电话:
+86 (0512) 65829739
传真:
+86 (010) 6788 5057
电子邮件:
orders@antibodies-online.cn

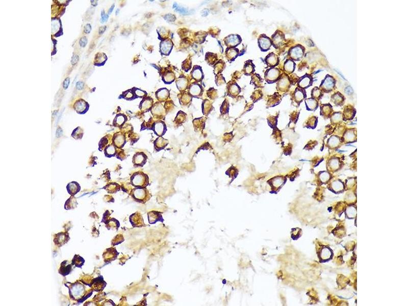
Calmegin 抗体

The 兔 单克隆 anti-Calmegin antibody is suitable to detect Calmegin in samples from 人. It has been validated for WB, IHC 和 IF.
产品编号 ABIN7266026
发货至: 中国
Contact our Customer Service for availability and price in your country. Contact Info

Our Local Distributor

中国
北京 101111
No. 88 KeChuang 6th Street
Beijing Economic Technological Development Area
Room 801-803
4A Biotech Co.,Ltd.
Tel +86 (0512) 65829739 传真 +86 (010) 6788 5057

Quick Overview for Calmegin 抗体 (ABIN7266026)

抗原

See all Calmegin (CLGN) 抗体
Calmegin (CLGN)

适用

  • 55
  • 28
  • 27
  • 2
  • 2
  • 2
  • 2
  • 2
  • 1

宿主

  • 45
  • 11

克隆类型

  • 38
  • 18
单克隆

标记

  • 27
  • 4
  • 3
  • 3
  • 3
  • 3
  • 3
  • 3
  • 2
  • 2
  • 2
  • 1
This Calmegin antibody is un-conjugated

应用范围

  • 43
  • 31
  • 25
  • 23
  • 19
  • 17
  • 12
  • 2
  • 1
  • 1
Western Blotting (WB), Immunohistochemistry (IHC), Immunofluorescence (IF)
  • 原理

    Calmegin Rabbit mAb

    交叉反应

    人, 小鼠, 大鼠

    产品特性

    Monoclonal Antibodies

    纯化方法

    Affinity purification

    免疫原

    A synthesized peptide derived from human Calmegin

    亚型

    IgG
  • 应用备注

    WB,1:500 - 1:2000,IHC,1:50 - 1:200,IF,1:50 - 1:200

    限制

    仅限研究用
  • 状态

    Liquid

    缓冲液

    PBS with 0.02 % sodium azide,0.05 % BSA,50 % glycerol, pH 7.3.

    储存液

    Sodium azide

    注意事项

    This product contains Sodium azide: a POISONOUS AND HAZARDOUS SUBSTANCE which should be handled by trained staff only.

    储存条件

    -20 °C

    储存方法

    Store at -20°C. Avoid freeze / thaw cycles.
  • 抗原

    Calmegin (CLGN)

    别名

    CLGN

    背景

    Calmegin is a testis-specific endoplasmic reticulum chaperone protein. CLGN may play a role in spermatogeneisis and infertility. [provided by RefSeq, Jul 2008],CLGN

    分子量

    100kDa

    基因ID

    1047

    UniProt

    O14967
You are here: