电话:
+86 (0512) 65829739
传真:
+86 (010) 6788 5057
电子邮件:
orders@antibodies-online.cn

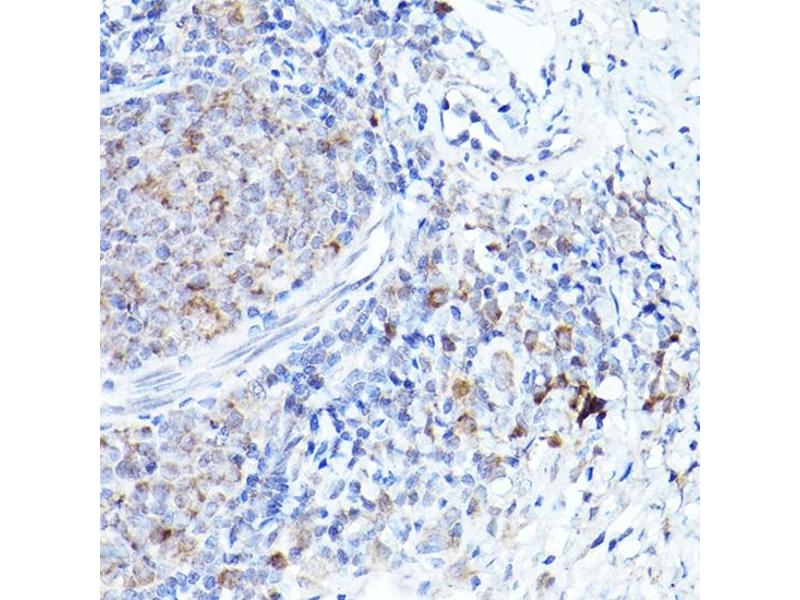
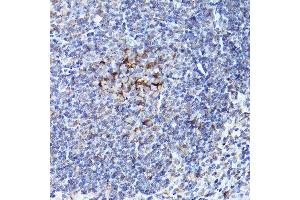
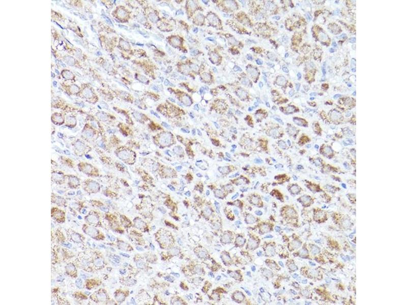
BOK 抗体 (AA 1-100)

This 兔 多克隆 antibody specifically detects BOK in WB, IHC 和 IF. It exhibits reactivity toward 人.
产品编号 ABIN7265866
发货至: 中国
Contact our Customer Service for availability and price in your country. Contact Info

Our Local Distributor

中国
北京 101111
No. 88 KeChuang 6th Street
Beijing Economic Technological Development Area
Room 801-803
4A Biotech Co.,Ltd.
Tel +86 (0512) 65829739 传真 +86 (010) 6788 5057

Quick Overview for BOK 抗体 (AA 1-100) (ABIN7265866)

抗原

See all BOK 抗体
BOK (BCL2-Related Ovarian Killer (BOK))

适用

  • 43
  • 14
  • 8
  • 1
  • 1
  • 1

宿主

  • 41
  • 2

克隆类型

  • 42
  • 1
多克隆

标记

  • 23
  • 4
  • 3
  • 3
  • 2
  • 2
  • 1
  • 1
  • 1
  • 1
  • 1
  • 1
This BOK antibody is un-conjugated

应用范围

  • 26
  • 25
  • 13
  • 5
  • 2
  • 2
  • 1
  • 1
  • 1
  • 1
  • 1
Western Blotting (WB), Immunohistochemistry (IHC), Immunofluorescence (IF)
  • 抗原表位

    • 9
    • 7
    • 5
    • 2
    • 1
    • 1
    • 1
    • 1
    • 1
    • 1
    • 1
    AA 1-100

    原理

    BOK Rabbit pAb

    序列

    MEVLRRSSVF AAEIMDAFDR SPTDKELVAQ AKALGREYVH ARLLRAGLSW SAPERAAPVP GRLAEVCAVL LRLGDELEMI RPSVYRNVAR QLHISLQSEP

    交叉反应

    人, 小鼠, 大鼠

    产品特性

    Polyclonal Antibodies

    纯化方法

    Affinity purification

    免疫原

    A synthetic peptide corresponding to a sequence within amino acids 1-100 of human BOK (NP_115904.1).

    亚型

    IgG
  • 应用备注

    WB,1:500 - 1:2000,IHC,1:50 - 1:200,IF,1:50 - 1:200

    限制

    仅限研究用
  • 状态

    Liquid

    缓冲液

    PBS with 0.02 % sodium azide,50 % glycerol, pH 7.3.

    储存液

    Sodium azide

    注意事项

    This product contains Sodium azide: a POISONOUS AND HAZARDOUS SUBSTANCE which should be handled by trained staff only.

    储存条件

    -20 °C

    储存方法

    Store at -20°C. Avoid freeze / thaw cycles.
  • 抗原

    BOK (BCL2-Related Ovarian Killer (BOK))

    别名

    BOK

    背景

    The protein encoded by this gene belongs to the BCL2 family, members of which form homo- or heterodimers, and act as anti- or proapoptotic regulators that are involved in a wide variety of cellular processes. Studies in rat show that this protein has restricted expression in reproductive tissues, interacts strongly with some antiapoptotic BCL2 proteins, not at all with proapoptotic BCL2 proteins, and induces apoptosis in transfected cells. Thus, this protein represents a proapoptotic member of the BCL2 family.,BOK,BCL2L9,BOKL,Cancer,Tumor suppressors,p53 pathway,Cell Biology & Developmental Biology,Apoptosis,BOK

    分子量

    14kDa/23kDa

    基因ID

    666

    UniProt

    Q9UMX3

    途径

    Positive Regulation of Endopeptidase Activity
You are here: