电话:
+86 (0512) 65829739
传真:
+86 (010) 6788 5057
电子邮件:
orders@antibodies-online.cn

BAF53A 抗体

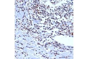
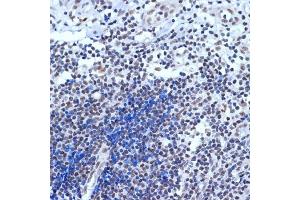
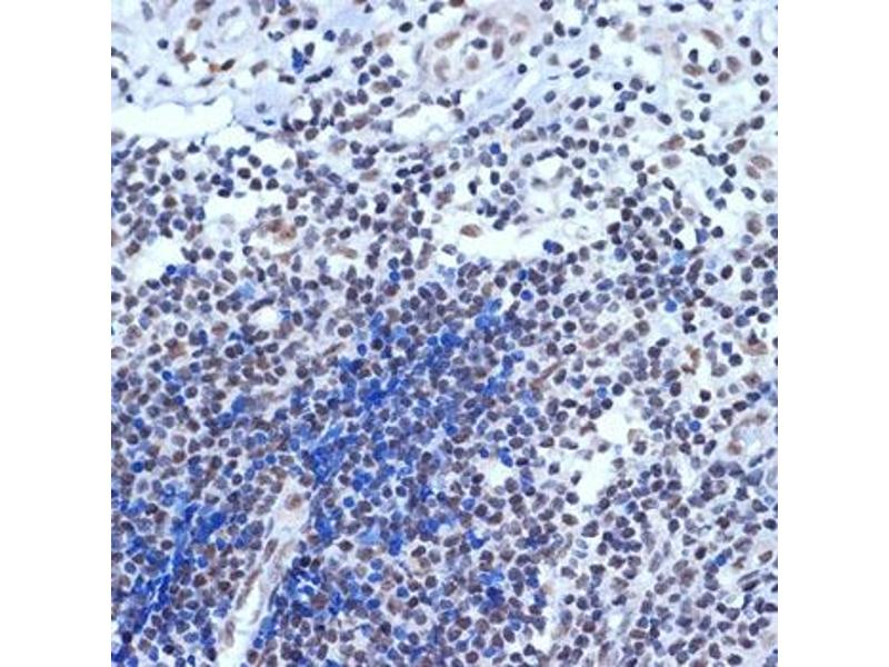
The 兔 单克隆 anti-BAF53A antibody is suitable to detect BAF53A in samples from 人. It has been validated for WB 和 IHC.
产品编号 ABIN7265387
发货至: 中国
Contact our Customer Service for availability and price in your country. Contact Info

Our Local Distributor

中国
北京 101111
No. 88 KeChuang 6th Street
Beijing Economic Technological Development Area
Room 801-803
4A Biotech Co.,Ltd.
Tel +86 (0512) 65829739 传真 +86 (010) 6788 5057

Quick Overview for BAF53A 抗体 (ABIN7265387)

抗原

See all BAF53A 抗体
BAF53A (Actin-Like 6A (BAF53A))

适用

  • 86
  • 68
  • 49
  • 7
  • 7
  • 5
  • 5
  • 4
  • 4
  • 4
  • 2
  • 2
  • 1
  • 1
  • 1
  • 1

宿主

  • 88
  • 9

克隆类型

  • 67
  • 30
单克隆

标记

  • 49
  • 6
  • 3
  • 3
  • 3
  • 3
  • 3
  • 3
  • 3
  • 2
  • 1
  • 1
  • 1
  • 1
  • 1
  • 1
  • 1
  • 1
  • 1
  • 1
  • 1
  • 1
  • 1
  • 1
  • 1
  • 1
  • 1
  • 1
  • 1
This BAF53A antibody is un-conjugated

应用范围

  • 74
  • 28
  • 27
  • 24
  • 23
  • 13
  • 7
  • 3
  • 2
  • 2
  • 1
  • 1
  • 1
  • 1
Western Blotting (WB), Immunohistochemistry (IHC)
  • 原理

    ACTL6A Rabbit mAb

    交叉反应

    人, 小鼠, 大鼠

    产品特性

    Monoclonal Antibodies

    纯化方法

    Affinity purification

    免疫原

    A synthesized peptide derived from human ACTL6A

    亚型

    IgG
  • 应用备注

    WB,1:500 - 1:2000,IHC,1:50 - 1:200

    限制

    仅限研究用
  • 状态

    Liquid

    缓冲液

    PBS with 0.02 % sodium azide,0.05 % BSA,50 % glycerol, pH 7.3.

    储存液

    Sodium azide

    注意事项

    This product contains Sodium azide: a POISONOUS AND HAZARDOUS SUBSTANCE which should be handled by trained staff only.

    储存条件

    -20 °C

    储存方法

    Store at -20°C. Avoid freeze / thaw cycles.
  • 抗原

    BAF53A (Actin-Like 6A (BAF53A))

    别名

    ACTL6A

    背景

    This gene encodes a family member of actin-related proteins (ARPs), which share significant amino acid sequence identity to conventional actins. Both actins and ARPs have an actin fold, which is an ATP-binding cleft, as a common feature. The ARPs are involved in diverse cellular processes, including vesicular transport, spindle orientation, nuclear migration and chromatin remodeling. This gene encodes a 53 kDa subunit protein of the BAF (BRG1/brm-associated factor) complex in mammals, which is functionally related to SWI/SNF complex in S. cerevisiae and Drosophila, the latter is thought to facilitate transcriptional activation of specific genes by antagonizing chromatin-mediated transcriptional repression. Together with beta-actin, it is required for maximal ATPase activity of BRG1, and for the association of the BAF complex with chromatin/matrix. Three transcript variants that encode two different protein isoforms have been described. [provided by RefSeq, Jul 2008],ACTL6, ARPN-BETA, Arp4, BAF53A, INO80K,Cell Biology & Developmental Biology,Chromatin Remodeling,Cytoskeleton,Cytoskeleton_Microfilaments,Epigenetics & Nuclear Signaling,Signal Transduction,ACTL6A

    分子量

    47kDa

    基因ID

    86

    UniProt

    O96019

    途径

    Chromatin Binding, Photoperiodism
You are here: