CDC5L 抗体
Our Local Distributor
北京 101111
Quick Overview for CDC5L 抗体 (ABIN7266232)
抗原
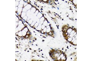
See all CDC5L 抗体适用
宿主
克隆类型
标记
应用范围
-
-
原理
- CDC5L Rabbit mAb
-
交叉反应
- 人, 小鼠
-
产品特性
- Monoclonal Antibodies
-
纯化方法
- Affinity purification
-
免疫原
- A synthesized peptide derived from human CDC5L
-
亚型
- IgG
-
-
-
-
应用备注
- WB,1:500 - 1:2000,IHC,1:50 - 1:200
-
限制
- 仅限研究用
-
-
-
状态
- Liquid
-
缓冲液
- PBS with 0.02 % sodium azide,0.05 % BSA,50 % glycerol, pH 7.3.
-
储存液
- Sodium azide
-
注意事项
- This product contains Sodium azide: a POISONOUS AND HAZARDOUS SUBSTANCE which should be handled by trained staff only.
-
储存条件
- -20 °C
-
储存方法
- Store at -20°C. Avoid freeze / thaw cycles.
-
-
- CDC5L (CDC5 Cell Division Cycle 5-Like (S. Pombe) (CDC5L))
-
别名
- CDC5L
-
背景
- The protein encoded by this gene shares a significant similarity with Schizosaccharomyces pombe cdc5 gene product, which is a cell cycle regulator important for G2/M transition. This protein has been demonstrated to act as a positive regulator of cell cycle G2/M progression. It was also found to be an essential component of a non-snRNA spliceosome, which contains at least five additional protein factors and is required for the second catalytic step of pre-mRNA splicing. [provided by RefSeq, Jul 2008],CDC5, CDC5-LIKE, CEF1, PCDC5RP, dJ319D22.1,Epigenetics & Nuclear Signaling,CDC5L
-
分子量
- 100kDa
-
基因ID
- 988
-
UniProt
- Q99459
-
途径
- Activation of Innate immune Response, Chromatin Binding
抗原
-