电话:
+86 (0512) 65829739
传真:
+86 (010) 6788 5057
电子邮件:
orders@antibodies-online.cn

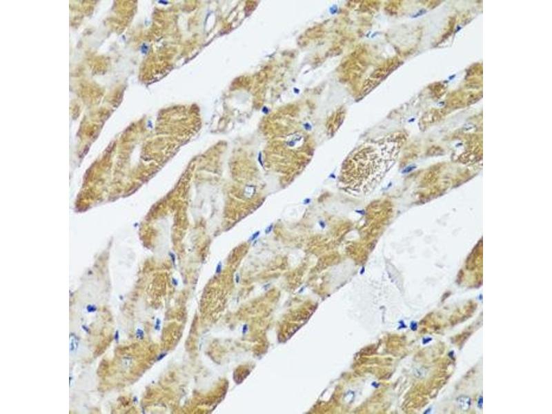
CASQ2 抗体 (AA 20-399)

The 兔 多克隆 anti-CASQ2 antibody is suitable to detect CASQ2 in samples from 人. It has been validated for WB, IHC 和 IF.
产品编号 ABIN7266047
发货至: 中国
Contact our Customer Service for availability and price in your country. Contact Info

Our Local Distributor

中国
北京 101111
No. 88 KeChuang 6th Street
Beijing Economic Technological Development Area
Room 801-803
4A Biotech Co.,Ltd.
Tel +86 (0512) 65829739 传真 +86 (010) 6788 5057

Quick Overview for CASQ2 抗体 (AA 20-399) (ABIN7266047)

抗原

See all CASQ2 抗体
CASQ2 (Calsequestrin 2 (CASQ2))

适用

  • 33
  • 5
  • 3
  • 2
  • 2
  • 2
  • 1
  • 1
  • 1

宿主

  • 30
  • 6

克隆类型

  • 31
  • 5
多克隆

标记

  • 21
  • 3
  • 2
  • 2
  • 1
  • 1
  • 1
  • 1
  • 1
  • 1
  • 1
  • 1
This CASQ2 antibody is un-conjugated

应用范围

  • 25
  • 17
  • 7
  • 3
  • 3
  • 2
  • 1
  • 1
Western Blotting (WB), Immunohistochemistry (IHC), Immunofluorescence (IF)
  • 抗原表位

    • 7
    • 5
    • 4
    • 2
    • 1
    • 1
    • 1
    • 1
    • 1
    • 1
    • 1
    AA 20-399

    原理

    CASQ2 Rabbit pAb

    序列

    EEGLNFPTYD GKDRVVSLSE KNFKQVLKKY DLLCLYYHEP VSSDKVTQKQ FQLKEIVLEL VAQVLEHKAI GFVMVDAKKE AKLAKKLGFD EEGSLYILKG DRTIEFDGEF AADVLVEFLL DLIEDPVEII SSKLEVQAFE RIEDYIKLIG FFKSEDSEYY KAFEEAAEHF QPYIKFFATF DKGVAKKLSL KMNEVDFYEP FMDEPIAIPN KPYTEEELVE FVKEHQRPTL RRLRPEEMFE TWEDDLNGIH IVAFAEKSDP DGYEFLEILK QVARDNTDNP DLSILWIDPD DFPLLVAYWE KTFKIDLFRP QIGVVNVTDA DSVWMEIPDD DDLPTAEELE DWIEDVLSGK INTEDDDEDD DDDDNSDEED NDDSDDDDDE

    交叉反应

    小鼠, 大鼠

    产品特性

    Polyclonal Antibodies

    纯化方法

    Affinity purification

    免疫原

    Recombinant fusion protein containing a sequence corresponding to amino acids 20-399 of human CASQ2 (NP_001223.2).

    亚型

    IgG
  • 应用备注

    WB,1:500 - 1:2000,IHC,1:50 - 1:100,IF,1:50 - 1:100

    限制

    仅限研究用
  • 状态

    Liquid

    缓冲液

    PBS with 0.02 % sodium azide,50 % glycerol, pH 7.3.

    储存液

    Sodium azide

    注意事项

    This product contains Sodium azide: a POISONOUS AND HAZARDOUS SUBSTANCE which should be handled by trained staff only.

    储存条件

    -20 °C

    储存方法

    Store at -20°C. Avoid freeze / thaw cycles.
  • 抗原

    CASQ2 (Calsequestrin 2 (CASQ2))

    别名

    CASQ2

    背景

    The protein encoded by this gene specifies the cardiac muscle family member of the calsequestrin family. Calsequestrin is localized to the sarcoplasmic reticulum in cardiac and slow skeletal muscle cells. The protein is a calcium binding protein that stores calcium for muscle function. Mutations in this gene cause stress-induced polymorphic ventricular tachycardia, also referred to as catecholaminergic polymorphic ventricular tachycardia 2 (CPVT2), a disease characterized by bidirectional ventricular tachycardia that may lead to cardiac arrest.,CASQ2,PDIB2,Cancer,Signal Transduction,Endocrine & Metabolism,Neuroscience,Calcium Signaling,Cardiovascular,Heart,Cardiac metabolism,Cardiac arrhythmias,CASQ2

    分子量

    38kDa/46kDa

    基因ID

    845

    UniProt

    O14958

    途径

    Negative Regulation of Transporter Activity
You are here: