电话:
+86 (0512) 65829739
传真:
+86 (010) 6788 5057
电子邮件:
orders@antibodies-online.cn

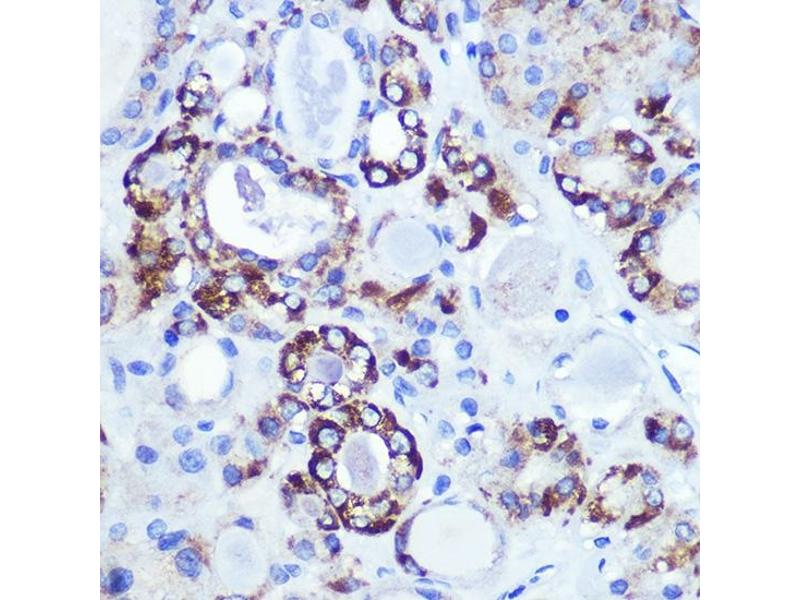
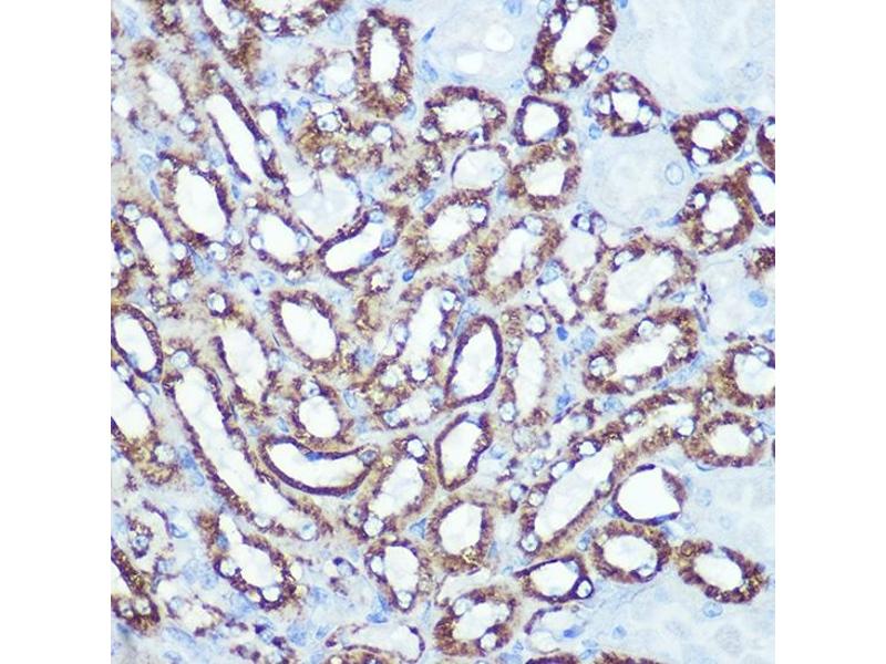
Hexokinase 1 抗体

The 兔 单克隆 anti-Hexokinase 1 antibody (ABIN7267638) specifically detects Hexokinase 1 in WB, IHC, IP 和 IF. The antibody is reactive with 人 samples.
产品编号 ABIN7267638
发货至: 中国
Contact our Customer Service for availability and price in your country. Contact Info

Our Local Distributor

中国
北京 101111
No. 88 KeChuang 6th Street
Beijing Economic Technological Development Area
Room 801-803
4A Biotech Co.,Ltd.
Tel +86 (0512) 65829739 传真 +86 (010) 6788 5057

Quick Overview for Hexokinase 1 抗体 (ABIN7267638)

抗原

See all Hexokinase 1 (HK1) 抗体
Hexokinase 1 (HK1)

适用

  • 121
  • 64
  • 49
  • 7
  • 6
  • 6
  • 5
  • 4
  • 4
  • 4
  • 3
  • 2
  • 2
  • 2
  • 1
  • 1
  • 1
  • 1
  • 1
  • 1

宿主

  • 111
  • 34

克隆类型

  • 93
  • 52
单克隆

标记

  • 87
  • 18
  • 8
  • 5
  • 3
  • 3
  • 3
  • 3
  • 3
  • 3
  • 3
  • 3
  • 1
  • 1
  • 1
This Hexokinase 1 antibody is un-conjugated

应用范围

  • 111
  • 76
  • 38
  • 34
  • 29
  • 22
  • 17
  • 13
  • 7
  • 4
  • 3
  • 3
  • 2
  • 2
  • 2
  • 1
  • 1
  • 1
Western Blotting (WB), Immunohistochemistry (IHC), Immunoprecipitation (IP), Immunofluorescence (IF)

质量等级

KO Validated
  • 原理

    [KO Validated] HK1 Rabbit mAb

    交叉反应

    人, 小鼠, 大鼠

    产品特性

    Monoclonal Antibodies

    纯化方法

    Affinity purification

    免疫原

    A synthesized peptide derived from human Hexokinase 1

    亚型

    IgG
  • 应用备注

    WB,1:500 - 1:2000,IHC,1:50 - 1:200,IF,1:50 - 1:200,IP,1:50 - 1:200

    限制

    仅限研究用
  • 状态

    Liquid

    缓冲液

    PBS with 0.02 % sodium azide,0.05 % BSA,50 % glycerol, pH 7.3.

    储存液

    Sodium azide

    注意事项

    This product contains Sodium azide: a POISONOUS AND HAZARDOUS SUBSTANCE which should be handled by trained staff only.

    储存条件

    -20 °C

    储存方法

    Store at -20°C. Avoid freeze / thaw cycles.
  • 抗原

    Hexokinase 1 (HK1)

    别名

    HK1

    背景

    Hexokinases phosphorylate glucose to produce glucose-6-phosphate, the first step in most glucose metabolism pathways. This gene encodes a ubiquitous form of hexokinase which localizes to the outer membrane of mitochondria. Mutations in this gene have been associated with hemolytic anemia due to hexokinase deficiency. Alternative splicing of this gene results in several transcript variants which encode different isoforms, some of which are tissue-specific. [provided by RefSeq, Apr 2016],HK, HK1-ta, HK1-tb, HK1-tc, HKD, HKI, HMSNR, HXK1, hexokinase,Blood,Cancer,Carbohydrate metabolism,Cardiovascular,Endocrine & Metabolism,Heart,Heart_Cardiac metabolism,Signal Transduction,Warburg Effect,HK1

    分子量

    102kDa

    基因ID

    3098

    UniProt

    P19367

    途径

    Carbohydrate Homeostasis, Warburg Effect
You are here: