电话:
+86 (0512) 65829739
传真:
+86 (010) 6788 5057
电子邮件:
orders@antibodies-online.cn

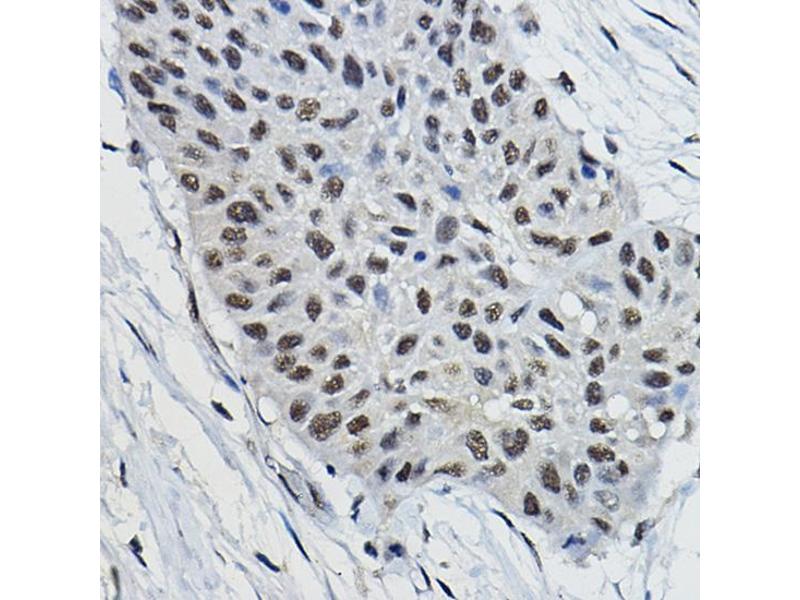
BRAP 抗体 (AA 1-200)

The 兔 多克隆 anti-BRAP antibody (ABIN7265922) specifically detects BRAP in WB, IHC 和 IF. The antibody is reactive with 人 samples.
产品编号 ABIN7265922
发货至: 中国
Contact our Customer Service for availability and price in your country. Contact Info

Our Local Distributor

中国
北京 101111
No. 88 KeChuang 6th Street
Beijing Economic Technological Development Area
Room 801-803
4A Biotech Co.,Ltd.
Tel +86 (0512) 65829739 传真 +86 (010) 6788 5057

Quick Overview for BRAP 抗体 (AA 1-200) (ABIN7265922)

抗原

See all BRAP 抗体
BRAP (BRCA1 Associated Protein (BRAP))

适用

  • 27
  • 4
  • 3
  • 3
  • 3
  • 2
  • 2
  • 2
  • 1
  • 1
  • 1
  • 1
  • 1

宿主

  • 24
  • 3

克隆类型

  • 24
  • 3
多克隆

标记

  • 18
  • 3
  • 2
  • 2
  • 1
  • 1
This BRAP antibody is un-conjugated

应用范围

  • 20
  • 15
  • 4
  • 4
  • 2
  • 1
  • 1
  • 1
  • 1
Western Blotting (WB), Immunohistochemistry (IHC), Immunofluorescence (IF)
  • 抗原表位

    • 9
    • 6
    • 2
    • 2
    • 2
    • 2
    • 1
    • 1
    AA 1-200

    原理

    BRAP Rabbit pAb

    序列

    MSVSLVVIRL ELAEHSPVPA GFGFSAAAGE MSDEEIKKTT LASAVACLEG KSPGEKVAII HQHLGRREMT DVIIETMKSN PDELKTTVEE RKSSEASPTA QRSKDHSKEC INAAPDSPSK QLPDQISFFS GNPSVEIVHG IMHLYKTNKM TSLKEDVRRS AMLCILTVPA AMTSHDLMKF VAPFNEVIEQ MKIIRDSTPN

    交叉反应

    人, 小鼠, 大鼠

    产品特性

    Polyclonal Antibodies

    纯化方法

    Affinity purification

    免疫原

    Recombinant fusion protein containing a sequence corresponding to amino acids 1-200 of human BRAP (NP_006759.3).

    亚型

    IgG
  • 应用备注

    WB,1:500 - 1:2000,IHC,1:50 - 1:100,IF,1:50 - 1:100

    限制

    仅限研究用
  • 状态

    Liquid

    缓冲液

    PBS with 0.02 % sodium azide,50 % glycerol, pH 7.3.

    储存液

    Sodium azide

    注意事项

    This product contains Sodium azide: a POISONOUS AND HAZARDOUS SUBSTANCE which should be handled by trained staff only.

    储存条件

    -20 °C

    储存方法

    Store at -20°C. Avoid freeze / thaw cycles.
  • 抗原

    BRAP (BRCA1 Associated Protein (BRAP))

    别名

    BRAP

    背景

    The protein encoded by this gene was identified by its ability to bind to the nuclear localization signal of BRCA1 and other proteins. It is a cytoplasmic protein which may regulate nuclear targeting by retaining proteins with a nuclear localization signal in the cytoplasm.,BRAP,BRAP2,IMP,RNF52,Epigenetics & Nuclear Signaling,DNA Damage & Repair,Signal Transduction,G protein signaling,G2/M DNA Damage Checkpoint,MAPK-Erk Signaling Pathway,BRAP

    分子量

    47kDa/67kDa

    基因ID

    8315

    UniProt

    Q7Z569
You are here: