电话:
+86 (0512) 65829739
传真:
+86 (010) 6788 5057
电子邮件:
orders@antibodies-online.cn

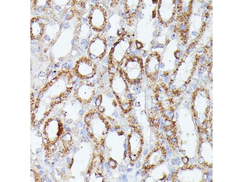
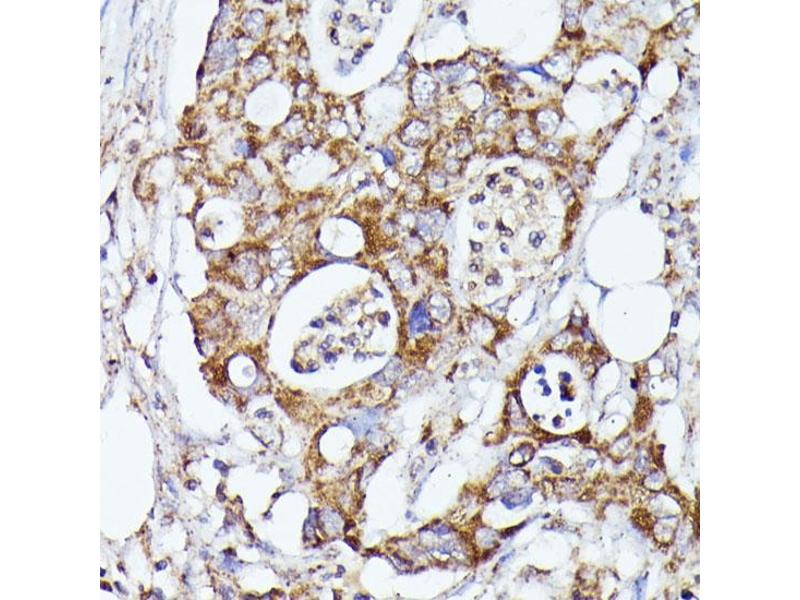
CDK5RAP1 抗体 (AA 1-350)

This 兔 多克隆 antibody specifically detects CDK5RAP1 in WB 和 IHC. It exhibits reactivity toward 人.
产品编号 ABIN7266235
发货至: 中国
Contact our Customer Service for availability and price in your country. Contact Info

Our Local Distributor

中国
北京 101111
No. 88 KeChuang 6th Street
Beijing Economic Technological Development Area
Room 801-803
4A Biotech Co.,Ltd.
Tel +86 (0512) 65829739 传真 +86 (010) 6788 5057

Quick Overview for CDK5RAP1 抗体 (AA 1-350) (ABIN7266235)

抗原

See all CDK5RAP1 抗体
CDK5RAP1 (CDK5 Regulatory Subunit Associated Protein 1 (CDK5RAP1))

适用

  • 40
  • 25
  • 24
  • 4
  • 3
  • 3
  • 3
  • 3
  • 2
  • 2
  • 2

宿主

  • 40

克隆类型

  • 40
多克隆

标记

  • 21
  • 2
  • 2
  • 2
  • 1
  • 1
  • 1
  • 1
  • 1
  • 1
  • 1
  • 1
  • 1
  • 1
  • 1
  • 1
  • 1
This CDK5RAP1 antibody is un-conjugated

应用范围

  • 37
  • 15
  • 13
  • 12
  • 9
  • 6
  • 2
  • 1
Western Blotting (WB), Immunohistochemistry (IHC)
  • 抗原表位

    • 8
    • 6
    • 2
    • 2
    • 1
    • 1
    • 1
    • 1
    • 1
    • 1
    AA 1-350

    原理

    CDK5RAP1 Rabbit pAb

    序列

    MHPLQCVLQV QRSLGWGPLA SVSWLSLRMC RAHSSLSSTM CPSPERQEDG ARKDFSSRLA AGPTFQHFLK SASAPQEKLS SEVEDPPPYL MMDELLGRQR KVYLETYGCQ MNVNDTEIAW SILQKSGYLR TSNLQEADVI LLVTCSIREK AEQTIWNRLH QLKALKTRRP RSRVPLRIGI LGCMAERLKE EILNREKMVD ILAGPDAYRD LPRLLAVAES GQQAANVLLS LDETYADVMP VQTSASATSA FVSIMRGCDN MCSYCIVPFT RGRERSRPIA SILEEVKKLS EQGLKEVTLL GQNVNSFRDN SEVQFNSAVP TNLSRGFTTN YKTKQGGLRF AHLLDQVSRV

    交叉反应

    人, 小鼠, 大鼠

    产品特性

    Polyclonal Antibodies

    纯化方法

    Affinity purification

    免疫原

    Recombinant fusion protein containing a sequence corresponding to amino acids 1-350 of human CDK5RAP1 (NP_057492.2).

    亚型

    IgG
  • 应用备注

    WB,1:500 - 1:2000,IHC,1:50 - 1:100

    限制

    仅限研究用
  • 状态

    Liquid

    缓冲液

    PBS with 0.02 % sodium azide,50 % glycerol, pH 7.3.

    储存液

    Sodium azide

    注意事项

    This product contains Sodium azide: a POISONOUS AND HAZARDOUS SUBSTANCE which should be handled by trained staff only.

    储存条件

    -20 °C

    储存方法

    Store at -20°C. Avoid freeze / thaw cycles.
  • 抗原

    CDK5RAP1 (CDK5 Regulatory Subunit Associated Protein 1 (CDK5RAP1))

    别名

    CDK5RAP1

    背景

    This gene encodes a regulator of cyclin-dependent kinase 5 activity. This protein has also been reported to modify RNA by adding a methylthio-group and may thus have a dual function as an RNA methylthiotransferase and as an inhibitor of cyclin-dependent kinase 5 activity. Alternative splicing results in multiple transcript variants that encode different isoforms.,CDK5RAP1,C20orf34,C42,CGI-05,HSPC167,Kinase,Cell Biology & Developmental Biology,Cell Cycle,CDK5RAP1

    分子量

    48kDa/56kDa/57kDa/64kDa/66kDa/67kDa

    基因ID

    51654

    UniProt

    Q96SZ6
You are here: