电话:
+86 (0512) 65829739
传真:
+86 (010) 6788 5057
电子邮件:
orders@antibodies-online.cn

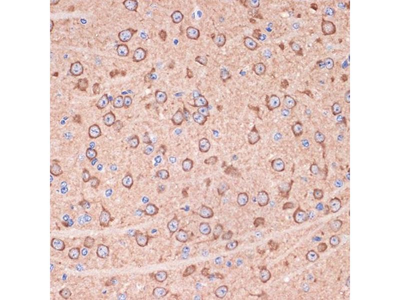
14-3-3 gamma 抗体

This 兔 单克隆 antibody specifically detects 14-3-3 gamma in WB 和 IHC. It exhibits reactivity toward 人.
产品编号 ABIN7265311
发货至: 中国
Contact our Customer Service for availability and price in your country. Contact Info

Our Local Distributor

中国
北京 101111
No. 88 KeChuang 6th Street
Beijing Economic Technological Development Area
Room 801-803
4A Biotech Co.,Ltd.
Tel +86 (0512) 65829739 传真 +86 (010) 6788 5057

Quick Overview for 14-3-3 gamma 抗体 (ABIN7265311)

抗原

See all 14-3-3 gamma (YWHAG1) 抗体
14-3-3 gamma (YWHAG1)

适用

  • 93
  • 51
  • 41
  • 6
  • 4
  • 4
  • 3
  • 2
  • 2
  • 2
  • 1
  • 1
  • 1
  • 1

宿主

  • 84
  • 11

克隆类型

  • 62
  • 33
单克隆

标记

  • 49
  • 6
  • 4
  • 3
  • 3
  • 3
  • 3
  • 3
  • 3
  • 3
  • 1
  • 1
  • 1
  • 1
  • 1
  • 1
  • 1
  • 1
  • 1
  • 1
  • 1
  • 1
  • 1
  • 1
  • 1
This 14-3-3 gamma antibody is un-conjugated

应用范围

  • 60
  • 34
  • 23
  • 23
  • 16
  • 13
  • 13
  • 8
  • 6
  • 5
  • 3
  • 3
Western Blotting (WB), Immunohistochemistry (IHC)
  • 原理

    14-3-3 gamma Rabbit mAb

    交叉反应

    人, 小鼠, 大鼠

    产品特性

    Monoclonal Antibodies

    纯化方法

    Affinity purification

    免疫原

    A synthesized peptide derived from human 14-3-3 gamma

    亚型

    IgG
  • 应用备注

    WB,1:500 - 1:2000,IHC,1:50 - 1:200

    限制

    仅限研究用
  • 状态

    Liquid

    缓冲液

    PBS with 0.02 % sodium azide,0.05 % BSA,50 % glycerol, pH 7.3.

    储存液

    Sodium azide

    注意事项

    This product contains Sodium azide: a POISONOUS AND HAZARDOUS SUBSTANCE which should be handled by trained staff only.

    储存条件

    -20 °C

    储存方法

    Store at -20°C. Avoid freeze / thaw cycles.
  • 抗原

    14-3-3 gamma (YWHAG1)

    别名

    YWHAG

    背景

    This gene product belongs to the 14-3-3 family of proteins which mediate signal transduction by binding to phosphoserine-containing proteins. This highly conserved protein family is found in both plants and mammals, and this protein is 100 % identical to the rat ortholog. It is induced by growth factors in human vascular smooth muscle cells, and is also highly expressed in skeletal and heart muscles, suggesting an important role for this protein in muscle tissue. It has been shown to interact with RAF1 and protein kinase C, proteins involved in various signal transduction pathways. [provided by RefSeq, Jul 2008],14-3-3GAMMA, PPP1R170,Apoptosis,Apoptosis_Mitochondrial Control of Apoptosis,Cancer,Cell Biology & Developmental Biology,Cell Cycle,Cell Type Marker,Cell Type Marker_Neuron marker,Cell Type Marker_Synapse marker,Epigenetics & Nuclear Signaling,G2/M DNA Damage Checkpoint,Hippo Signaling Pathway,MAPK-Erk Signaling Pathway,MAPK-JNK Signaling Pathway,Neuroscience,PI3K-Akt Signaling Pathway,RNA Binding,Signal Transduction,Stem Cells,YWHAG

    分子量

    28kDa

    基因ID

    7532

    UniProt

    P61981

    途径

    Myometrial Relaxation and Contraction, M Phase
You are here: