电话:
+86 (0512) 65829739
传真:
+86 (010) 6788 5057
电子邮件:
orders@antibodies-online.cn

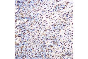
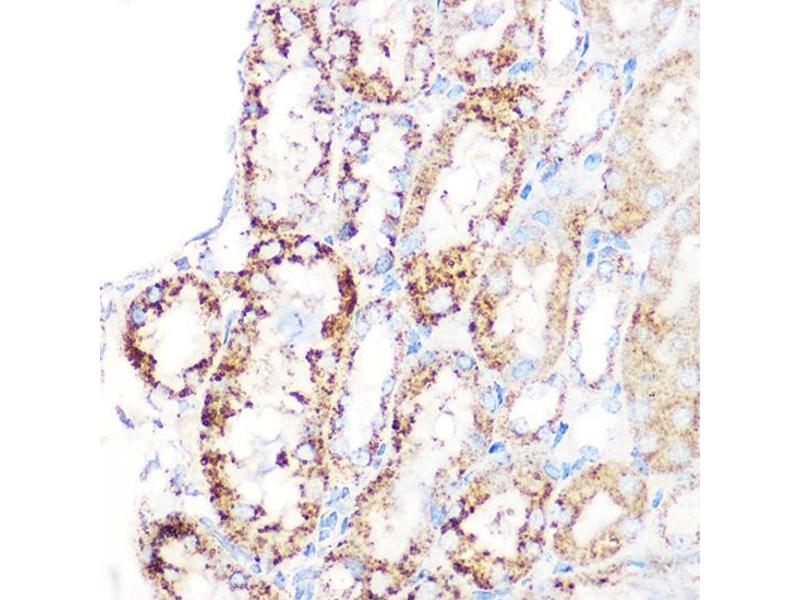
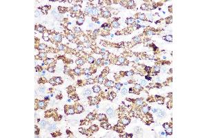
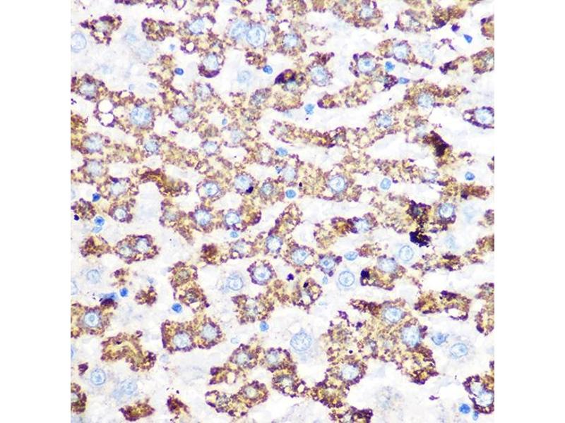
GLUD1 抗体

This 兔 单克隆 antibody specifically detects GLUD1 in WB, IHC 和 IF. It exhibits reactivity toward 人.
产品编号 ABIN7267411
发货至: 中国
Contact our Customer Service for availability and price in your country. Contact Info

Our Local Distributor

中国
北京 101111
No. 88 KeChuang 6th Street
Beijing Economic Technological Development Area
Room 801-803
4A Biotech Co.,Ltd.
Tel +86 (0512) 65829739 传真 +86 (010) 6788 5057

Quick Overview for GLUD1 抗体 (ABIN7267411)

抗原

See all GLUD1 抗体
GLUD1 (Glutamate Dehydrogenase 1 (GLUD1))

适用

  • 43
  • 29
  • 27
  • 14
  • 4
  • 4
  • 4
  • 3
  • 2
  • 2
  • 2
  • 2
  • 1
  • 1
  • 1
  • 1
  • 1

宿主

  • 53
  • 3
  • 1

克隆类型

  • 42
  • 15
单克隆

标记

  • 32
  • 6
  • 2
  • 2
  • 2
  • 2
  • 2
  • 2
  • 1
  • 1
  • 1
  • 1
  • 1
  • 1
  • 1
This GLUD1 antibody is un-conjugated

应用范围

  • 42
  • 28
  • 20
  • 18
  • 15
  • 13
  • 11
  • 5
  • 4
  • 4
  • 4
  • 3
  • 1
  • 1
  • 1
  • 1
Western Blotting (WB), Immunohistochemistry (IHC), Immunofluorescence (IF)
  • 原理

    GLUD1 Rabbit mAb

    交叉反应

    人, 小鼠, 大鼠

    产品特性

    Monoclonal Antibodies

    纯化方法

    Affinity purification

    免疫原

    A synthesized peptide derived from human GLUD1

    亚型

    IgG
  • 应用备注

    WB,1:500 - 1:2000,IHC,1:50 - 1:200,IF,1:50 - 1:200

    限制

    仅限研究用
  • 状态

    Liquid

    缓冲液

    PBS with 0.02 % sodium azide,0.05 % BSA,50 % glycerol, pH 7.3.

    储存液

    Sodium azide

    注意事项

    This product contains Sodium azide: a POISONOUS AND HAZARDOUS SUBSTANCE which should be handled by trained staff only.

    储存条件

    -20 °C

    储存方法

    Store at -20°C. Avoid freeze / thaw cycles.
  • 抗原

    GLUD1 (Glutamate Dehydrogenase 1 (GLUD1))

    别名

    GLUD1

    背景

    This gene encodes glutamate dehydrogenase, which is a mitochondrial matrix enzyme that catalyzes the oxidative deamination of glutamate to alpha-ketoglutarate and ammonia. This enzyme has an important role in regulating amino acid-induced insulin secretion. It is allosterically activated by ADP and inhibited by GTP and ATP. Activating mutations in this gene are a common cause of congenital hyperinsulinism. Alternative splicing of this gene results in multiple transcript variants. The related glutamate dehydrogenase 2 gene on the human X-chromosome originated from this gene via retrotransposition and encodes a soluble form of glutamate dehydrogenase. Related pseudogenes have been identified on chromosomes 10, 18 and X. [provided by RefSeq, Jan 2016],GDH, GDH1, GLUD,Amino acid metabolism,Cancer,Cell Biology & Developmental Biology,Endocrine & Metabolism,Signal Transduction,GLUD1

    分子量

    50kDa

    基因ID

    2746

    UniProt

    P00367

    途径

    Positive Regulation of Peptide Hormone Secretion, Warburg Effect
You are here: