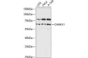
CAMKK1 抗体 (AA 399-520)
Our Local Distributor
北京 101111
Quick Overview for CAMKK1 抗体 (AA 399-520) (ABIN7266022)
抗原
See all CAMKK1 抗体适用
宿主
克隆类型
标记
应用范围
-
-
抗原表位
- AA 399-520
-
原理
- CAMKK1 Rabbit pAb
-
序列
- LHRKIKNEPV VFPEEPEISE ELKDLILKML DKNPETRIGV PDIKLHPWVT KNGEEPLPSE EEHCSVVEVT EEEVKNSVRL IPSWTTVILV KSMLRKRSFG NPFEPQARRE ERSMSAPGNL LV
-
交叉反应
- 人, 小鼠
-
产品特性
- Polyclonal Antibodies
-
纯化方法
- Affinity purification
-
免疫原
- Recombinant fusion protein containing a sequence corresponding to amino acids 399-520 of human CAMKK1 (NP_757344.2).
-
亚型
- IgG
-
-
-
-
应用备注
- WB,1:500 - 1:2000,IHC,1:50 - 1:200
-
限制
- 仅限研究用
-
-
-
状态
- Liquid
-
缓冲液
- PBS with 0.02 % sodium azide,50 % glycerol, pH 7.3.
-
储存液
- Sodium azide
-
注意事项
- This product contains Sodium azide: a POISONOUS AND HAZARDOUS SUBSTANCE which should be handled by trained staff only.
-
储存条件
- -20 °C
-
储存方法
- Store at -20°C. Avoid freeze / thaw cycles.
-
-
- CAMKK1 (Calcium/calmodulin-Dependent Protein Kinase Kinase 1, alpha (CAMKK1))
-
别名
- CAMKK1
-
背景
- The product of this gene belongs to the Serine/Threonine protein kinase family, and to the Ca(2+)/calmodulin-dependent protein kinase subfamily. This protein plays a role in the calcium/calmodulin-dependent (CaM) kinase cascade. Three transcript variants encoding two distinct isoforms have been identified for this gene.,CAMKK1,CAMKKA,Signal Transduction,Endocrine & Metabolism,AMPK Signaling Pathway,Neuroscience,Calcium Signaling,CAMKK1
-
分子量
- 55kDa/57kDa
-
基因ID
- 84254
-
UniProt
- Q8N5S9
-
途径
- AMPK Signaling
抗原
-