电话:
+86 (0512) 65829739
传真:
+86 (010) 6788 5057
电子邮件:
orders@antibodies-online.cn

SMAD1 抗体 (AA 10-90)

The 兔 多克隆 anti-SMAD1 antibody (ABIN7217036) specifically detects SMAD1 in WB, ELISA, IF 和 IHC (p). The antibody is reactive with 人, 小鼠 和 大鼠 samples.
产品编号 ABIN7217036
发货至: 中国
Contact our Customer Service for availability and price in your country. Contact Info

Our Local Distributor

中国
北京 101111
No. 88 KeChuang 6th Street
Beijing Economic Technological Development Area
Room 801-803
4A Biotech Co.,Ltd.
Tel +86 (0512) 65829739 传真 +86 (010) 6788 5057

Quick Overview for SMAD1 抗体 (AA 10-90) (ABIN7217036)

抗原

See all SMAD1 抗体
SMAD1 (SMAD, Mothers Against DPP Homolog 1 (SMAD1))

适用

  • 230
  • 138
  • 96
  • 9
  • 8
  • 7
  • 6
  • 6
  • 6
  • 6
  • 6
  • 5
  • 4
  • 4
  • 3
  • 3
  • 1
人, 小鼠, 大鼠

宿主

  • 231
  • 20

克隆类型

  • 197
  • 55
多克隆

标记

  • 121
  • 20
  • 12
  • 7
  • 7
  • 7
  • 7
  • 7
  • 7
  • 7
  • 4
  • 4
  • 4
  • 4
  • 4
  • 4
  • 4
  • 4
  • 4
  • 4
  • 4
  • 2
  • 2
  • 1
  • 1
This SMAD1 antibody is un-conjugated

应用范围

  • 205
  • 84
  • 59
  • 53
  • 52
  • 42
  • 40
  • 27
  • 18
  • 16
  • 12
  • 4
  • 3
  • 2
  • 2
  • 1
  • 1
  • 1
  • 1
  • 1
Western Blotting (WB), ELISA, Immunofluorescence (IF), Immunohistochemistry (Paraffin-embedded Sections) (IHC (p))
  • 抗原表位

    • 29
    • 28
    • 27
    • 15
    • 9
    • 8
    • 8
    • 8
    • 7
    • 6
    • 5
    • 5
    • 5
    • 5
    • 5
    • 3
    • 3
    • 2
    • 2
    • 2
    • 2
    • 2
    • 2
    • 2
    • 2
    • 2
    • 1
    • 1
    • 1
    • 1
    • 1
    • 1
    • 1
    • 1
    • 1
    • 1
    • 1
    • 1
    • 1
    • 1
    • 1
    • 1
    • 1
    • 1
    • 1
    • 1
    • 1
    AA 10-90

    原理

    Smad1/5/9 Polyclonal Antibody

    特异性

    Smad1/5/9 Polyclonal Antibody detects endogenous levels of Smad1/5/9 protein.

    纯化方法

    The antibody was affinity-purified from rabbit antiserum by affinity-chromatography using epitope-specific immunogen

    免疫原

    Synthesized peptide derived from the N-terminal region of human Smad1/5/9 at AA range: 10-90

    亚型

    IgG
  • 应用备注

    Optimal working dilutions should be determined experimentally by the investigator. Suggested starting dilutions are as follows: WB (1:500-1:2000), IHC-P (1:100-1:300), ELISA (1:10000). Not yet tested in other applications.

    说明

    Primary Antibody

    限制

    仅限研究用
  • 状态

    Liquid

    浓度

    1 mg/mL

    缓冲液

    PBS containing 50 % Glycerol, 0.5 % BSA and 0.02 % Sodium Azide.

    储存液

    Sodium azide

    注意事项

    This product contains Sodium azide: a POISONOUS AND HAZARDOUS SUBSTANCE which should be handled by trained staff only.

    储存条件

    -20 °C

    储存方法

    Stable for one year at -20°C from date of shipment. For maximum recovery of product, centrifuge the original vial after thawing and prior to removing the cap. Aliquot to avoid repeated freezing and thawing.
  • 抗原

    SMAD1 (SMAD, Mothers Against DPP Homolog 1 (SMAD1))

    别名

    Smad1/5/9

    背景

    Rabbit Anti-Smad1/5/9 Polyclonal Antibody,SMAD1, BSP1, MADH1, MADR1, Mothers against decapentaplegic homolog 1, MAD homolog 1, Mothers against DPP homolog 1, JV4-1, Mad-related protein 1, SMAD family member 1, SMAD 1, Smad1, hSMAD1, Transforming growth factor-beta-signaling protein,Mothers against decapentaplegic homolog 1 encoded by SMAD1 belongs to the SMAD, a family of proteins similar to the gene products of the Drosophila gene 'mothers against decapentaplegic' (Mad) and the C. elegans gene Sma. SMAD proteins are signal transducers and transcriptional modulators that mediate multiple signaling pathways. This protein mediates the signals of the bone morphogenetic proteins (BMPs), which are involved in a range of biological activities including cell growth, apoptosis, morphogenesis, development and immune responses. In response to BMP ligands, this protein can be phosphorylated and activated by the BMP receptor kinase. The phosphorylated form of this protein forms a complex with SMAD4, which is important for its function in the transcription regulation. This protein is a target for SMAD-specific E3 ubiquitin ligases, such as SMURF1 and SMURF2, and undergoes ubiquitination and proteasome-mediated degradation. Alternatively spliced transcript variants encoding the same protein have been observed.,Mothers against decapentaplegic homolog 1

    分子量

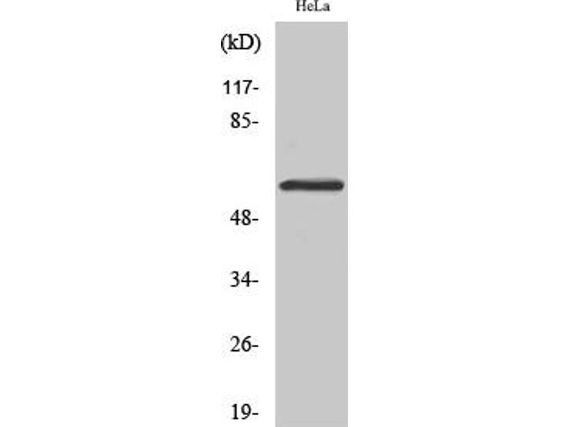
    observerd band 56kDa

    基因ID

    4086, 4090, 4093

    途径

    Stem Cell Maintenance, Regulation of Muscle Cell Differentiation, Skeletal Muscle Fiber Development
You are here: