C18orf8 抗体 (AA 1-300)
Our Local Distributor
北京 101111
Quick Overview for C18orf8 抗体 (AA 1-300) (ABIN7266379)
抗原
See all C18orf8 抗体适用
宿主
克隆类型
标记
应用范围
-
-
抗原表位
- AA 1-300
-
原理
- C18orf8 Rabbit pAb
-
序列
- MGEEDYYLEL CERPVQFEKA NPVNCVFFDE ANKQVFAVRS GGATGVVVKG PDDRNPISFR MDDKGEVKCI KFSLENKILA VQRTSKTVDF CNFIPDNSQL EYTQECKTKN ANILGFCWTS STEIVFITDQ GIEFYQVLPE KRSLKLLKSH NLNVNWYMYC PESAVILLST TVLENVLQPF HFRAGTMSKL PKFEIELPAA PKSTKPSLSE RDIAMATIYG QLYVLFLRHH SRTSNSTGAE VVLYHLPREG ACKKMHILKL NRTGKFALNV VDNLVVVHHQ DTETSVIFDI KLRGEFDGSV
-
交叉反应
- 人, 小鼠, 大鼠
-
产品特性
- Polyclonal Antibodies
-
纯化方法
- Affinity purification
-
免疫原
- Recombinant fusion protein containing a sequence corresponding to amino acids 1-300 of human C18orf8 (NP_037458.3).
-
亚型
- IgG
-
-
-
-
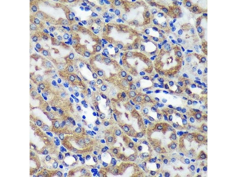
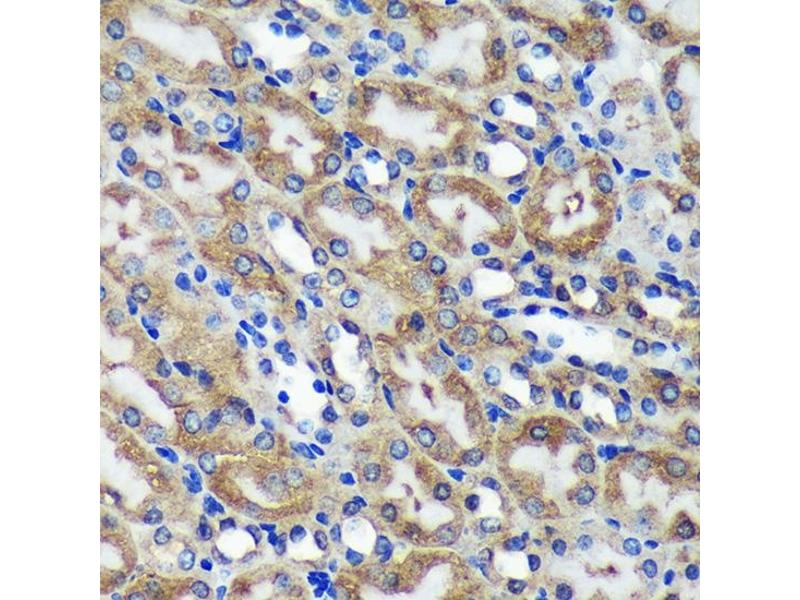
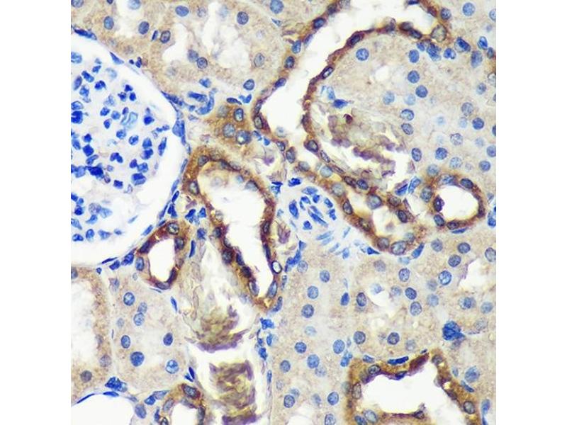
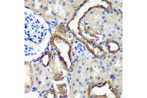
应用备注
- WB,1:500 - 1:2000,IHC,1:50 - 1:200,IF,1:50 - 1:200
-
限制
- 仅限研究用
-
-
-
状态
- Liquid
-
缓冲液
- PBS with 0.02 % sodium azide,50 % glycerol, pH 7.3.
-
储存液
- Sodium azide
-
注意事项
- This product contains Sodium azide: a POISONOUS AND HAZARDOUS SUBSTANCE which should be handled by trained staff only.
-
储存条件
- -20 °C
-
储存方法
- Store at -20°C. Avoid freeze / thaw cycles.
-
-
- C18orf8 (Chromosome 18 Open Reading Frame 8 (C18orf8))
-
别名
- C18orf8
-
背景
- This gene encodes a colon cancer associated protein.,C18orf8,HsT2591,MIC1,Mic-1,Cell Biology & Developmental Biology,C18orf8
-
分子量
- 74kDa
-
基因ID
- 29919
-
UniProt
- Q96DM3
抗原
-