电话:
+86 (0512) 65829739
传真:
+86 (010) 6788 5057
电子邮件:
orders@antibodies-online.cn

TPO (Internal Region) 抗体

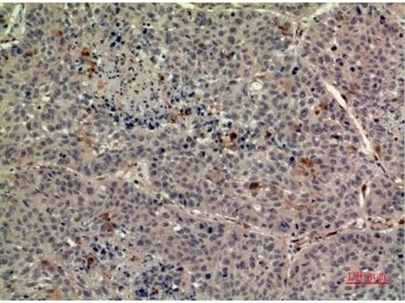
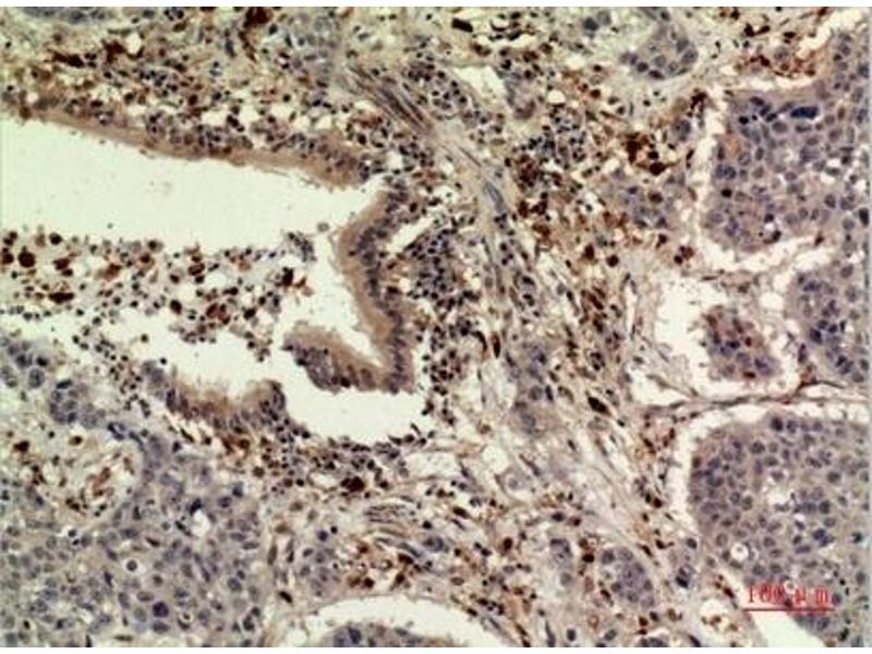
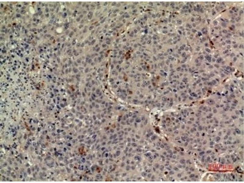
The 兔 多克隆 anti-TPO antibody (ABIN7218350) specifically detects TPO in WB, ELISA 和 IHC (p). The antibody is reactive with 人 samples.
产品编号 ABIN7218350
发货至: 中国
Contact our Customer Service for availability and price in your country. Contact Info

Our Local Distributor

中国
北京 101111
No. 88 KeChuang 6th Street
Beijing Economic Technological Development Area
Room 801-803
4A Biotech Co.,Ltd.
Tel +86 (0512) 65829739 传真 +86 (010) 6788 5057

Quick Overview for TPO (Internal Region) 抗体 (ABIN7218350)

抗原

TPO

适用

  • 58
  • 5
  • 3
  • 1

宿主

  • 35
  • 30

克隆类型

  • 51
  • 14
多克隆

标记

  • 32
  • 4
  • 3
  • 3
  • 3
  • 3
  • 1
  • 1
  • 1
  • 1
  • 1
  • 1
  • 1
  • 1
  • 1
  • 1
  • 1
  • 1
  • 1
  • 1
  • 1
  • 1
  • 1
非结合性

应用范围

  • 35
  • 22
  • 18
  • 11
  • 8
  • 6
  • 3
  • 2
  • 1
  • 1
  • 1
Western Blotting (WB), ELISA, Immunohistochemistry (Paraffin-embedded Sections) (IHC (p))
  • 抗原表位

    • 16
    • 5
    • 1
    • 1
    • 1
    • 1
    • 1
    • 1
    • 1
    • 1
    Internal Region

    原理

    TPO Polyclonal Antibody

    特异性

    TPO Polyclonal Antibody detects endogenous levels of TPO protein.

    纯化方法

    The antibody was affinity-purified from rabbit antiserum by affinity-chromatography using epitope-specific immunogen

    免疫原

    Synthesized peptide derived from the Internal region of human TPO

    亚型

    IgG
  • 应用备注

    Optimal working dilutions should be determined experimentally by the investigator. Suggested starting dilutions are as follows: WB (1:500-1:2000), IHC-P (1:100-1:300), ELISA (1:20000). Not yet tested in other applications.

    说明

    Primary Antibody

    限制

    仅限研究用
  • 状态

    Liquid

    浓度

    1 mg/mL

    缓冲液

    PBS containing 50 % Glycerol, 0.5 % BSA and 0.02 % Sodium Azide.

    储存液

    Sodium azide

    注意事项

    This product contains Sodium azide: a POISONOUS AND HAZARDOUS SUBSTANCE which should be handled by trained staff only.

    储存条件

    -20 °C

    储存方法

    Stable for one year at -20°C from date of shipment. For maximum recovery of product, centrifuge the original vial after thawing and prior to removing the cap. Aliquot to avoid repeated freezing and thawing.
  • 抗原

    TPO

    物质类

    Viral Protein

    背景

    Rabbit Anti-TPO Polyclonal Antibody,THPO, MGDF, Thrombopoietin, C-mpl ligand, ML, Megakaryocyte colony-stimulating factor, Megakaryocyte growth and development factor, MGDF, Myeloproliferative leukemia virus oncogene ligand,Megakaryocytopoiesis is the cellular development process that leads to platelet production. The main functional protein encoded by this gene is a humoral growth factor that is necessary for megakaryocyte proliferation and maturation, as well as for thrombopoiesis. This protein is the ligand for MLP/C_MPL, the product of myeloproliferative leukemia virus oncogene. Mutations in this gene are the cause of thrombocythemia 1. Alternative promoter usage and differential splicing result in multiple transcript variants differing in the 5' UTR and/or coding region. Multiple AUG codons upstream of the main open reading frame (ORF) have been identified, and these upstream AUGs inhibit translation of the main ORF at different extent.,Thrombopoietin

    分子量

    observerd band 38kDa

    基因ID

    7066

    UniProt

    P40225
You are here: