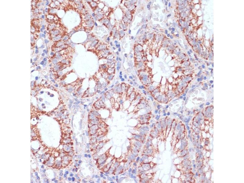
HIGD1A 抗体 (AA 1-93)
Our Local Distributor
北京 101111
Quick Overview for HIGD1A 抗体 (AA 1-93) (ABIN7267642)
抗原
See all HIGD1A 抗体适用
宿主
克隆类型
标记
应用范围
-
-
抗原表位
- AA 1-93
-
原理
- HIGD1A Rabbit pAb
-
序列
- MSTDTGVSLP SYEEDQGSKL IRKAKEAPFV PVGIAGFAAI VAYGLYKLKS RGNTKMSIHL IHMRVAAQGF VVGAMTVGMG YSMYREFWAK PKP
-
交叉反应
- 人
-
产品特性
- Polyclonal Antibodies
-
纯化方法
- Affinity purification
-
免疫原
- A synthetic peptide corresponding to a sequence within amino acids 1-93 of human HIGD1A (NP_054775.2).
-
亚型
- IgG
-
-
-
-
应用备注
- WB,1:500 - 1:2000,IHC,1:50 - 1:100,IF,1:50 - 1:100
-
限制
- 仅限研究用
-
-
-
状态
- Liquid
-
缓冲液
- PBS with 0.02 % sodium azide,50 % glycerol, pH 7.3.
-
储存液
- Sodium azide
-
注意事项
- This product contains Sodium azide: a POISONOUS AND HAZARDOUS SUBSTANCE which should be handled by trained staff only.
-
储存条件
- -20 °C
-
储存方法
- Store at -20°C. Avoid freeze / thaw cycles.
-
-
- HIGD1A (HIG1 Hypoxia Inducible Domain Family, Member 1A (HIGD1A))
-
别名
- HIGD1A
-
背景
- Proposed subunit of cytochrome c oxidase (COX, complex IV, which is the terminal component of the mitochondrial respiratory chain that catalyzes the reduction of oxygen to water. May play a role in the assembly of respiratory supercomplexes.,HIGD1A,HIG1,RCF1a,Cell Biology & Developmental Biology,HIGD1A
-
分子量
- 10kDa/11kDa
-
基因ID
- 25994
-
UniProt
- Q9Y241
抗原
-