电话:
+86 (0512) 65829739
传真:
+86 (010) 6788 5057
电子邮件:
orders@antibodies-online.cn

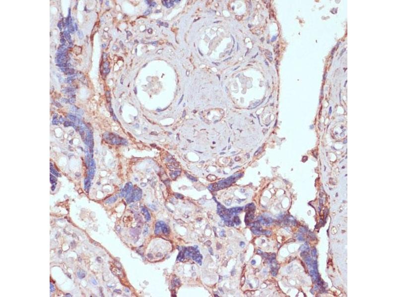
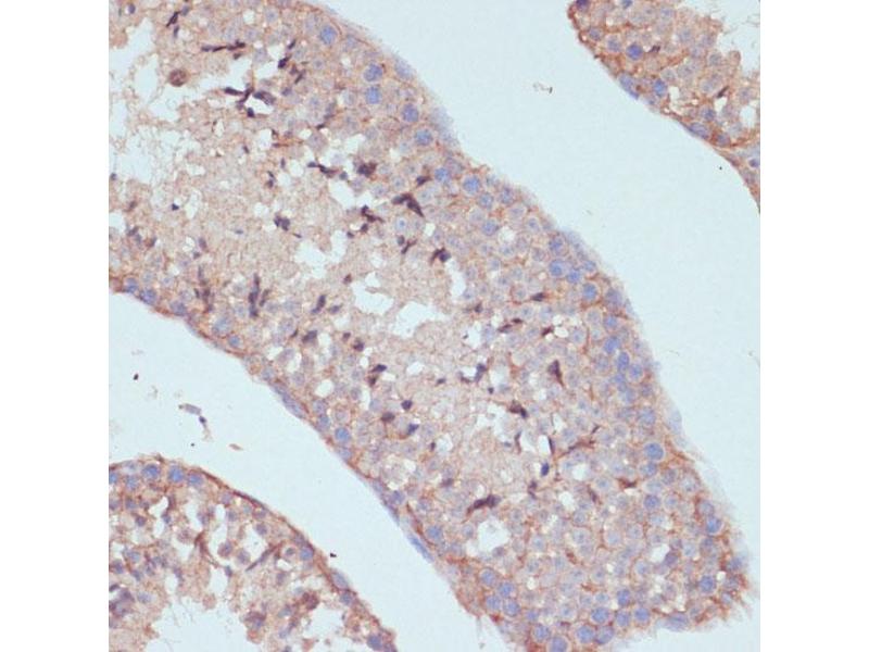
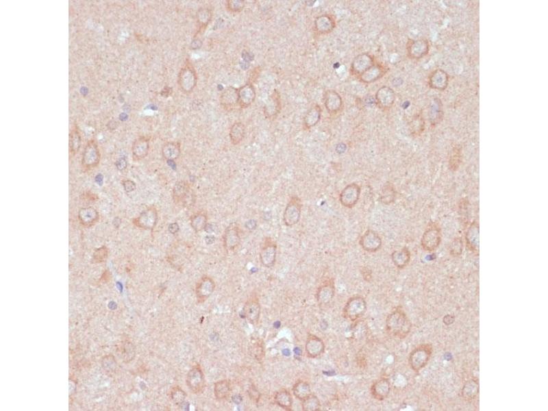
ARL4D 抗体 (AA 92-201)

The 兔 多克隆 anti-ARL4D antibody is suitable to detect ARL4D in samples from 人. It has been validated for IHC, WB 和 IF.
产品编号 ABIN7265495
发货至: 中国
Contact our Customer Service for availability and price in your country. Contact Info

Our Local Distributor

中国
北京 101111
No. 88 KeChuang 6th Street
Beijing Economic Technological Development Area
Room 801-803
4A Biotech Co.,Ltd.
Tel +86 (0512) 65829739 传真 +86 (010) 6788 5057

Quick Overview for ARL4D 抗体 (AA 92-201) (ABIN7265495)

抗原

See all ARL4D 抗体
ARL4D (ADP-Ribosylation Factor-Like 4D (ARL4D))

适用

  • 20
  • 11
  • 2

宿主

  • 18
  • 1
  • 1

克隆类型

  • 20
多克隆

标记

  • 9
  • 2
  • 2
  • 1
  • 1
  • 1
  • 1
  • 1
  • 1
  • 1
This ARL4D antibody is un-conjugated

应用范围

  • 8
  • 6
  • 4
  • 1
Immunohistochemistry (IHC), Western Blotting (WB), Immunofluorescence (IF)
  • 抗原表位

    • 5
    • 3
    • 1
    AA 92-201

    原理

    ARL4D Rabbit pAb

    序列

    RRTDGLVFVV DAAEAERLEE AKVELHRISR ASDNQGVPVL VLANKQDQPG ALSAAEVEKR LAVRELAAAT LTHVQGCSAV DGLGLQQGLE RLYEMILKRK KAARGGKKRR

    交叉反应

    人, 小鼠, 大鼠

    产品特性

    Polyclonal Antibodies

    纯化方法

    Affinity purification

    免疫原

    Recombinant fusion protein containing a sequence corresponding to amino acids 92-201 of human ARL4D (NP_001652.2).

    亚型

    IgG
  • 应用备注

    WB,1:500 - 1:2000,IHC,1:50 - 1:100,IF,1:50 - 1:100

    限制

    仅限研究用
  • 状态

    Liquid

    缓冲液

    PBS with 0.02 % sodium azide,50 % glycerol, pH 7.3.

    储存液

    Sodium azide

    注意事项

    This product contains Sodium azide: a POISONOUS AND HAZARDOUS SUBSTANCE which should be handled by trained staff only.

    储存条件

    -20 °C

    储存方法

    Store at -20°C. Avoid freeze / thaw cycles.
  • 抗原

    ARL4D (ADP-Ribosylation Factor-Like 4D (ARL4D))

    别名

    ARL4D

    背景

    ADP-ribosylation factor 4D is a member of the ADP-ribosylation factor family of GTP-binding proteins. ARL4D is closely similar to ARL4A and ARL4C and each has a nuclear localization signal and an unusually high guanine nucleotide exchange rate. This protein may play a role in membrane-associated intracellular trafficking. Mutations in this gene have been associated with Bardet-Biedl syndrome (BBS).,ARL4D,ARF4L,ARL6,Signal Transduction,G protein signaling,Signal Transduction,ARL4D

    基因ID

    379

    UniProt

    P49703
You are here: