ANP32B 抗体
Our Local Distributor
北京 101111
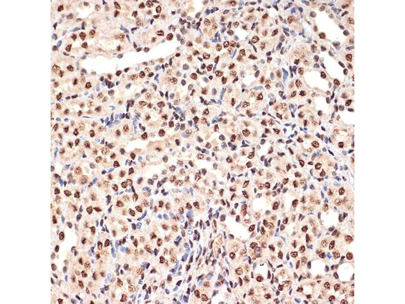
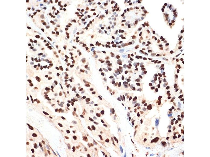
Quick Overview for ANP32B 抗体 (ABIN7265377)
抗原
See all ANP32B 抗体适用
宿主
克隆类型
标记
应用范围
-
-
原理
- ANP32B Rabbit mAb
-
交叉反应
- 人, 小鼠, 大鼠
-
产品特性
- Monoclonal Antibodies
-
纯化方法
- Affinity purification
-
免疫原
- A synthesized peptide derived from human ANP32B
-
亚型
- IgG
-
-
-
-
应用备注
- WB,1:500 - 1:2000,IHC,1:50 - 1:200,IF,1:50 - 1:200
-
限制
- 仅限研究用
-
-
-
状态
- Liquid
-
缓冲液
- PBS with 0.02 % sodium azide,0.05 % BSA,50 % glycerol, pH 7.3.
-
储存液
- Sodium azide
-
注意事项
- This product contains Sodium azide: a POISONOUS AND HAZARDOUS SUBSTANCE which should be handled by trained staff only.
-
储存条件
- -20 °C
-
储存方法
- Store at -20°C. Avoid freeze / thaw cycles.
-
-
- ANP32B (Acidic (Leucine-Rich) Nuclear phosphoprotein 32 Family, Member B (ANP32B))
-
别名
- ANP32B
-
背景
- Multifunctional protein that is involved in the regulation of many processes including cell proliferation, apoptosis, cell cycle progression or transcription. Regulates the proliferation of neuronal stem cells, differentiation of leukemic cells and progression from G1 to S phase of the cell cycle. As negative regulator of caspase-3-dependent apoptosis, may act as an antagonist of ANP32A in regulating tissue homeostasis. Exhibits histone chaperone properties, able to recruit histones to certain promoters, thus regulating the transcription of specific genes. Plays also an essential role in the nucleocytoplasmic transport of specific mRNAs via the uncommon nuclear mRNA export receptor XPO1/CRM1. Participates in the regulation of adequate adaptive immune responses by acting on mRNA expression and cell proliferation (By similarity.,APRIL, PHAPI2, SSP29,Apoptosis,Apoptosis_Caspases,Cell Biology & Developmental Biology,Cell Cycle,ANP32B
-
分子量
- 29kDa
-
基因ID
- 10541
-
UniProt
- Q92688
抗原
-