ACADS 抗体
Our Local Distributor
北京 101111
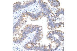
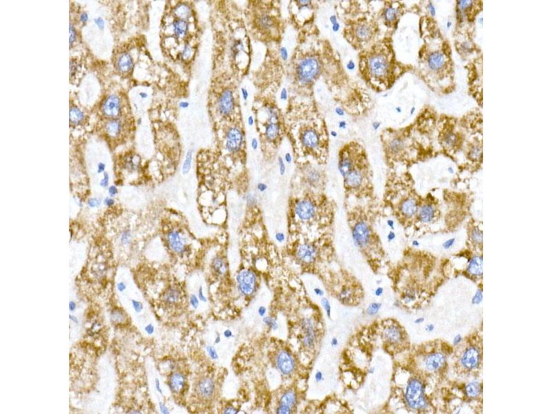
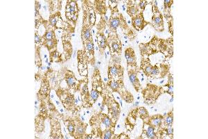
Quick Overview for ACADS 抗体 (ABIN7265419)
抗原
See all ACADS (Acads) 抗体适用
宿主
克隆类型
标记
应用范围
-
-
原理
- ACADS / SCAD Rabbit mAb
-
交叉反应
- 人, 小鼠, 大鼠
-
产品特性
- Monoclonal Antibodies
-
纯化方法
- Affinity purification
-
免疫原
- Recombinant protein of Human ACADS / SCAD.
-
亚型
- IgG
-
-
-
-
应用备注
- WB,1:500 - 1:2000,IHC,1:50 - 1:200,IP,1:50 - 1:200
-
限制
- 仅限研究用
-
-
-
状态
- Liquid
-
缓冲液
- PBS with 0.02 % sodium azide,0.05 % BSA,50 % glycerol, pH 7.3.
-
储存液
- Sodium azide
-
注意事项
- This product contains Sodium azide: a POISONOUS AND HAZARDOUS SUBSTANCE which should be handled by trained staff only.
-
储存条件
- -20 °C
-
储存方法
- Store at -20°C. Avoid freeze / thaw cycles.
-
-
- ACADS (Acads) (Acyl-CoA Dehydrogenase, C-2 To C-3 Short Chain (Acads))
-
别名
- ACADS / SCAD
-
背景
- This gene encodes a tetrameric mitochondrial flavoprotein, which is a member of the acyl-CoA dehydrogenase family. This enzyme catalyzes the initial step of the mitochondrial fatty acid beta-oxidation pathway. Mutations in this gene have been associated with short-chain acyl-CoA dehydrogenase (SCAD) deficiency. Alternative splicing results in two variants which encode different isoforms.,ACADS,ACAD3,SCAD,Cancer,Signal Transduction,Endocrine & Metabolism,Mitochondrial metabolism,Mitochondrial markers,Lipid Metabolism,Cardiovascular,Lipids,Fatty Acids,ACADS / SCAD
-
分子量
- 44kDa
-
基因ID
- 35
-
UniProt
- P16219
-
途径
- Monocarboxylic Acid Catabolic Process
抗原
-