cooperative interactions between cis-acting proteins by promoting DNA flexibility. This protein was also reported to be involved in the final ligation step in DNA end-joining processes of DNA double-strand breaks repair and V(D)J recombination. [provided by RefSeq, Jul 2008],HMG2,Epigenetics & Nuclear Signaling,Histones,RNA Binding,HMGB2

    分子量

    24kDa

    基因ID

    3148

    UniProt

    P26583

    途径

    Cellular Response to Molecule of Bacterial Origin
You are here: