电话:
+86 (0512) 65829739
传真:
+86 (010) 6788 5057
电子邮件:
orders@antibodies-online.cn

DKC1 抗体

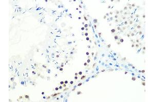
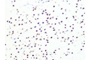
The 兔 单克隆 anti-DKC1 antibody is suitable to detect DKC1 in samples from 人. It has been validated for WB 和 IHC.
产品编号 ABIN7266869
发货至: 中国
Contact our Customer Service for availability and price in your country. Contact Info

Our Local Distributor

中国
北京 101111
No. 88 KeChuang 6th Street
Beijing Economic Technological Development Area
Room 801-803
4A Biotech Co.,Ltd.
Tel +86 (0512) 65829739 传真 +86 (010) 6788 5057

Quick Overview for DKC1 抗体 (ABIN7266869)

抗原

See all DKC1 抗体
DKC1 (Dyskeratosis Congenita 1, Dyskerin (DKC1))

适用

  • 87
  • 52
  • 44
  • 3
  • 3
  • 3
  • 3
  • 3
  • 2
  • 2
  • 2
  • 1
  • 1
  • 1
  • 1
  • 1

宿主

  • 87
  • 3
  • 1

克隆类型

  • 61
  • 30
单克隆

标记

  • 36
  • 7
  • 4
  • 4
  • 4
  • 4
  • 4
  • 4
  • 4
  • 3
  • 2
  • 2
  • 1
  • 1
  • 1
  • 1
  • 1
  • 1
  • 1
  • 1
  • 1
  • 1
  • 1
  • 1
  • 1
This DKC1 antibody is un-conjugated

应用范围

  • 72
  • 38
  • 31
  • 26
  • 21
  • 13
  • 13
  • 10
  • 10
  • 3
  • 3
  • 1
Western Blotting (WB), Immunohistochemistry (IHC)
  • 原理

    DKC1 Rabbit mAb

    交叉反应

    人, 小鼠, 大鼠

    产品特性

    Monoclonal Antibodies

    纯化方法

    Affinity purification

    免疫原

    A synthesized peptide derived from human DKC1

    亚型

    IgG
  • 应用备注

    WB,1:500 - 1:2000,IHC,1:50 - 1:200

    限制

    仅限研究用
  • 状态

    Liquid

    缓冲液

    PBS with 0.02 % sodium azide,0.05 % BSA,50 % glycerol, pH 7.3.

    储存液

    Sodium azide

    注意事项

    This product contains Sodium azide: a POISONOUS AND HAZARDOUS SUBSTANCE which should be handled by trained staff only.

    储存条件

    -20 °C

    储存方法

    Store at -20°C. Avoid freeze / thaw cycles.
  • 抗原

    DKC1 (Dyskeratosis Congenita 1, Dyskerin (DKC1))

    别名

    DKC1

    背景

    This gene functions in two distinct complexes. It plays an active role in telomerase stabilization and maintenance, as well as recognition of snoRNAs containing H/ACA sequences which provides stability during biogenesis and assembly into H/ACA small nucleolar RNA ribonucleoproteins (snoRNPs). This gene is highly conserved and widely expressed, and may play additional roles in nucleo-cytoplasmic shuttling, DNA damage response, and cell adhesion. Mutations have been associated with X-linked dyskeratosis congenita. Alternative splicing results in multiple transcript variants. [provided by RefSeq, Jan 2014],CBF5, DKC, DKCX, NAP57, NOLA4, XAP101,Epigenetics & Nuclear Signaling,RNA Binding,DKC1

    分子量

    58kDa

    基因ID

    1736

    UniProt

    O60832

    途径

    Telomere Maintenance
You are here: