电话:
+86 (0512) 65829739
传真:
+86 (010) 6788 5057
电子邮件:
orders@antibodies-online.cn

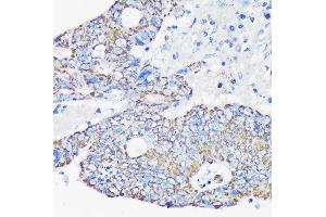
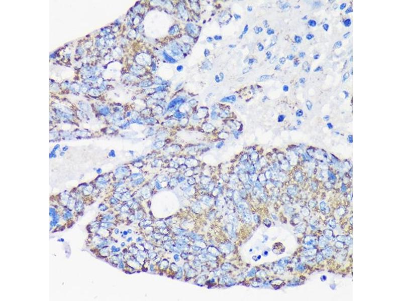
ACAA2 抗体 (AA 1-250)

This 兔 多克隆 antibody specifically detects ACAA2 in WB, IHC 和 IF. It exhibits reactivity toward 人.
产品编号 ABIN7265368
发货至: 中国
Contact our Customer Service for availability and price in your country. Contact Info

Our Local Distributor

中国
北京 101111
No. 88 KeChuang 6th Street
Beijing Economic Technological Development Area
Room 801-803
4A Biotech Co.,Ltd.
Tel +86 (0512) 65829739 传真 +86 (010) 6788 5057

Quick Overview for ACAA2 抗体 (AA 1-250) (ABIN7265368)

抗原

See all ACAA2 抗体
ACAA2 (Acetyl-CoA Acyltransferase 2 (ACAA2))

适用

  • 48
  • 33
  • 25
  • 4
  • 3
  • 3
  • 2
  • 2
  • 2
  • 2
  • 1
  • 1
  • 1
  • 1
  • 1
  • 1

宿主

  • 46
  • 4

克隆类型

  • 30
  • 20
多克隆

标记

  • 30
  • 3
  • 2
  • 2
  • 2
  • 2
  • 2
  • 2
  • 2
  • 1
  • 1
  • 1
This ACAA2 antibody is un-conjugated

应用范围

  • 37
  • 28
  • 25
  • 19
  • 12
  • 5
  • 5
  • 4
  • 1
  • 1
  • 1
Western Blotting (WB), Immunohistochemistry (IHC), Immunofluorescence (IF)
  • 抗原表位

    • 6
    • 4
    • 3
    • 1
    • 1
    • 1
    • 1
    • 1
    AA 1-250

    原理

    ACAA2 Rabbit pAb

    序列

    MALLRGVFVV AAKRTPFGAY GGLLKDFTAT DLSEFAAKAA LSAGKVSPET VDSVIMGNVL QSSSDAIYLA RHVGLRVGIP KETPALTINR LCGSGFQSIV NGCQEICVKE AEVVLCGGTE SMSQAPYCVR NVRFGTKLGS DIKLEDSLWV SLTDQHVQLP MAMTAENLAV KHKISREECD KYALQSQQRW KAANDAGYFN DEMAPIEVKT KKGKQTMQVD EHARPQTTLE QLQKLPPVFK KDGTVTAGNA

    交叉反应

    人, 小鼠, 大鼠

    产品特性

    Polyclonal Antibodies

    纯化方法

    Affinity purification

    免疫原

    Recombinant fusion protein containing a sequence corresponding to amino acids 1-250 of human ACAA2 (NP_006102.2).

    亚型

    IgG
  • 应用备注

    WB,1:500 - 1:2000,IHC,1:50 - 1:200,IF,1:50 - 1:200

    限制

    仅限研究用
  • 状态

    Liquid

    缓冲液

    PBS with 0.02 % sodium azide,50 % glycerol, pH 7.3.

    储存液

    Sodium azide

    注意事项

    This product contains Sodium azide: a POISONOUS AND HAZARDOUS SUBSTANCE which should be handled by trained staff only.

    储存条件

    -20 °C

    储存方法

    Store at -20°C. Avoid freeze / thaw cycles.
  • 抗原

    ACAA2 (Acetyl-CoA Acyltransferase 2 (ACAA2))

    别名

    ACAA2

    背景

    The encoded protein catalyzes the last step of the mitochondrial fatty acid beta-oxidation spiral. Unlike most mitochondrial matrix proteins, it contains a non-cleavable amino-terminal targeting signal.,ACAA2,DSAEC,Epigenetics & Nuclear Signaling,RNA Binding,Signal Transduction,Endocrine & Metabolism,Mitochondrial metabolism,Mitochondrial markers,Lipid Metabolism,Cholesterol Metabolism,Cardiovascular,Lipids,Fatty Acids,ACAA2

    分子量

    41kDa

    基因ID

    10449

    UniProt

    P42765

    途径

    Monocarboxylic Acid Catabolic Process
You are here: