电话:
+86 (0512) 65829739
传真:
+86 (010) 6788 5057
电子邮件:
orders@antibodies-online.cn

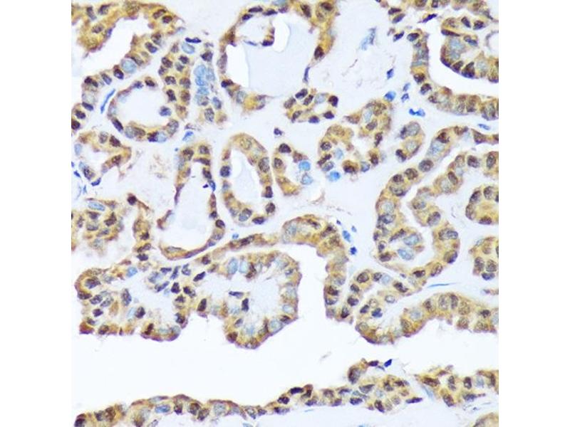
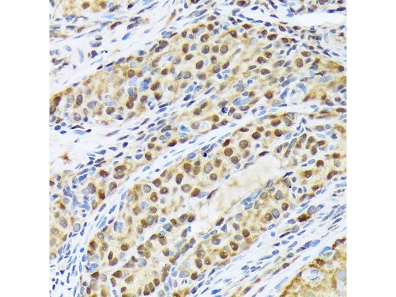
FKBP5 抗体

This 兔 单克隆 antibody specifically detects FKBP5 in WB 和 IHC. It exhibits reactivity toward 人.
产品编号 ABIN7267213
发货至: 中国
Contact our Customer Service for availability and price in your country. Contact Info

Our Local Distributor

中国
北京 101111
No. 88 KeChuang 6th Street
Beijing Economic Technological Development Area
Room 801-803
4A Biotech Co.,Ltd.
Tel +86 (0512) 65829739 传真 +86 (010) 6788 5057

Quick Overview for FKBP5 抗体 (ABIN7267213)

抗原

See all FKBP5 抗体
FKBP5 (FK506 Binding Protein 5 (FKBP5))

适用

  • 84
  • 45
  • 32
  • 6
  • 6
  • 5
  • 5
  • 4
  • 4
  • 2
  • 2
  • 1
  • 1
  • 1

宿主

  • 74
  • 17
  • 1

克隆类型

  • 57
  • 35
单克隆

标记

  • 39
  • 10
  • 4
  • 3
  • 3
  • 3
  • 3
  • 3
  • 3
  • 2
  • 1
  • 1
  • 1
  • 1
  • 1
  • 1
  • 1
  • 1
  • 1
  • 1
  • 1
  • 1
  • 1
  • 1
  • 1
  • 1
  • 1
  • 1
  • 1
This FKBP5 antibody is un-conjugated

应用范围

  • 59
  • 28
  • 26
  • 26
  • 17
  • 12
  • 12
  • 11
  • 8
  • 2
  • 1
  • 1
Western Blotting (WB), Immunohistochemistry (IHC)
  • 原理

    FKBP51/FKBP5 Rabbit mAb

    交叉反应

    人, 小鼠, 大鼠

    产品特性

    Monoclonal Antibodies

    纯化方法

    Affinity purification

    免疫原

    A synthesized peptide derived from human FKBP51/FKBP5

    亚型

    IgG
  • 应用备注

    WB,1:500 - 1:2000,IHC,1:50 - 1:200

    限制

    仅限研究用
  • 状态

    Liquid

    缓冲液

    PBS with 0.02 % sodium azide,0.05 % BSA,50 % glycerol, pH 7.3.

    储存液

    Sodium azide

    注意事项

    This product contains Sodium azide: a POISONOUS AND HAZARDOUS SUBSTANCE which should be handled by trained staff only.

    储存条件

    -20 °C

    储存方法

    Store at -20°C. Avoid freeze / thaw cycles.
  • 抗原

    FKBP5 (FK506 Binding Protein 5 (FKBP5))

    别名

    FKBP5

    背景

    The protein encoded by this gene is a member of the immunophilin protein family, which play a role in immunoregulation and basic cellular processes involving protein folding and trafficking. This encoded protein is a cis-trans prolyl isomerase that binds to the immunosuppressants FK506 and rapamycin. It is thought to mediate calcineurin inhibition. It also interacts functionally with mature hetero-oligomeric progesterone receptor complexes along with the 90 kDa heat shock protein and P23 protein. This gene has been found to have multiple polyadenylation sites. Alternative splicing results in multiple transcript variants.[provided by RefSeq, Mar 2009],AIG6, FKBP51, FKBP54, P54, PPIase, Ptg-10,Epigenetics & Nuclear Signaling,Immunology & Inflammation,Signal Transduction,FKBP5

    分子量

    51kDa

    基因ID

    2289

    UniProt

    Q13451
You are here: