COPS5 抗体
Our Local Distributor
北京 101111
Quick Overview for COPS5 抗体 (ABIN7266497)
抗原
See all COPS5 抗体适用
宿主
克隆类型
标记
应用范围
-
-
原理
- JAB1/CSN5/COPS5 Rabbit mAb
-
交叉反应
- 人, 小鼠, 大鼠
-
产品特性
- Monoclonal Antibodies
-
纯化方法
- Affinity purification
-
免疫原
- A synthesized peptide derived from human JAB1/CSN5/COPS5
-
亚型
- IgG
-
-
-
-
应用备注
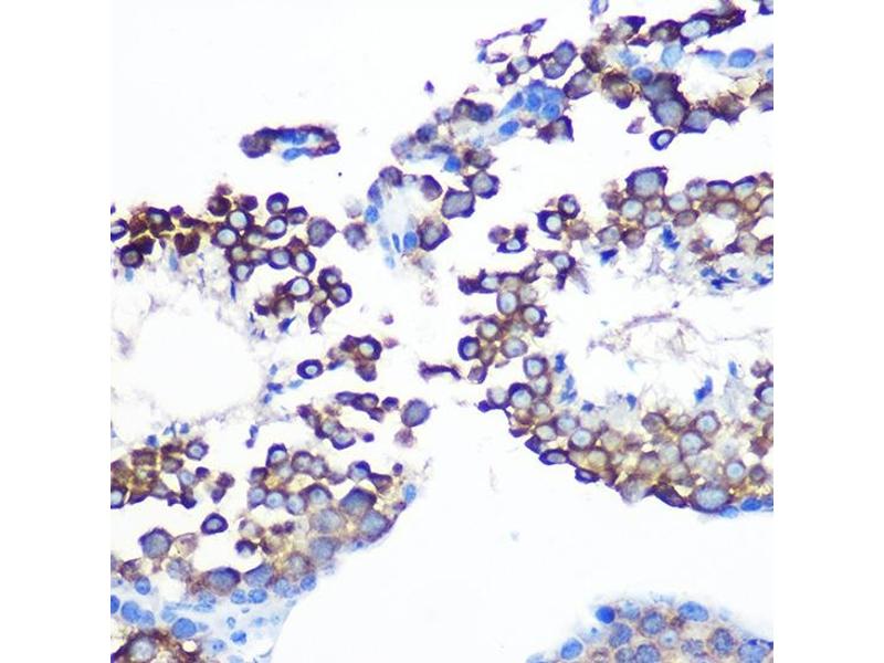
- WB,1:500 - 1:2000,IHC,1:50 - 1:200,IF,1:50 - 1:200,ChIP,1:50 - 1:200
-
限制
- 仅限研究用
-
-
-
状态
- Liquid
-
缓冲液
- PBS with 0.02 % sodium azide,0.05 % BSA,50 % glycerol, pH 7.3.
-
储存液
- Sodium azide
-
注意事项
- This product contains Sodium azide: a POISONOUS AND HAZARDOUS SUBSTANCE which should be handled by trained staff only.
-
储存条件
- -20 °C
-
储存方法
- Store at -20°C. Avoid freeze / thaw cycles.
-
-
- COPS5 (COP9 Constitutive Photomorphogenic Homolog Subunit 5 (Arabidopsis) (COPS5))
-
别名
- COPS5
-
背景
- The protein encoded by this gene is one of the eight subunits of COP9 signalosome, a highly conserved protein complex that functions as an important regulator in multiple signaling pathways. The structure and function of COP9 signalosome is similar to that of the 19S regulatory particle of 26S proteasome. COP9 signalosome has been shown to interact with SCF-type E3 ubiquitin ligases and act as a positive regulator of E3 ubiquitin ligases. This protein is reported to be involved in the degradation of cyclin-dependent kinase inhibitor CDKN1B/p27Kip1. It is also known to be an coactivator that increases the specificity of JUN/AP1 transcription factors. [provided by RefSeq, Jul 2008],CSN5, JAB1, MOV-34, SGN5,Cancer,Cell Biology & Developmental Biology,Cell Cycle,Cell Cycle_Cell cycle inhibitors,Epigenetics & Nuclear Signaling,Tumor suppressors,Tumor suppressors_p53 pathway,Ubiquitin,COPS5
-
分子量
- 38kDa
-
基因ID
- 10987
-
UniProt
- Q92905
-
途径
- Cell Division Cycle
抗原
-