电话:
+86 (0512) 65829739
传真:
+86 (010) 6788 5057
电子邮件:
orders@antibodies-online.cn

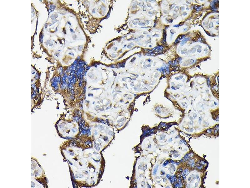
FAM117A 抗体

This 兔 多克隆 antibody specifically detects FAM117A in WB 和 IHC. It exhibits reactivity toward 人.
产品编号 ABIN7267102
发货至: 中国
Contact our Customer Service for availability and price in your country. Contact Info

Our Local Distributor

中国
北京 101111
No. 88 KeChuang 6th Street
Beijing Economic Technological Development Area
Room 801-803
4A Biotech Co.,Ltd.
Tel +86 (0512) 65829739 传真 +86 (010) 6788 5057

Quick Overview for FAM117A 抗体 (ABIN7267102)

抗原

FAM117A (Family with Sequence Similarity 117, Member A (FAM117A))

适用

  • 5
  • 2
  • 2
  • 2
  • 2
  • 2
  • 2
  • 2
  • 2
  • 1

宿主

  • 5

克隆类型

  • 5
多克隆

标记

  • 5
This FAM117A antibody is un-conjugated

应用范围

Western Blotting (WB), Immunohistochemistry (IHC)
  • 原理

    FAM117A Rabbit pAb

    交叉反应

    人, 小鼠, 大鼠

    产品特性

    Polyclonal Antibodies

    纯化方法

    Affinity purification

    免疫原

    Recombinant protein of human FAM117A.

    亚型

    IgG
  • 应用备注

    WB,1:1000 - 1:2000,IHC,1:50 - 1:200

    限制

    仅限研究用
  • 状态

    Liquid

    缓冲液

    PBS with 0.02 % sodium azide,50 % glycerol, pH 7.3.

    储存液

    Sodium azide

    注意事项

    This product contains Sodium azide: a POISONOUS AND HAZARDOUS SUBSTANCE which should be handled by trained staff only.

    储存条件

    -20 °C

    储存方法

    Store at -20°C. Avoid freeze / thaw cycles.
  • 抗原

    FAM117A (Family with Sequence Similarity 117, Member A (FAM117A))

    别名

    FAM117A

    背景

    FAM117A

    分子量

    48.3kDa

    基因ID

    81558

    UniProt

    Q9C073
You are here: