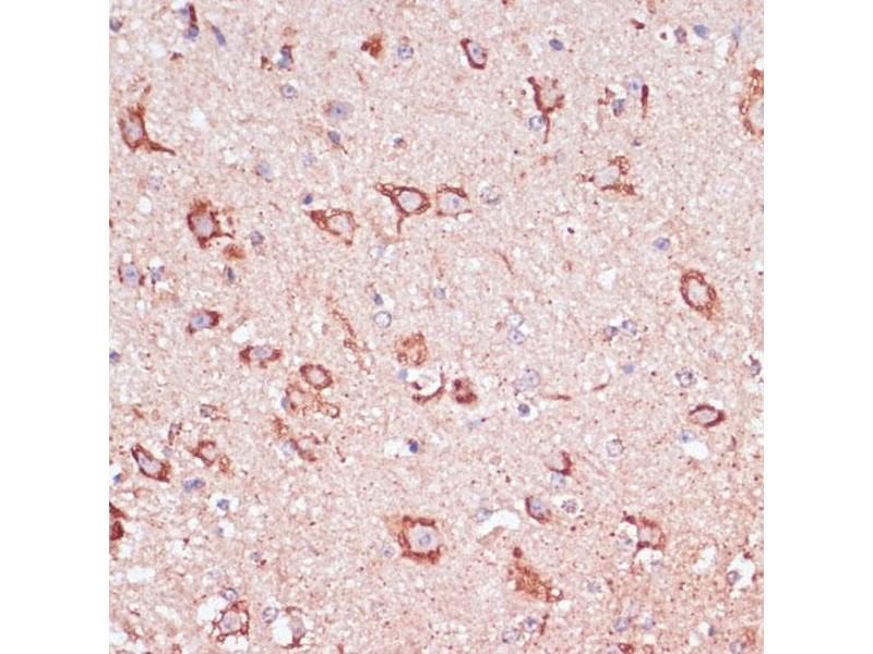
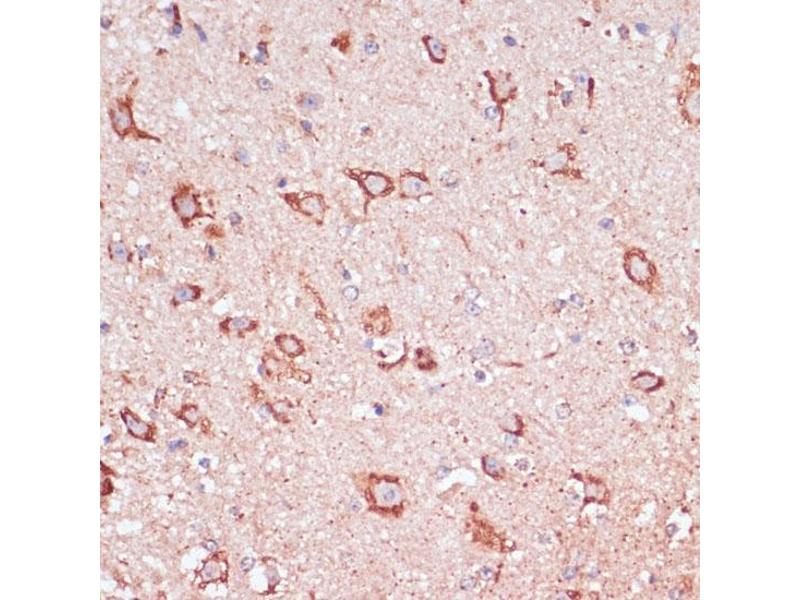
ENTPD6 抗体 (AA 61-300)
Our Local Distributor
北京 101111
Quick Overview for ENTPD6 抗体 (AA 61-300) (ABIN7266897)
抗原
See all ENTPD6 抗体适用
宿主
克隆类型
标记
应用范围
-
-
抗原表位
- AA 61-300
-
原理
- ENTPD6 Rabbit pAb
-
序列
- WHRATATQAF FSITRAAPGA RWGQQAHSPL GTAADGHEVF YGIMFDAGST GTRVHVFQFT RPPRETPTLT HETFKALKPG LSAYADDVEK SAQGIRELLD VAKQDIPFDF WKATPLVLKA TAGLRLLPGE KAQKLLQKVK EVFKASPFLV GDDCVSIMNG TDEGVSAWIT INFLTGSLKT PGGSSVGMLD LGGGSTQIAF LPRVEGTLQA SPPGYLTALR MFNRTYKLYS YSYLGLGLMS
-
交叉反应
- 人, 小鼠, 大鼠
-
产品特性
- Polyclonal Antibodies
-
纯化方法
- Affinity purification
-
免疫原
- Recombinant fusion protein containing a sequence corresponding to amino acids 61-300 of human ENTPD6 (NP_001304870.1).
-
亚型
- IgG
-
-
-
-
应用备注
- WB,1:500 - 1:2000,IHC,1:100 - 1:200
-
限制
- 仅限研究用
-
-
-
状态
- Liquid
-
缓冲液
- PBS with 0.02 % sodium azide,50 % glycerol, pH 7.3.
-
储存液
- Sodium azide
-
注意事项
- This product contains Sodium azide: a POISONOUS AND HAZARDOUS SUBSTANCE which should be handled by trained staff only.
-
储存条件
- -20 °C
-
储存方法
- Store at -20°C. Avoid freeze / thaw cycles.
-
-
- ENTPD6 (Ectonucleoside Triphosphate diphosphohydrolase 6 (ENTPD6))
-
别名
- ENTPD6
-
背景
- ENTPD6 is similar to E-type nucleotidases (NTPases). NTPases, such as CD39, mediate catabolism of extracellular nucleotides. ENTPD6 contains 4 apyrase-conserved regions which are characteristic of NTPases. Alternative splicing results in multiple transcript variants encoding different isoforms.,ENTPD6,CD39L2,IL-6SAG,IL6ST2,NTPDase-6,dJ738P15.3,Cancer,Signal Transduction,Endocrine & Metabolism,ENTPD6
-
分子量
- 51kDa/53kDa
-
基因ID
- 955
-
UniProt
- O75354
抗原
-