CTNNA3 抗体 (AA 1-240)
Our Local Distributor
北京 101111
Quick Overview for CTNNA3 抗体 (AA 1-240) (ABIN7266136)
抗原
See all CTNNA3 抗体适用
宿主
克隆类型
标记
应用范围
-
-
抗原表位
- AA 1-240
-
原理
- CTNNA3 Rabbit pAb
-
序列
- MKSTQRREKQ GSMSAETPIT LNIDPQDLQV QTFTVEKLLE PLIIQVTTLV NCPQNPSSRK KGRSKRASVL LASVEEATWN LLDKGEKIAQ EATVLKDELT ASLEEVRKES EALKVSAERF TDDPCFLPKR EAVVQAARAL LAAVTRLLIL ADMIDVMCLL QHVSAFQRTF ESLKNVANKS DLQKTYQKLG KELENLDYLA FKRQQDLKSP NQRDEIAGAR ASLKENSPLL HSICSACLEH
-
交叉反应
- 人, 小鼠, 大鼠
-
产品特性
- Polyclonal Antibodies
-
纯化方法
- Affinity purification
-
免疫原
- Recombinant fusion protein containing a sequence corresponding to amino acids 1-240 of human CTNNA3 (NP_001278062.1).
-
亚型
- IgG
-
-
-
-
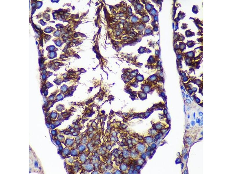
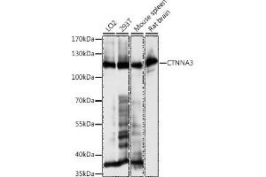
应用备注
- WB,1:500 - 1:2000,IHC,1:50 - 1:200,IF,1:50 - 1:200
-
限制
- 仅限研究用
-
-
-
状态
- Liquid
-
缓冲液
- PBS with 0.02 % sodium azide,50 % glycerol, pH 7.3.
-
储存液
- Sodium azide
-
注意事项
- This product contains Sodium azide: a POISONOUS AND HAZARDOUS SUBSTANCE which should be handled by trained staff only.
-
储存条件
- -20 °C
-
储存方法
- Store at -20°C. Avoid freeze / thaw cycles.
-
-
- CTNNA3 (Catenin (Cadherin-Associated Protein), alpha 3 (CTNNA3))
-
别名
- CTNNA3
-
背景
- This gene encodes a protein that belongs to the vinculin/alpha-catenin family. The encoded protein plays a role in cell-cell adhesion in muscle cells. Mutations in this gene are associated with arrhythmogenic right ventricular dysplasia, familial 13. Alternative splicing results in multiple transcript variants.,CTNNA3,ARVD13,VR22,CTNNA3
-
分子量
- 57kDa/99kDa
-
基因ID
- 29119
-
UniProt
- Q9UI47
抗原
-