电话:
+86 (0512) 65829739
传真:
+86 (010) 6788 5057
电子邮件:
orders@antibodies-online.cn

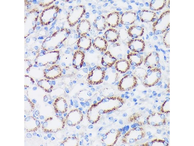
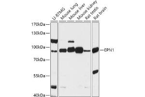
Epsin 1 抗体 (AA 130-180)

This 兔 多克隆 antibody specifically detects Epsin 1 in WB 和 IHC. It exhibits reactivity toward 人.
产品编号 ABIN7267000
发货至: 中国
Contact our Customer Service for availability and price in your country. Contact Info

Our Local Distributor

中国
北京 101111
No. 88 KeChuang 6th Street
Beijing Economic Technological Development Area
Room 801-803
4A Biotech Co.,Ltd.
Tel +86 (0512) 65829739 传真 +86 (010) 6788 5057

Quick Overview for Epsin 1 抗体 (AA 130-180) (ABIN7267000)

抗原

See all Epsin 1 (EPN1) 抗体
Epsin 1 (EPN1)

适用

  • 46
  • 18
  • 18
  • 2
  • 2
  • 2
  • 2
  • 1
  • 1

宿主

  • 37
  • 9

克隆类型

  • 23
  • 23
多克隆

标记

  • 25
  • 3
  • 2
  • 2
  • 2
  • 2
  • 2
  • 2
  • 1
  • 1
  • 1
  • 1
  • 1
  • 1
This Epsin 1 antibody is un-conjugated

应用范围

  • 37
  • 12
  • 12
  • 12
  • 3
  • 2
  • 2
  • 1
Western Blotting (WB), Immunohistochemistry (IHC)
  • 抗原表位

    • 7
    • 3
    • 3
    • 2
    • 1
    • 1
    • 1
    • 1
    • 1
    • 1
    • 1
    • 1
    • 1
    • 1
    AA 130-180

    原理

    EPN1 Rabbit pAb

    序列

    LVALLRDEDR LREERAHALK TKEKLAQTAT ASSAAVGSGP PPEAEQAWPQ S

    交叉反应

    人, 小鼠, 大鼠

    产品特性

    Polyclonal Antibodies

    纯化方法

    Affinity purification

    免疫原

    Recombinant fusion protein containing a sequence corresponding to amino acids 130-180 of human EPN1 (NP_037465.2).

    亚型

    IgG
  • 应用备注

    WB,1:500 - 1:2000,IHC,1:50 - 1:200

    限制

    仅限研究用
  • 状态

    Liquid

    缓冲液

    PBS with 0.02 % sodium azide,50 % glycerol, pH 7.3.

    储存液

    Sodium azide

    注意事项

    This product contains Sodium azide: a POISONOUS AND HAZARDOUS SUBSTANCE which should be handled by trained staff only.

    储存条件

    -20 °C

    储存方法

    Store at -20°C. Avoid freeze / thaw cycles.
  • 抗原

    Epsin 1 (EPN1)

    别名

    EPN1

    背景

    This gene encodes a member of the epsin protein family. The encoded protein binds clathrin and is involved in the endocytosis of clathrin-coated vesicles. Loss of function of this gene is associated with reduced tumor growth and progression in certain cancer types. [provided by RefSeq, Mar 2016],EPN1,Signal Transduction,Cell Biology & Developmental Biology,Notch Signaling Pathway,EPN1

    基因ID

    29924

    UniProt

    Q9Y6I3

    途径

    EGFR Signaling Pathway, EGFR Downregulation
You are here: