电话:
+86 (0512) 65829739
传真:
+86 (010) 6788 5057
电子邮件:
orders@antibodies-online.cn

HES5 抗体

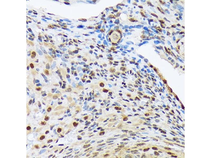
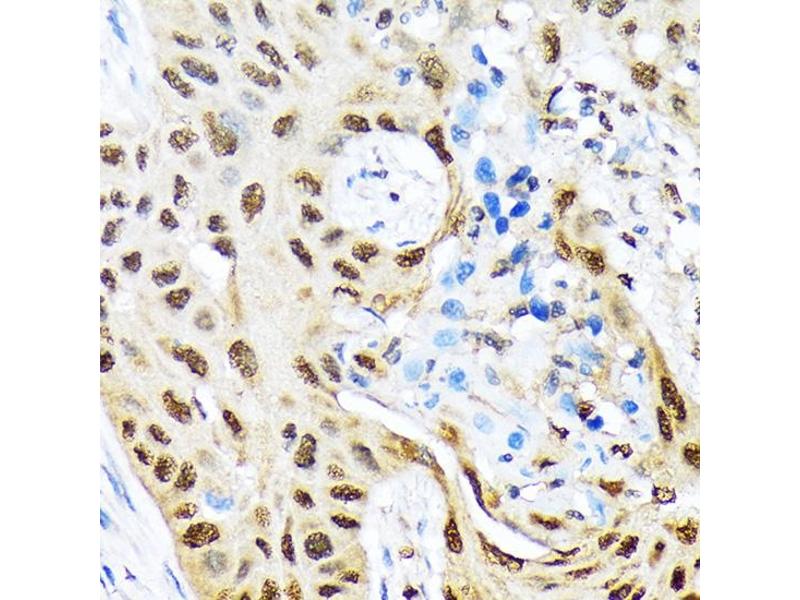
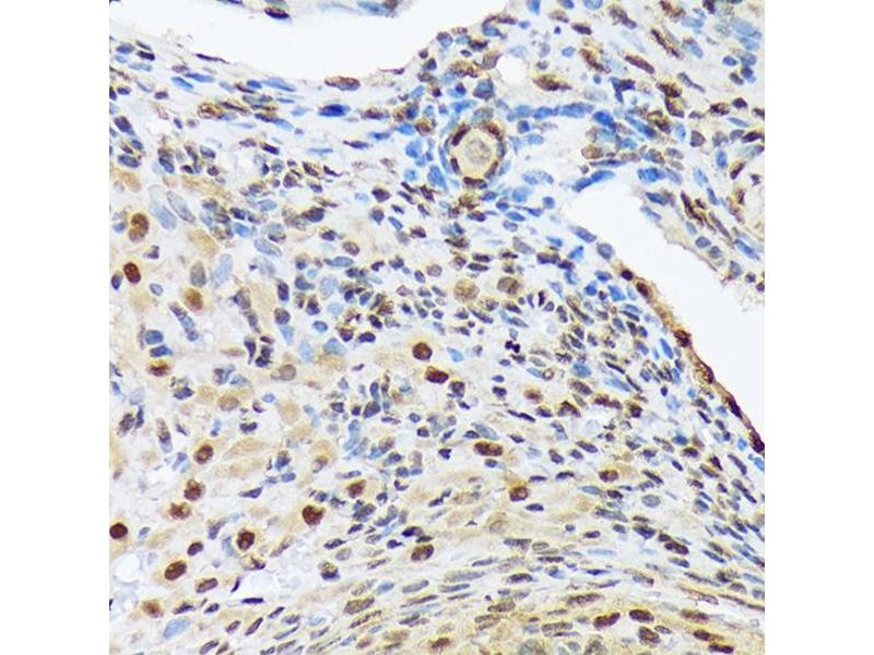
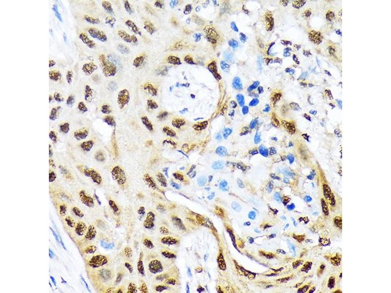
The 兔 单克隆 anti-HES5 antibody is suitable to detect HES5 in samples from 人. It has been validated for WB 和 IHC.
产品编号 ABIN7267559
发货至: 中国
Contact our Customer Service for availability and price in your country. Contact Info

Our Local Distributor

中国
北京 101111
No. 88 KeChuang 6th Street
Beijing Economic Technological Development Area
Room 801-803
4A Biotech Co.,Ltd.
Tel +86 (0512) 65829739 传真 +86 (010) 6788 5057

Quick Overview for HES5 抗体 (ABIN7267559)

抗原

See all HES5 抗体
HES5 (Hairy and Enhancer of Split 5 (HES5))

适用

  • 44
  • 39
  • 39
  • 3
  • 2
  • 2
  • 1

宿主

  • 52
  • 2

克隆类型

  • 39
  • 15
单克隆

标记

  • 22
  • 3
  • 2
  • 2
  • 2
  • 2
  • 2
  • 2
  • 2
  • 2
  • 1
  • 1
  • 1
  • 1
  • 1
  • 1
  • 1
  • 1
  • 1
  • 1
  • 1
  • 1
  • 1
This HES5 antibody is un-conjugated

应用范围

  • 43
  • 16
  • 15
  • 13
  • 13
  • 10
  • 6
  • 4
  • 2
  • 1
Western Blotting (WB), Immunohistochemistry (IHC)
  • 原理

    HES5 Rabbit mAb

    交叉反应

    人, 小鼠, 大鼠

    产品特性

    Monoclonal Antibodies

    纯化方法

    Affinity purification

    免疫原

    A synthesized peptide derived from human HES5

    亚型

    IgG
  • 应用备注

    WB,1:500 - 1:2000,IHC,1:50 - 1:200

    限制

    仅限研究用
  • 状态

    Liquid

    缓冲液

    PBS with 0.02 % sodium azide,0.05 % BSA,50 % glycerol, pH 7.3.

    储存液

    Sodium azide

    注意事项

    This product contains Sodium azide: a POISONOUS AND HAZARDOUS SUBSTANCE which should be handled by trained staff only.

    储存条件

    -20 °C

    储存方法

    Store at -20°C. Avoid freeze / thaw cycles.
  • 抗原

    HES5 (Hairy and Enhancer of Split 5 (HES5))

    别名

    HES5

    背景

    This gene encodes a member of a family of basic helix-loop-helix transcriptional repressors. The protein product of this gene, which is activated downstream of the Notch pathway, regulates cell differentiation in multiple tissues. Disruptions in the normal expression of this gene have been associated with developmental diseases and cancer. [provided by RefSeq, Dec 2008],bHLHb38,Epigenetics & Nuclear Signaling,Neural Stem Cells,Neuroscience,Stem Cells,Transcription Factors,HES5

    分子量

    18kDa

    基因ID

    388585

    UniProt

    Q5TA89

    途径

    Stem Cell Maintenance, Tube Formation
You are here: